Suppr超能文献

An uncommon variant of cyanotic congenital heart disease in a young adult female: a rare case of right pulmonary artery to left atrial fistula (PALAF).

作者信息

Twayana Ram Sundar, Humagain Sanjaya, Koju Rajendra, Joshi Kriti Subas, Karmarcharya Robin Man, Kc Sajana, Poudel Navaraj

机构信息

Department of Cardiology, Dhulikhel Hospital, Kathmandu University Hospital, Dhulikhel, Nepal.

Department of Radiology, Dhulikhel Hospital, Kathmandu University Hospital, Dhulikhel, Nepal.

出版信息

BMC Res Notes. 2015 Oct 23;8:597. doi: 10.1186/s13104-015-1593-y.

Abstract

BACKGROUND

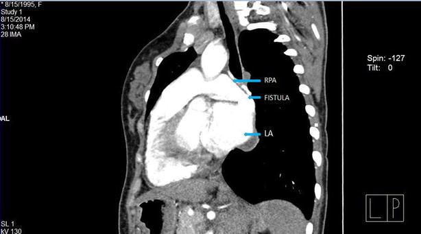
Cyanotic congenital heart disease is not a rare entity, but fistula between the right pulmonary artery and the left atrium is an uncommon vascular anomaly. Although it is a real challenge to diagnose the case, detailed clinical evaluation and selective investigations are keys for diagnosis, and surgical intervention is still considered the best treatment option.

CASE PRESENTATION

A 19 years old girl from the remote village of Nepal presented with the history of exercise intolerance associated with cyanosis and clubbing of the extremities. We diagnosed her as a case of right pulmonary artery to left atrial fistula, a rare variant of pulmonary arteriovenous malformation. She underwent successful surgical correction of the anomaly under cardiopulmonary bypass surgery.

CONCLUSION

Direct communication between the right pulmonary artery and the left atrium is a rare cyanotic congenital heart disease, which is diagnosed late and often associated with the atrial septal defect. The best treatment available is surgical correction.

摘要
https://cdn.ncbi.nlm.nih.gov/pmc/blobs/f550/4619514/8d18809bbde4/13104_2015_1593_Fig1_HTML.jpg

相似文献

2
Direct communication between right pulmonary artery and left atrium.
Arch Inst Cardiol Mex. 2000 Jul-Aug;70(4):399-402.
3
Right pulmonary artery to left atrial fistula in a neonate: case report and review of the literature.
World J Pediatr Congenit Heart Surg. 2014 Apr;5(2):306-10. doi: 10.1177/2150135113508562.
4
Rare cause of central cyanosis: right pulmonary artery to left atrial fistula.
Interact Cardiovasc Thorac Surg. 2016 Nov;23(5):839-840. doi: 10.1093/icvts/ivw204. Epub 2016 Jun 29.
5
Transcathether closure of a right pulmonary artery-to-left atrial fistula using Amplatzer muscular ventricular septal defect occluder.
Cardiovasc Interv Ther. 2014 Oct;29(4):359-62. doi: 10.1007/s12928-013-0240-6. Epub 2014 Jan 4.
6
7
Surgical and transcatheter closure of right pulmonary artery to left atrial fistula.
J Card Surg. 2011 Mar;26(2):130-4. doi: 10.1111/j.1540-8191.2010.01204.x. Epub 2011 Feb 8.
8
Congenital right pulmonary artery-to-left atrial fistula.
Asian Cardiovasc Thorac Ann. 2010 Aug;18(4):373-5. doi: 10.1177/0218492310375651.
9
Right pulmonary artery-to-left atrial fistula.
Asian Cardiovasc Thorac Ann. 2002 Mar;10(1):80-2. doi: 10.1177/021849230201000124.

本文引用的文献

1
Surgical closure of big pulmonary artery-left atrial fistula.
Interact Cardiovasc Thorac Surg. 2010 Jan;10(1):113-4. doi: 10.1510/icvts.2009.215350. Epub 2009 Oct 12.
2
Right pulmonary artery to left atrium communication.
Ann Thorac Surg. 2005 Jul;80(1):365-70. doi: 10.1016/j.athoracsur.2004.08.058.

文献AI研究员

20分钟写一篇综述,助力文献阅读效率提升50倍。

立即体验

用中文搜PubMed

大模型驱动的PubMed中文搜索引擎

马上搜索

文档翻译

学术文献翻译模型,支持多种主流文档格式。

立即体验