Suppr超能文献

Asymptomatic ureteral rupture secondary to chronic urinary retention from massive prostatic enlargement.

作者信息

Sarmah Piyush B, Noah Anthony, Kelly Brian D, Ryan Peter G

机构信息

Department of Urology, City Hospital, Birmingham, UK

Department of Urology, City Hospital, Birmingham, UK.

出版信息

J Surg Case Rep. 2015 Oct 31;2015(11):rjv135. doi: 10.1093/jscr/rjv135.

Abstract

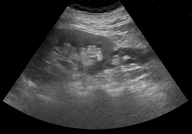
Non-traumatic ureteral rupture has been reported more frequently, resulting from increased intraluminal pressures from distal urinary tract obstruction. We report the case of a 77-year-old man presenting with chronic urinary retention secondary to massive prostatic enlargement through acute kidney injury. Ultrasound scan detected a shallow left perinephric fluid collection with a possible bladder mass, demonstrated on flexible cystoscopy to be a massive median lobe of prostate. Computed tomography confirmed extravasation of urine from the left proximal ureter. In the absence of specific symptoms, the patient had successful conservative management with antibiotics and urinary catheterization for his acute episode, although declined further surgical intervention.

摘要
https://cdn.ncbi.nlm.nih.gov/pmc/blobs/5968/4628309/8151e21d2bdc/rjv13501.jpg

文献AI研究员

20分钟写一篇综述,助力文献阅读效率提升50倍。

立即体验

用中文搜PubMed

大模型驱动的PubMed中文搜索引擎

马上搜索

文档翻译

学术文献翻译模型,支持多种主流文档格式。

立即体验