Suppr超能文献

一例急性呼吸窘迫综合征的罕见病例。

A curious case of acute respiratory distress syndrome.

作者信息

Crawford Todd C, Grimm Joshua C, Magruder J Trent, Stephens R Scott, Sciortino Christopher M, Vaught A Jason, Althaus Janyne, Shah Ashish S, Kim Bo S

机构信息

Department of Surgery, The Johns Hopkins University School of Medicine, Baltimore, MD, USA

Department of Surgery, The Johns Hopkins University School of Medicine, Baltimore, MD, USA.

出版信息

J Surg Case Rep. 2015 Nov 9;2015(11):rjv140. doi: 10.1093/jscr/rjv140.

Abstract

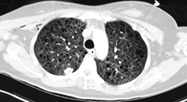
Gestational acute respiratory distress syndrome (ARDS) is a complicated problem with the potential to gravely harm both mother and fetus. This case report describes a young woman in her second trimester of pregnancy who developed progressive respiratory failure in the setting of newly diagnosed influenza, diffuse alveolar hemorrhage and lymphangioleiomyomatosis. The patient's condition was refractory to conventional interventions and required extracorporeal membrane oxygenation (ECMO) support. Her course was further complicated by preeclampsia requiring preterm delivery with cesarean section while on ECMO. Through novel therapies and a multidisciplinary approach to care, both the patient and her child would overcome these unique and challenging conditions and survive.

摘要

妊娠急性呼吸窘迫综合征(ARDS)是一个复杂的问题,有可能严重伤害母亲和胎儿。本病例报告描述了一名处于妊娠中期的年轻女性,她在新诊断出流感、弥漫性肺泡出血和淋巴管平滑肌瘤病的情况下出现进行性呼吸衰竭。患者的病情对传统干预措施无效,需要体外膜肺氧合(ECMO)支持。她的病情因子痫前期而进一步复杂化,在接受ECMO治疗期间需要剖宫产提前分娩。通过新颖的治疗方法和多学科护理方法,患者和她的孩子都克服了这些独特且具有挑战性的情况并存活下来。

https://cdn.ncbi.nlm.nih.gov/pmc/blobs/3682/4638149/f455bbfc98e3/rjv14001.jpg

文献AI研究员

20分钟写一篇综述,助力文献阅读效率提升50倍。

立即体验

用中文搜PubMed

大模型驱动的PubMed中文搜索引擎

马上搜索

文档翻译

学术文献翻译模型,支持多种主流文档格式。

立即体验