Graziano Vincenzo, Scognamiglio Maria Teresa, Zilli Marinella, Giampietro Jamara, Vici Patrizia, Natoli Clara, Grassadonia Antonino
a Department of Medical ; Oral and Biotechnological Sciences; University "G. D'Annunzio" ; Chieti , Italy.
b Medical Oncology Unit; "G. Bernabeo" Hospital ; Ortona , Italy.
Cancer Biol Ther. 2015;16(12):1704-9. doi: 10.1080/15384047.2015.1108490.
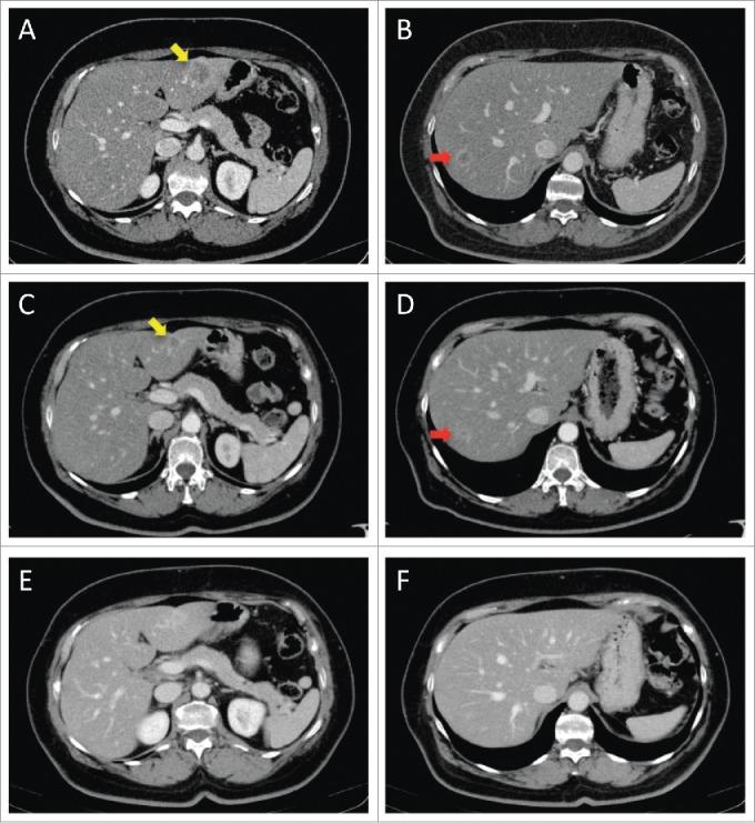
The occurrence of skin metastases is a common event in patients affected by advanced breast cancer, usually associated with systemic disease progression. Here we describe 2 cases of diffuse cutaneous metastases from HER2-overexpressing breast cancer occurring despite a dramatic response in liver and bone, respectively, during treatment with anti-HER2 antibodies Trastuzumab and Pertuzumab. We discuss the reasons for this discrepancy and suggest a possible implication of impaired immune response in the skin. Future research should provide strategies to overcome the induction of immune privilege in the skin in order to avoid discontinuation of effective treatments.
皮肤转移的发生在晚期乳腺癌患者中是常见事件,通常与全身疾病进展相关。在此,我们描述2例HER2过表达乳腺癌的弥漫性皮肤转移病例,尽管在使用抗HER2抗体曲妥珠单抗和帕妥珠单抗治疗期间,肝脏和骨骼分别出现了显著反应,但仍发生了皮肤转移。我们讨论了这种差异的原因,并提出皮肤免疫反应受损可能起到了一定作用。未来的研究应提供策略,以克服皮肤中免疫特权的诱导,从而避免中断有效的治疗。