Suppr超能文献

针对培养的大鼠肾小球上皮细胞抗体的研究。体内注射后上皮下免疫沉积物的形成。

Studies with antibodies to cultured rat glomerular epithelial cells. Subepithelial immune deposit formation after in vivo injection.

作者信息

Quigg R J, Abrahamson D R, Cybulsky A V, Badalamenti J, Minto A W, Salant D J

机构信息

Evans Memorial Department of Clinical Research, University Hospital, Boston University Medical Center, Massachusetts.

出版信息

Am J Pathol. 1989 May;134(5):1125-33.

Abstract

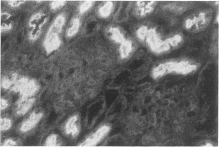
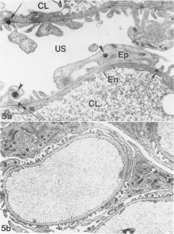
To investigate the role of glomerular epithelial cell (GEC) membrane proteins in the in situ formation of subepithelial immune deposits, the authors raised a rabbit antiserum against GEC that had been grown in culture (anti-GEC). By indirect immunofluorescence (IF) on normal rat kidney, anti-GEC stained proximal tubular brush border (BB). After intravenous injection into animals, granular glomerular capillary wall staining for IgG was present by IE and subepithelial immune deposits were identified by standard transmission and immunoelectron microscopy. Using the latter technique, injected anti-GEC IgG was identified beneath slit diaphragms and in endocytic-coated pits and intracellular vesicles of podocytes. Anti-GEC immunoprecipitated gp330 and two other proteins from radiolabeled BB. These proteins also were identified by sheep anti-rat Fx1A, the antiserum responsible for passive Heymann nephritis. Anti-GEC and anti-Fx1A also immunoprecipitated five identical proteins from surface-labeled GEC. Biosynthetically-labeled but not surface-labeled GEC contained immunoprecipitable gp330. Thus, injection into rats of antibodies raised against cultured GEC can produce subepithelial immune deposits, a disease process classically induced by antibodies to BB or its purified components. In addition to gp330, GEC and BB share other antigenic determinants that may contribute to the formation of these immune deposits.

摘要

为了研究肾小球上皮细胞(GEC)膜蛋白在原位形成上皮下免疫沉积物中的作用,作者制备了一种针对培养的GEC的兔抗血清(抗GEC)。通过对正常大鼠肾脏进行间接免疫荧光(IF)检测,抗GEC可使近端肾小管刷状缘(BB)染色。将其静脉注射到动物体内后,免疫酶标法显示肾小球毛细血管壁有IgG颗粒状染色,标准透射电镜和免疫电镜鉴定出上皮下免疫沉积物。使用后一种技术,在足细胞的裂孔隔膜下方、内吞小泡和细胞内小泡中鉴定出注射的抗GEC IgG。抗GEC从放射性标记的BB中免疫沉淀出gp330和其他两种蛋白质。这些蛋白质也可被羊抗大鼠Fx1A(引发被动型海曼肾炎的抗血清)鉴定出来。抗GEC和抗Fx1A还从表面标记的GEC中免疫沉淀出五种相同的蛋白质。生物合成标记而非表面标记的GEC含有可免疫沉淀的gp330。因此,向大鼠注射针对培养的GEC产生的抗体可形成上皮下免疫沉积物(这是一种典型地由针对BB或其纯化成分的抗体诱导的疾病过程)。除了gp330外,GEC和BB还共享其他抗原决定簇,这可能有助于这些免疫沉积物的形成。

https://cdn.ncbi.nlm.nih.gov/pmc/blobs/7aaf/1879902/242a907487f2/amjpathol00125-0181-a.jpg

相似文献

10
Expression and modulation of surface antigens in cultured rat glomerular visceral epithelial cells.
J Histochem Cytochem. 1989 Nov;37(11):1675-87. doi: 10.1177/37.11.2809176.

本文引用的文献

1
A new role for complement in experimental membranous nephropathy in rats.
J Clin Invest. 1980 Dec;66(6):1339-50. doi: 10.1172/JCI109987.
3
The pathogenic antigen of Heymann nephritis is a membrane glycoprotein of the renal proximal tubule brush border.
Proc Natl Acad Sci U S A. 1982 Sep;79(18):5557-61. doi: 10.1073/pnas.79.18.5557.
5
Glomerular cells in culture.
Kidney Int. 1983 Mar;23(3):439-47. doi: 10.1038/ki.1983.40.
8
Cleavage of structural proteins during the assembly of the head of bacteriophage T4.
Nature. 1970 Aug 15;227(5259):680-5. doi: 10.1038/227680a0.
9
A rapid method for the preparation of microvilli from rabbit kidney.
Biochem J. 1974 Sep;142(3):575-81. doi: 10.1042/bj1420575.
10
Peroxidase-labeled antibody. A new method of conjugation.
J Histochem Cytochem. 1974 Dec;22(12):1084-91. doi: 10.1177/22.12.1084.

文献AI研究员

20分钟写一篇综述,助力文献阅读效率提升50倍。

立即体验

用中文搜PubMed

大模型驱动的PubMed中文搜索引擎

马上搜索

文档翻译

学术文献翻译模型,支持多种主流文档格式。

立即体验