• 文献检索
  • 文档翻译
  • 深度研究
  • 学术资讯
  • Suppr Zotero 插件Zotero 插件
  • 邀请有礼
  • 套餐&价格
  • 历史记录
应用&插件
Suppr Zotero 插件Zotero 插件浏览器插件Mac 客户端Windows 客户端微信小程序
定价
高级版会员购买积分包购买API积分包
服务
文献检索文档翻译深度研究API 文档MCP 服务
关于我们
关于 Suppr公司介绍联系我们用户协议隐私条款
关注我们

Suppr 超能文献

核心技术专利:CN118964589B侵权必究
粤ICP备2023148730 号-1Suppr @ 2026

文献检索

告别复杂PubMed语法,用中文像聊天一样搜索,搜遍4000万医学文献。AI智能推荐,让科研检索更轻松。

立即免费搜索

文件翻译

保留排版,准确专业,支持PDF/Word/PPT等文件格式,支持 12+语言互译。

免费翻译文档

深度研究

AI帮你快速写综述,25分钟生成高质量综述,智能提取关键信息,辅助科研写作。

立即免费体验

胸椎棕色瘤:原发性甲状旁腺功能亢进的首发表现

Brown Tumor of the Thoracic Spine: First Manifestation of Primary Hyperparathyroidism.

作者信息

Sonmez Erkin, Tezcaner Tugan, Coven Ilker, Terzi Aysen

机构信息

Department of Neurosurgery, Baskent University School of Medicine, Ankara, Turkey.

Department of General Surgery, Baskent University School of Medicine, Ankara, Turkey.

出版信息

J Korean Neurosurg Soc. 2015 Oct;58(4):389-92. doi: 10.3340/jkns.2015.58.4.389. Epub 2015 Oct 30.

DOI:10.3340/jkns.2015.58.4.389
PMID:26587196
原文链接:https://pmc.ncbi.nlm.nih.gov/articles/PMC4652003/
Abstract

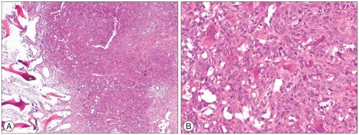
Brown tumors also called as osteoclastomas, are rare nonneoplastic lesions that arise in the setting of primary or secondary hyperparathyroidism. Parathyroid adenomas or hyperplasia constitute the major Brown tumor source in primary hyperparathyroidism while chronic renal failure is the leading cause in secondary hyperparathyroidism. Most of the patients with the diagnosis of primary hyperparathyroidism present with kidney stones or isolated hypercalcemia. However, nearly one third of patients are asymptomatic and hypercalcemia is found incidentally. Skeletal involvement such as generalized osteopenia, bone resorption, bone cysts and Brown tumors are seen on the late phase of hyperparathyroidism. The symptoms include axial pain, radiculopathy, myelopathy and myeloradiculopathy according to their locations. Plasmocytoma, lymphoma, giant cell tumors and metastates should be ruled out in the differential diagnosis of Brown tumors. Treatment of Brown tumors involve both the management of hyperparathyroidism and neural decompression. The authors report a very rare spinal Brown tumor case, arisen as the initial manifestation of primary hyperparathyroidism that leads to acute paraparesis.

摘要

棕色瘤也称为破骨细胞瘤,是一种罕见的非肿瘤性病变,发生于原发性或继发性甲状旁腺功能亢进的情况下。甲状旁腺腺瘤或增生是原发性甲状旁腺功能亢进中棕色瘤的主要来源,而慢性肾衰竭是继发性甲状旁腺功能亢进的主要原因。大多数诊断为原发性甲状旁腺功能亢进的患者表现为肾结石或孤立性高钙血症。然而,近三分之一的患者无症状,高钙血症是偶然发现的。在甲状旁腺功能亢进的晚期可见骨骼受累,如全身性骨质减少、骨吸收、骨囊肿和棕色瘤。根据其位置,症状包括轴向疼痛、神经根病、脊髓病和脊髓神经根病。在棕色瘤的鉴别诊断中应排除浆细胞瘤、淋巴瘤、巨细胞瘤和转移瘤。棕色瘤的治疗包括甲状旁腺功能亢进的管理和神经减压。作者报告了一例非常罕见的脊柱棕色瘤病例,它作为原发性甲状旁腺功能亢进的初始表现导致急性截瘫。

https://cdn.ncbi.nlm.nih.gov/pmc/blobs/ca69/4652003/033fa71452c4/jkns-58-389-g003.jpg
https://cdn.ncbi.nlm.nih.gov/pmc/blobs/ca69/4652003/762ec9999607/jkns-58-389-g001.jpg
https://cdn.ncbi.nlm.nih.gov/pmc/blobs/ca69/4652003/94cec6858ca4/jkns-58-389-g002.jpg
https://cdn.ncbi.nlm.nih.gov/pmc/blobs/ca69/4652003/033fa71452c4/jkns-58-389-g003.jpg
https://cdn.ncbi.nlm.nih.gov/pmc/blobs/ca69/4652003/762ec9999607/jkns-58-389-g001.jpg
https://cdn.ncbi.nlm.nih.gov/pmc/blobs/ca69/4652003/94cec6858ca4/jkns-58-389-g002.jpg
https://cdn.ncbi.nlm.nih.gov/pmc/blobs/ca69/4652003/033fa71452c4/jkns-58-389-g003.jpg

相似文献

1
Brown Tumor of the Thoracic Spine: First Manifestation of Primary Hyperparathyroidism.胸椎棕色瘤:原发性甲状旁腺功能亢进的首发表现
J Korean Neurosurg Soc. 2015 Oct;58(4):389-92. doi: 10.3340/jkns.2015.58.4.389. Epub 2015 Oct 30.
2
Brown tumor of the spine in patients with primary hyperparathyroidism.原发性甲状旁腺功能亢进患者的脊柱棕色瘤
Spine (Phila Pa 1976). 2014 Aug 15;39(18):E1073-9. doi: 10.1097/BRS.0000000000000455.
3
Management challenges with brown tumor of primary hyperparathyroidism masked by severe vitamin D deficiency: a case report.原发性甲状旁腺功能亢进棕色瘤被严重维生素D缺乏掩盖时的管理挑战:一例报告
J Med Case Rep. 2016 Jun 9;10:166. doi: 10.1186/s13256-016-0933-4.
4
Multilevel brown tumors of the spine in a patient with severe secondary hyperparathyroidism A case report and review of the literature.一名严重继发性甲状旁腺功能亢进患者脊柱的多发性棕色瘤:病例报告及文献复习
Ann Ital Chir. 2016 Mar 31;87(ePub):S2239253X16024749.
5
[Recurrent brown tumors as initial manifestation of primary hyperparathyroidism. An unusual presentation].[复发性棕色瘤作为原发性甲状旁腺功能亢进的初始表现。一种不寻常的表现]
Minerva Med. 2000 May-Jun;91(5-6):117-22.
6
Brown tumor of the cervical spines: a case report with literature review.颈椎棕色瘤:一例病例报告并文献复习
Asian Spine J. 2015 Feb;9(1):110-20. doi: 10.4184/asj.2015.9.1.110. Epub 2015 Feb 13.
7
Chronic renal failure causing brown tumors and myelopathy. Case report and review of pathophysiology and treatment.慢性肾衰竭导致棕色瘤和脊髓病。病例报告及病理生理学与治疗的综述
J Neurosurg. 1999 Apr;90(2 Suppl):242-6. doi: 10.3171/spi.1999.90.2.0242.
8
Primary hyperparathyroidism presenting as a palatal and mandibular brown tumor.以腭部和下颌骨棕色瘤为表现的原发性甲状旁腺功能亢进症。
J Craniofac Surg. 2009 Nov;20(6):2101-4. doi: 10.1097/SCS.0b013e3181bec5f3.
9
A complex case of brown tumors as initial manifestation of primary hyperparathyroidism in a young female.一名年轻女性以棕色瘤为原发性甲状旁腺功能亢进初始表现的复杂病例。
J Oral Maxillofac Pathol. 2019 Sep-Dec;23(3):477. doi: 10.4103/jomfp.JOMFP_166_19.
10
Brown tumor due to primary hyperparathyroidism resulting in acute paraparesis: Case report and literature review.原发性甲状旁腺功能亢进导致急性轻截瘫的棕色瘤:病例报告及文献复习
Surg Neurol Int. 2020 Oct 21;11:355. doi: 10.25259/SNI_653_2020. eCollection 2020.

引用本文的文献

1
Spinal brown tumors as a rare cause of spinal cord compression: Report of case series.脊柱棕色瘤作为脊髓压迫的罕见原因:病例系列报告
Int J Surg Case Rep. 2025 Jun 19;133:111547. doi: 10.1016/j.ijscr.2025.111547.
2
Brown Tumor of the Dorsal Spine With Hemorrhage Causing Acute Neurological Deterioration: A Rare Presentation of Secondary Hyperparathyroidism.伴有出血导致急性神经功能恶化的脊柱背侧棕色瘤:继发性甲状旁腺功能亢进的罕见表现
Cureus. 2024 Jul 2;16(7):e63645. doi: 10.7759/cureus.63645. eCollection 2024 Jul.
3
Spinal cord compression caused by a brown tumor secondary to primary hyperparathyroidism.

本文引用的文献

1
Brown tumor of the spine in patients with primary hyperparathyroidism.原发性甲状旁腺功能亢进患者的脊柱棕色瘤
Spine (Phila Pa 1976). 2014 Aug 15;39(18):E1073-9. doi: 10.1097/BRS.0000000000000455.
2
Brown tumor as an unusual but preventable cause of spinal cord compression: Case report and review of the literature.棕色瘤作为脊髓压迫症一种罕见但可预防的病因:病例报告及文献综述
Asian J Neurosurg. 2014 Jan;9(1):40-4. doi: 10.4103/1793-5482.131074.
3
Osteitis fibrosa cystica mistaken for malignant disease.纤维囊性骨炎被误诊为恶性疾病。
原发性甲状旁腺功能亢进继发棕色瘤导致的脊髓压迫症
Surg Neurol Int. 2023 Mar 24;14:108. doi: 10.25259/SNI_92_2023. eCollection 2023.
4
Primary hyperparathyroidism presenting with sudden onset paraplegia.原发性甲状旁腺功能亢进症伴急性起病的截瘫。
SAGE Open Med Case Rep. 2022 Apr 11;10:2050313X221089759. doi: 10.1177/2050313X221089759. eCollection 2022.
5
Paraparesis As a Rare First Presentation Of Primary Hyperparathyroidism-Related Brown Tumor in The Thoracic Spine: Case report and literature review.胸椎原发性甲状旁腺功能亢进相关棕色瘤罕见首发表现为双下肢轻瘫:病例报告及文献综述
Ann Med Surg (Lond). 2021 Feb 27;63:102197. doi: 10.1016/j.amsu.2021.102197. eCollection 2021 Mar.
6
Brown tumor due to primary hyperparathyroidism resulting in acute paraparesis: Case report and literature review.原发性甲状旁腺功能亢进导致急性轻截瘫的棕色瘤:病例报告及文献复习
Surg Neurol Int. 2020 Oct 21;11:355. doi: 10.25259/SNI_653_2020. eCollection 2020.
7
Multiple endocrine neoplasia type 1 revealed by a hip pathologic fracture.因髋部病理性骨折而发现的1型多发性内分泌肿瘤
Clin Rheumatol. 2021 Feb;40(2):775-782. doi: 10.1007/s10067-020-05281-3. Epub 2020 Jul 14.
8
Osseous Manifestations of Primary Hyperparathyroidism: Imaging Findings.原发性甲状旁腺功能亢进的骨表现:影像学发现
Int J Endocrinol. 2020 Feb 21;2020:3146535. doi: 10.1155/2020/3146535. eCollection 2020.
9
Multiple bone brown tumor secondary to primary hyperparathyroidism: a case report and literature review.原发性甲状旁腺功能亢进继发多发性骨棕色瘤:一例报告及文献复习
Gland Surg. 2019 Dec;8(6):810-816. doi: 10.21037/gs.2019.11.14.
10
Brown tumor of the thoracic spine presenting with paraplegia in a patient with peritoneal dialysis.腹膜透析患者胸椎棕色瘤伴截瘫
CEN Case Rep. 2019 Nov;8(4):227-232. doi: 10.1007/s13730-019-00398-0. Epub 2019 May 14.
Clin Exp Otorhinolaryngol. 2013 Jun;6(2):110-3. doi: 10.3342/ceo.2013.6.2.110. Epub 2011 Sep 15.
4
Bone disease in primary hyperparathyrodism.原发性甲状旁腺功能亢进症中的骨骼疾病。
Ther Adv Musculoskelet Dis. 2012 Oct;4(5):357-68. doi: 10.1177/1759720X12441869.
5
Vertebral brown tumors causing neurologic compromise.椎体棕色瘤导致神经功能受损。
World Neurosurg. 2013 Jan;79(1):208.e1-6. doi: 10.1016/j.wneu.2010.02.022. Epub 2011 Nov 18.
6
Brown tumor of the sacral spine in a patient with low-back pain.一名下背痛患者的骶椎棕色瘤。
Rheumatol Int. 2007 Nov;28(1):77-81. doi: 10.1007/s00296-007-0380-z. Epub 2007 Jun 14.
7
Natural history and surgical treatment of brown tumor lesions at various sites in refractory primary hyperparathyroidism.难治性原发性甲状旁腺功能亢进症不同部位棕色瘤病变的自然史及外科治疗
Eur J Med Res. 2007 May 29;12(5):222-30.
8
Primary hyperparathyroidism. A rare cause of spinal cord compression.原发性甲状旁腺功能亢进症。脊髓压迫症的一种罕见病因。
Saudi Med J. 2007 May;28(5):783-6.
9
A case of multiple skeletal lesions of brown tumors, mimicking carcinoma metastases.一例酷似癌转移的棕色瘤多发性骨骼病变。
Arch Orthop Trauma Surg. 2008 Feb;128(2):149-54. doi: 10.1007/s00402-007-0312-0. Epub 2007 Mar 13.
10
Radicular lower extremity pain as the first symptom of primary hyperparathyroidism.
Skeletal Radiol. 2004 Aug;33(8):467-72. doi: 10.1007/s00256-004-0803-9. Epub 2004 Jun 19.