Lachhab Imad, Traoré Boubacar Zan, Saoud Omar, Khedid Yahia Zain Al Abidine, Zouaidia Fouad, Echarrab Mahjoub, Chkoff Mohamed Rachid
Departement of Visceral Surgical Emergency, IBN Sina University Hospital, Rabat, Morocco.
Department of Pathology, IBN Sina University Hospital, Rabat, Morocco.
Pan Afr Med J. 2015 Sep 3;22:6. doi: 10.11604/pamj.2015.22.6.7132. eCollection 2015.
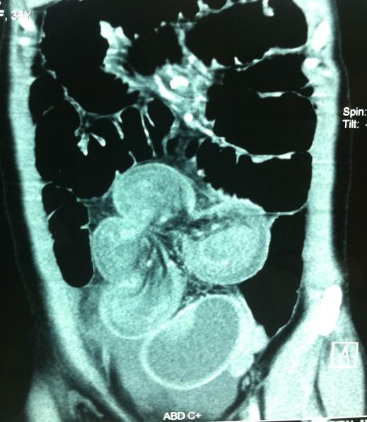
The primary malignant tumors of the small bowel are rare, representing 1 to 1.4% of all gastrointestinal tumors. We report a case of a 33 year-old women, admitted to our emergency department of visceral surgery for acute abdomen. The clinical examination revealed diffuse abdominal distension, defenseless, the hernia orifices were free and the rectal examination was normal. The biological test showed no hydro electrolytic disorders with normal hemoglobin and normal renal function. The abdominal CT-Scan showed signs of bowel obstruction due to a volvulus with intussusception without ischemia. The patient was operated urgently; the exploration has revealed a small bowel obstruction in the ileum with volvulus, an intussusceptum associated with a retractile mesenteritis, and the hepatic exploration found no metastases. The patient underwent a bowel resection taking away the intussusceptum with the infiltrated mesentery. The postoperative course was uneventful. The pathological result has proved a well-differentiated neuroendocrine tumor with five free nodes. Through this observation, we aim to highlight that an obstruction of small bowel with volvulus and intussusception could be exceptionally due to a neuroendocrine tumor, this complication has enabled a relatively early diagnosis in the absence of metastases and a 6-month follow-up without recurrence is a demonstration.
小肠原发性恶性肿瘤较为罕见,占所有胃肠道肿瘤的1%至1.4%。我们报告一例33岁女性病例,因急腹症入住我院内脏外科急诊科。临床检查发现腹部弥漫性膨隆、无压痛,疝孔无异常,直肠指检正常。实验室检查显示无水电解质紊乱,血红蛋白及肾功能正常。腹部CT扫描显示因肠扭转伴套叠导致肠梗阻,但无缺血表现。患者接受紧急手术;术中发现回肠肠扭转伴套叠导致小肠梗阻,套叠肠管伴有退缩性肠系膜炎症,肝脏探查未发现转移灶。患者接受肠切除术,切除套叠肠管及受累肠系膜。术后恢复顺利。病理结果证实为高分化神经内分泌肿瘤,无淋巴结转移。通过本病例,我们旨在强调小肠扭转伴套叠导致的肠梗阻可能极少见地由神经内分泌肿瘤引起,这种并发症在无转移的情况下实现了相对早期诊断,且6个月随访无复发即为明证。