Suppr超能文献

使用单冠修复短种植体对上颌因牙周炎受损的切牙进行即刻美学和功能修复:一种微创方法及五年随访

The Immediate Aesthetic and Functional Restoration of Maxillary Incisors Compromised by Periodontitis Using Short Implants with Single Crown Restorations: A Minimally Invasive Approach and Five-Year Follow-Up.

作者信息

Marincola Mauro, Lombardo Giorgio, Pighi Jacopo, Corrocher Giovanni, Mascellaro Anna, Lehrberg Jeffrey, Nocini Pier Francesco

机构信息

Universidad de Cartagena, Avenida del Consulado, Calle No. 30, No. 48-152, Cartagena, Bolívar, Colombia.

Clinic of Dentistry and Maxillofacial Surgery, University of Verona, Piazzale Ludovico Antonio Scuro 10, 37100 Verona, Italy.

出版信息

Case Rep Dent. 2015;2015:716380. doi: 10.1155/2015/716380. Epub 2015 Nov 15.

Abstract

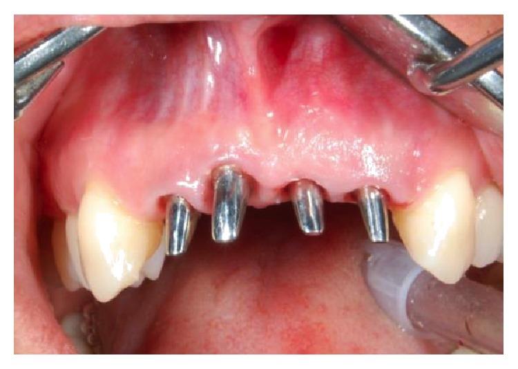
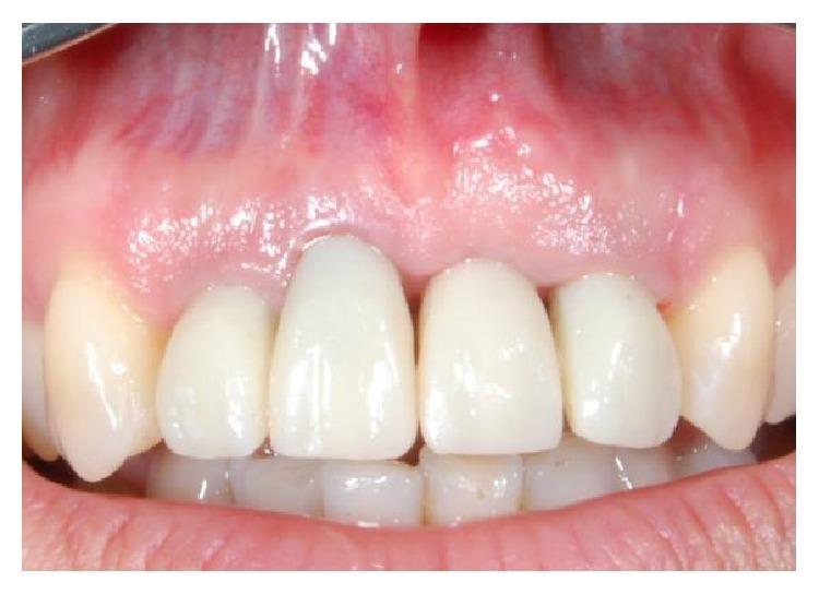
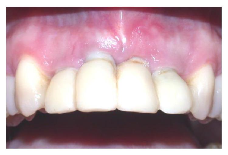
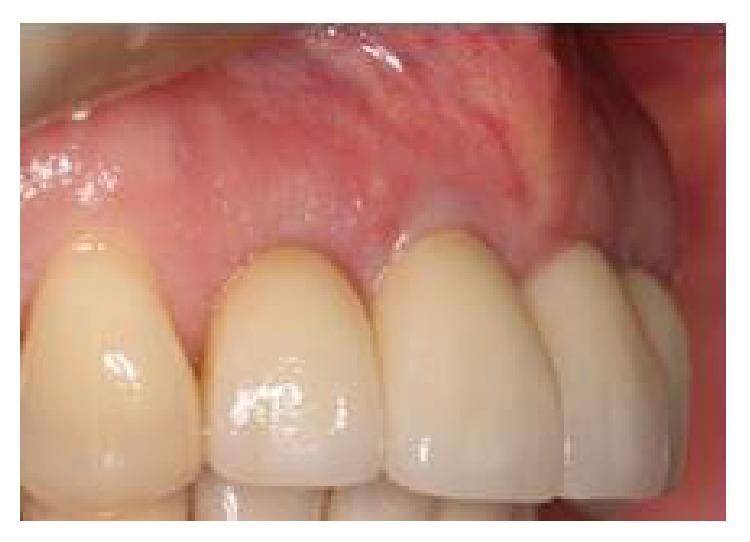
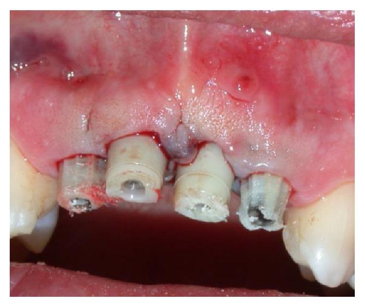
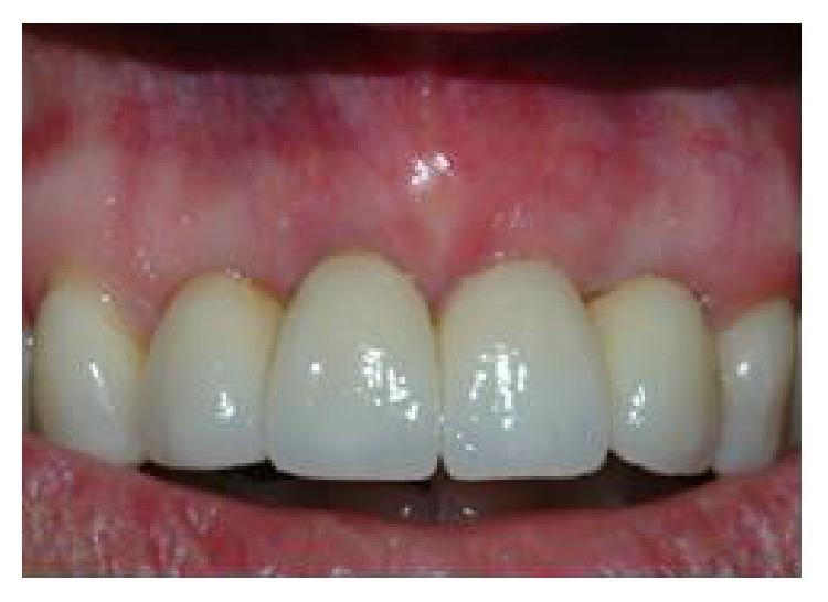
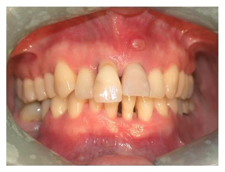
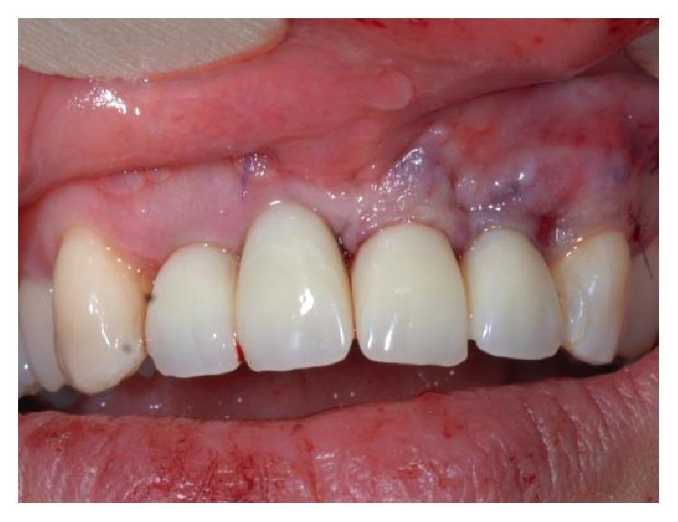
The functional and aesthetic restoration of teeth compromised due to aggressive periodontitis presents numerous challenges for the clinician. Horizontal bone loss and soft tissue destruction resulting from periodontitis can impede implant placement and the regeneration of an aesthetically pleasing gingival smile line, often requiring bone augmentation and mucogingival surgery, respectively. Conservative approaches to the treatment of aggressive periodontitis (i.e., treatments that use minimally invasive tools and techniques) have been purported to yield positive outcomes. Here, we report on the treatment and five-year follow-up of patient suffering from aggressive periodontitis using a minimally invasive surgical technique and implant system. By using the methods described herein, we were able to achieve the immediate aesthetic and functional restoration of the maxillary incisors in a case that would otherwise require bone augmentation and extensive mucogingival surgery. This technique represents a conservative and efficacious alternative to the aesthetic and functional replacement of teeth compromised due to aggressive periodontitis.

摘要

侵袭性牙周炎导致牙齿功能和美观受损,给临床医生带来诸多挑战。牙周炎引起的水平骨吸收和软组织破坏会妨碍种植体植入以及美观的牙龈微笑线的再生,通常分别需要进行骨增量和膜龈手术。据称,侵袭性牙周炎的保守治疗方法(即使用微创工具和技术的治疗方法)能产生积极效果。在此,我们报告了一名侵袭性牙周炎患者采用微创外科技术和种植系统的治疗及五年随访情况。通过使用本文所述方法,在原本需要骨增量和广泛膜龈手术的病例中,我们成功实现了上颌切牙的即刻美观和功能恢复。该技术是侵袭性牙周炎导致牙齿功能和美观受损时,一种保守且有效的替代治疗方法。

https://cdn.ncbi.nlm.nih.gov/pmc/blobs/9c59/4662981/032963faad96/CRID2015-716380.001.jpg

文献AI研究员

20分钟写一篇综述,助力文献阅读效率提升50倍。

立即体验

用中文搜PubMed

大模型驱动的PubMed中文搜索引擎

马上搜索

文档翻译

学术文献翻译模型,支持多种主流文档格式。

立即体验