Suppr超能文献

Ten-Year Follow-Up of Desarthrodesis of the Knee Joint 41 Years after Original Arthrodesis for a Bone Tumor.

作者信息

Kassem Abdelaal Ahmed Hamed, Yamamoto Norio, Hayashi Katsuhiro, Takeuchi Akihiko, Miwa Shinji, Inatani Hiroyuki, Tsuchiya Hiroyuki

机构信息

Department of Orthopedic Surgery, Graduate School of Medical Science, Kanazawa University, 13-1 Takaramachi, Kanazawashi, Ishikawa Prefecture 920-8641, Japan ; Department of Orthopedic Surgery, Faculty of Medicine, Sohag University Hospital, Nasser city, Sohag 82524, Egypt.

Department of Orthopedic Surgery, Graduate School of Medical Science, Kanazawa University, 13-1 Takaramachi, Kanazawashi, Ishikawa Prefecture 920-8641, Japan.

出版信息

Case Rep Orthop. 2015;2015:308127. doi: 10.1155/2015/308127. Epub 2015 Nov 25.

Abstract

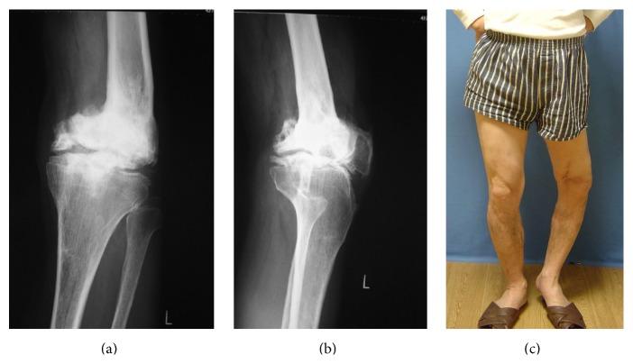
Introduction. The main indication for knee arthrodesis in tumor surgery is a tumor that requires an extensive resection in which the joint surface cannot be preserved. We report a patient that had knee desarthrodesis 41 years after giant cell tumor resection followed by a knee arthrodesis. This is the longest reported follow-up after desarthrodesis and conversion to total knee arthroplasty (TKA), almost ten years. Case Report. A 71-year-old man with a distal femoral giant cell tumor had undergone a resection of the distal femur and knee arthrodesis using Kuntscher nail in 1962. In July 2003 he experienced gradually increasing pain of his left knee. We performed a desarthrodesis and conversion to TKA in 2005. The postoperative period passed uneventfully as his pain and gait improved, with gradually increasing range of motion (ROM) and no infection. He now walks independently, with no brace or contractures. Conclusion. Desarthrodesis of the knee joint and conversion to TKA are a difficult surgical choice with a high complication risk. However, our patient's life style has improved, he has no pain, and he can ascend and descend stairs more easily. The surgeon has to be very meticulous in selecting a patient for knee arthrodesis and counseling them to realize that their expectations may not be achievable.

摘要
https://cdn.ncbi.nlm.nih.gov/pmc/blobs/8f09/4673322/e3c1987bc79c/CRIOR2015-308127.001.jpg

文献AI研究员

20分钟写一篇综述,助力文献阅读效率提升50倍。

立即体验

用中文搜PubMed

大模型驱动的PubMed中文搜索引擎

马上搜索

文档翻译

学术文献翻译模型,支持多种主流文档格式。

立即体验