Suppr超能文献

药物性肝损伤按病因分类的临床特征。

Clinical Features of Drug-induced Liver Injury According to Etiology.

作者信息

Lee Byoung Moo, Lee Woong Cheul, Jang Jae Young, Ahn Pyoung, Kim Jin Nyoung, Jeong Soung Won, Park Eui Ju, Lee Sae Hwan, Kim Sang Gyune, Cha Sang-Woo, Kim Young Seok, Cho Young Deok, Kim Hong Soo, Kim Boo Sung

机构信息

Institute for Digestive Research, Digestive Disease Center, Department of Internal Medicine, College of Medicine, Soonchunhyang University, Seoul, Korea.

Department of Internal Medicine, College of Medicine, Soonchunhyang University, Cheonan, Korea.

出版信息

J Korean Med Sci. 2015 Dec;30(12):1815-20. doi: 10.3346/jkms.2015.30.12.1815. Epub 2015 Nov 30.

Abstract

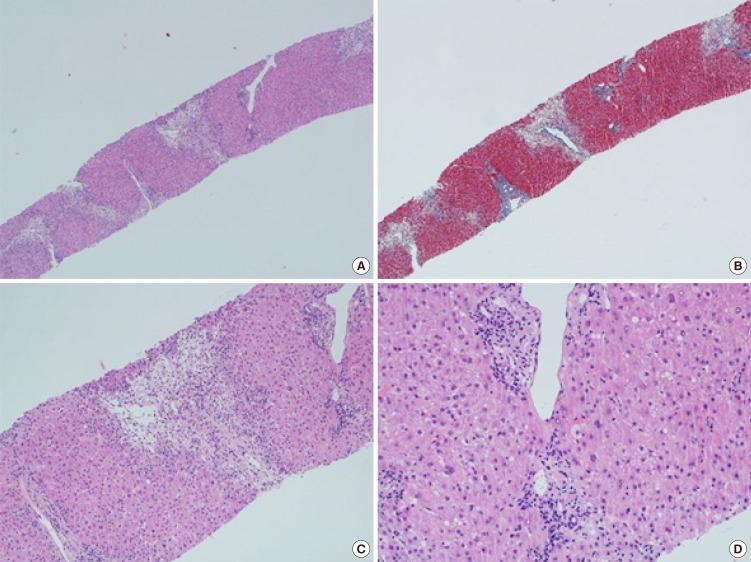
Drug-induced liver injury (DILI) is an increasingly common cause of acute hepatitis. We examined clinical features and types of liver injury of 65 affected patients who underwent liver biopsy according DILI etiology. The major causes of DILI were the use of herbal medications (43.2%), prescribed medications (21.6%), and traditional therapeutic preparations and dietary supplements (35%). DILI from herbal medications, traditional therapeutic preparations, and dietary supplements was associated with higher elevations in aspartate aminotransferase (AST) and alanine aminotransferase (ALT) levels than was DILI from prescription medications. The types of liver injury based on the R ratio were hepatocellular (67.7%), mixed (10.8%), and cholestatic (21.5%). Herbal medications and traditional therapeutic preparations were more commonly associated with hepatocellular liver injury than were prescription medications (P = 0.002). Herbal medications and traditional therapeutic preparations induce more hepatocellular DILI and increased elevations in AST and ALT than prescribed medications.

摘要

药物性肝损伤(DILI)是急性肝炎日益常见的病因。我们根据DILI病因,对65例接受肝活检的受影响患者的临床特征和肝损伤类型进行了检查。DILI的主要原因是使用草药(43.2%)、处方药(21.6%)以及传统治疗制剂和膳食补充剂(35%)。与处方药引起的DILI相比,草药、传统治疗制剂和膳食补充剂引起的DILI与天冬氨酸转氨酶(AST)和丙氨酸转氨酶(ALT)水平升高幅度更大有关。根据R比值划分的肝损伤类型为肝细胞型(67.7%)、混合型(10.8%)和胆汁淤积型(21.5%)。与处方药相比,草药和传统治疗制剂更常与肝细胞性肝损伤相关(P = 0.002)。与处方药相比,草药和传统治疗制剂诱发更多的肝细胞性DILI,且AST和ALT升高幅度更大。

https://cdn.ncbi.nlm.nih.gov/pmc/blobs/f7f0/4689826/5fbfb481bc70/jkms-30-1815-g001.jpg

文献AI研究员

20分钟写一篇综述,助力文献阅读效率提升50倍。

立即体验

用中文搜PubMed

大模型驱动的PubMed中文搜索引擎

马上搜索

文档翻译

学术文献翻译模型,支持多种主流文档格式。

立即体验