Suppr超能文献

81例颅内毛霉菌病的回顾性临床研究

Retrospective Clinical Study of Eighty-One Cases of Intracranial Mucormycosis.

作者信息

Ma Jinjian, Jia Ruichao, Li Jin, Liu Yunyang, Li Yuming, Lin Peng, Zhang Mingmu, Li Mu

机构信息

Department of Neurosurgery, First Central Hospital, No 24 Fukang Road, Nankai, Tianjin, China.

Department of Hematology, First Central Hospital, No 24 Fukang Road, Nankai, Tianjin, China.

出版信息

J Glob Infect Dis. 2015 Oct-Dec;7(4):143-50. doi: 10.4103/0974-777X.170497.

Abstract

BACKGROUND

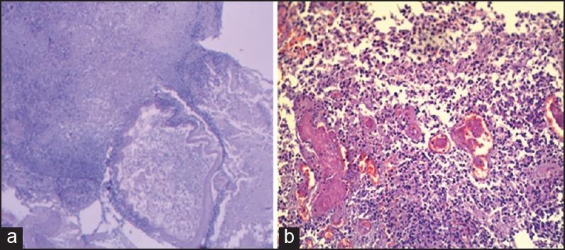
Fungal infections of the central nervous system, especially cerebral mucormycosis or brain abscess are very rare.Cerebral mucormycosis is a rare disease. It is not an independent disease, but a secondary opportunistic infectious disease.

MATERIALS AND METHODS

This study has collected the data of 81 cases of intracranial mucormycosis from 28 Chinese hospitals, within 37 years, as well as reviewed the literatures and retrospectively analyzed and summarized this disease's background, clinical classifications, risk factors, pathology, clinical manifestations, diagnosis, treatment, and prognosis.

RESULTS

The 81 IM cases were aged between 15 days (the youngest) and 79 years (oldest), with a mean age of 41.6 years. Among them, 12 cases were <1 year old (the infant group), six cases were within one to 13 years old (the children group), and 63 cases were >14 years old (the adult group ). 45 cases were male and 36 were female, with a male/female ratio of 1.25:1.0. The shortest duration of the disease was three days, and the longest was 248 days.

CONCLUSIONS

This study helped to realize an early diagnosis and treatment, improve the cure rate, and reduce mortality.

摘要

背景

中枢神经系统真菌感染,尤其是脑毛霉菌病或脑脓肿非常罕见。脑毛霉菌病是一种罕见疾病。它不是一种独立的疾病,而是一种继发性机会性传染病。

材料与方法

本研究收集了28家中国医院37年内81例颅内毛霉菌病的数据,并查阅文献,对该疾病的背景、临床分类、危险因素、病理、临床表现、诊断、治疗及预后进行回顾性分析和总结。

结果

81例颅内毛霉菌病患者年龄在15天(最小)至79岁(最大)之间,平均年龄41.6岁。其中,12例年龄<1岁(婴儿组),6例年龄在1至13岁之间(儿童组),63例年龄>14岁(成人组)。男性45例,女性36例,男女比例为1.25:1.0。病程最短3天,最长248天。

结论

本研究有助于实现早期诊断和治疗,提高治愈率,降低死亡率。

https://cdn.ncbi.nlm.nih.gov/pmc/blobs/aca9/4693305/bffd1c4a6536/JGID-7-143-g001.jpg

文献AI研究员

20分钟写一篇综述,助力文献阅读效率提升50倍。

立即体验

用中文搜PubMed

大模型驱动的PubMed中文搜索引擎

马上搜索

文档翻译

学术文献翻译模型,支持多种主流文档格式。

立即体验