Suppr超能文献

盆腔孤立性纤维瘤恶变的术后放疗:1例罕见病例报告并文献复习

Postoperative Radiotherapy for the Treatment of Solitary Fibrous Tumor With Malignant Transformation of the Pelvic: A Rare Case Report With Literature Review.

作者信息

Gao Chao, Zhang Yong, Jing Ming, Qu Wei, Li Jia, Zhao Xiang-Rong, Yu Yong-Hua

机构信息

From the Radiation Oncology Ward 2, Shandong Cancer Hospital and Institute (CG, YZ, WQ, JL, X-RZ, Y-HY); School of Medical and Life Sciences, Shandong Academy of Medical Sciences, Jinan University (CG, X-RZ); and Department of Dermatology, JiNan Dermatosis Prevention and Control Hospital, Jinan, Shandong, China (MJ).

出版信息

Medicine (Baltimore). 2016 Jan;95(2):e2433. doi: 10.1097/MD.0000000000002433.

Abstract

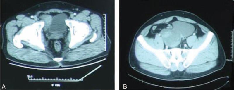
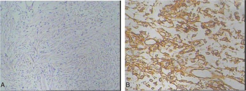
Solitary fibrous tumor of the pelvic is an uncommon neoplasm with nonspecific symptoms. Reports of malignant transformation are especially rare. We report a case of solitary fibrous tumor in pelvic. A unique feature of our case compared with previously reported is that this patient relapsed with malignant transformation and had significant response to radiotherapy. The patient was initially treated with surgery, followed by postoperative dimensional conformal intensity modulated radiation therapy (dynamic MLC VRIAN 23EX Linac, inversely optimized by the Eclipse system) to provide a radical cure for residual tumor.In this case, there were no signs of recurrence after six and a half years of further follow-up, indicating that postoperation radiotherapy may be an effective treatment for SFT with malignant transformation in pelvic.

摘要

盆腔孤立性纤维瘤是一种具有非特异性症状的罕见肿瘤。恶性转化的报道尤为罕见。我们报告一例盆腔孤立性纤维瘤病例。与先前报道相比,我们病例的一个独特特征是该患者出现恶性转化复发且对放疗有显著反应。患者最初接受手术治疗,随后进行术后三维适形调强放射治疗(使用动态多叶准直器的瓦里安23EX直线加速器,由Eclipse系统进行逆向优化)以根治残留肿瘤。在该病例中,经过六年半的进一步随访没有复发迹象,表明术后放疗可能是盆腔恶性转化孤立性纤维瘤的一种有效治疗方法。

https://cdn.ncbi.nlm.nih.gov/pmc/blobs/f662/4718252/6c4174cc0c7a/medi-95-e2433-g001.jpg

相似文献

2
Post-operative radiotherapy for the treatment of malignant solitary fibrous tumor of the nasal and paranasal area.
Jpn J Clin Oncol. 2014 Oct;44(10):926-31. doi: 10.1093/jjco/hyu100. Epub 2014 Aug 5.
3
Malignant solitary fibrous tumor of the esophagus.
Eur J Cardiothorac Surg. 2011 Apr;39(4):595-7. doi: 10.1016/j.ejcts.2010.07.031.
4
Solitary fibrous tumor of the liver: report of a rare case and review of the literature.
Int J Surg. 2008 Oct;6(5):396-9. doi: 10.1016/j.ijsu.2007.10.004. Epub 2007 Oct 25.
5
A Solitary Fibrous Tumor (Cellular Form) of the Ankle.
J Foot Ankle Surg. 2016 Jul-Aug;55(4):829-31. doi: 10.1053/j.jfas.2015.03.006. Epub 2015 Jun 5.
6
[Recurrent malignant solitary fibrous tumor of the orbit].
Ophthalmologe. 2011 Mar;108(3):260-4. doi: 10.1007/s00347-010-2277-6.
7
Solitary fibrous tumor of the ilium: A case report.
Medicine (Baltimore). 2017 Dec;96(51):e9355. doi: 10.1097/MD.0000000000009355.
8
A rare case of malignant solitary fibrous tumor in prostate with review of the literature.
Diagn Pathol. 2017 Jul 7;12(1):50. doi: 10.1186/s13000-017-0640-5.
9
Malignant Renal Solitary Fibrous Tumor With Two Local Recurrences and Distant Pulmonary Metastasis.
Urology. 2019 May;127:9-12. doi: 10.1016/j.urology.2019.01.029. Epub 2019 Feb 8.
10
Malignant transformation of orbital solitary fibrous tumor.
Int Ophthalmol. 2013 Jun;33(3):299-303. doi: 10.1007/s10792-012-9637-y. Epub 2013 Mar 23.

引用本文的文献

1
Diagnostics and Treatment of Extrameningeal Solitary Fibrous Tumors.
Cancers (Basel). 2023 Dec 15;15(24):5854. doi: 10.3390/cancers15245854.
2
Recurrent malignant solitary fibrous tumor of pelvis: A case report and treatment approach.
Medicine (Baltimore). 2023 Aug 4;102(31):e34520. doi: 10.1097/MD.0000000000034520.
5
Rare Occurrence of an Intraocular Choroidal Solitary Fibrous Tumor/Hemangiopericytoma.
Ocul Oncol Pathol. 2018 Jun;4(4):213-219. doi: 10.1159/000481947. Epub 2017 Dec 16.
6
Surgical treatment of primary solitary fibrous tumors involving the pelvic ring.
PLoS One. 2018 Nov 27;13(11):e0207581. doi: 10.1371/journal.pone.0207581. eCollection 2018.
7
Total resection combined with osteotomy is more effective for orbital solitary fibrous tumor excision: a report of three cases.
Int Ophthalmol. 2018 Feb;38(1):345-351. doi: 10.1007/s10792-016-0421-2. Epub 2017 Jan 4.

本文引用的文献

2
Post-operative radiotherapy for the treatment of malignant solitary fibrous tumor of the nasal and paranasal area.
Jpn J Clin Oncol. 2014 Oct;44(10):926-31. doi: 10.1093/jjco/hyu100. Epub 2014 Aug 5.
3
Intracranial hemangiopericytoma--our experience in 30 years: a series of 43 cases and review of the literature.
World Neurosurg. 2014 Mar-Apr;81(3-4):556-62. doi: 10.1016/j.wneu.2013.11.009. Epub 2013 Nov 13.
4
Dacarbazine in solitary fibrous tumor: a case series analysis and preclinical evidence vis-a-vis temozolomide and antiangiogenics.
Clin Cancer Res. 2013 Sep 15;19(18):5192-201. doi: 10.1158/1078-0432.CCR-13-0776. Epub 2013 Jul 25.
5
Response to chemotherapy of solitary fibrous tumour: a retrospective study.
Eur J Cancer. 2013 Jul;49(10):2376-83. doi: 10.1016/j.ejca.2013.03.017. Epub 2013 Apr 6.
6
Trans-sacral resection of a solitary fibrous tumor in the pelvis: report of a case.
Surg Today. 2011 Nov;41(11):1548-51. doi: 10.1007/s00595-010-4535-2. Epub 2011 Oct 4.
7
9
Sunitinib malate and figitumumab in solitary fibrous tumor: patterns and molecular bases of tumor response.
Mol Cancer Ther. 2010 May;9(5):1286-97. doi: 10.1158/1535-7163.MCT-09-1205.

文献AI研究员

20分钟写一篇综述,助力文献阅读效率提升50倍。

立即体验

用中文搜PubMed

大模型驱动的PubMed中文搜索引擎

马上搜索

文档翻译

学术文献翻译模型,支持多种主流文档格式。

立即体验