Zhang Peng, Bai Yan, Lu Ling, Li Yun, Duan Cunming
Department of Molecular, Cellular, and Developmental Biology, University of Michigan, Ann Arbor, United States.
Key Laboratory of Marine Drugs, Ministry of Education and School of Medicine and Pharmacy, Ocean University of China, Qingdao, China.
Elife. 2016 Jan 14;5:e08996. doi: 10.7554/eLife.08996.
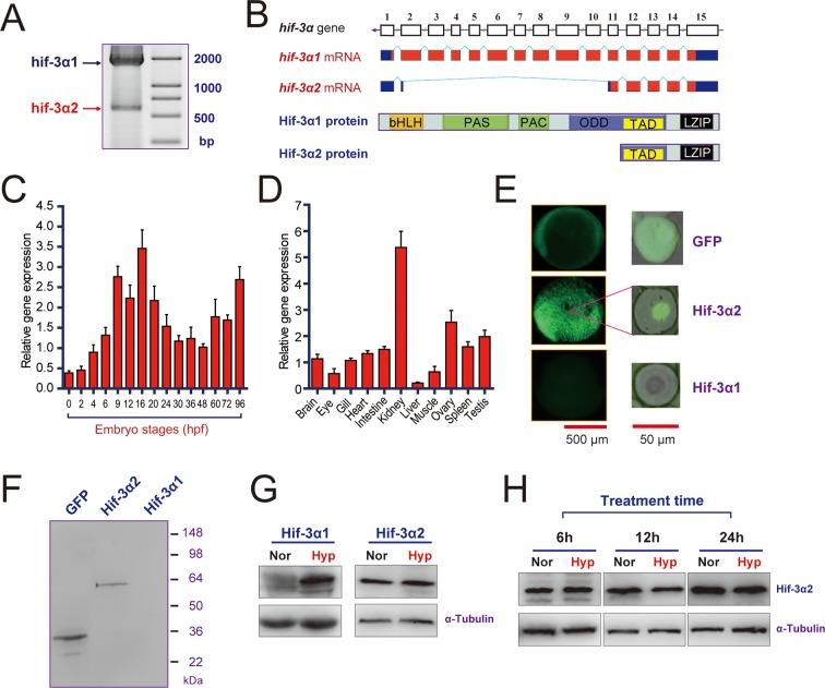
Hypoxia-inducible factors (HIFs), while best known for their roles in the hypoxic response, have oxygen-independent roles in early development with poorly defined mechanisms. Here, we report a novel Hif-3α variant, Hif-3α2, in zebrafish. Hif-3α2 lacks the bHLH, PAS, PAC, and ODD domains, and is expressed in embryonic and adult tissues independently of oxygen availability. Hif-3α2 is a nuclear protein with significant hypoxia response element (HRE)-dependent transcriptional activity. Hif-3α2 overexpression not only decreases embryonic growth and developmental timing but also causes left-right asymmetry defects. Genetic deletion of Hif-3α2 by CRISPR/Cas9 genome editing increases, while Hif-3α2 overexpression decreases, Wnt/β-catenin signaling. This action is independent of its HRE-dependent transcriptional activity. Mechanistically, Hif-3α2 binds to β-catenin and destabilizes the nuclear β-catenin complex. This mechanism is distinct from GSK3β-mediated β-catenin degradation and is conserved in humans. These findings provide new insights into the oxygen-independent actions of HIFs and uncover a novel mechanism regulating Wnt/β-catenin signaling.
缺氧诱导因子(HIFs)虽然因其在缺氧反应中的作用而最为人所知,但在早期发育中具有不依赖氧气的作用,其机制尚不明确。在此,我们报道了斑马鱼中一种新的Hif-3α变体Hif-3α2。Hif-3α2缺乏bHLH、PAS、PAC和ODD结构域,且在胚胎和成年组织中表达,与氧气供应无关。Hif-3α2是一种具有显著缺氧反应元件(HRE)依赖性转录活性的核蛋白。Hif-3α2过表达不仅会降低胚胎生长和发育时间,还会导致左右不对称缺陷。通过CRISPR/Cas9基因组编辑对Hif-3α2进行基因缺失会增加Wnt/β-连环蛋白信号通路,而Hif-3α2过表达则会降低该信号通路。这种作用与其HRE依赖性转录活性无关。从机制上讲,Hif-3α2与β-连环蛋白结合并使核β-连环蛋白复合物不稳定。这种机制不同于GSK3β介导的β-连环蛋白降解,且在人类中保守。这些发现为HIFs的不依赖氧气的作用提供了新见解,并揭示了一种调节Wnt/β-连环蛋白信号通路的新机制。