Liu Tsang-Pai, Chen Yi-Ping, Chou Chih-Ming, Chiu Ting-Ting, Chen Chien-Tsu
Mackay Junior College of Medicine, Nursing and Management, Taipei, Taiwan.
Department of Surgery, Mackay Memorial Hospital, Taipei, Taiwan.
J Biomed Sci. 2016 Jan 20;23:11. doi: 10.1186/s12929-016-0226-7.
Homeostasis of reactive oxygen species (ROS) in the skin is regulated by antioxidant defenses. The inflammatory states of skin diseases which range from acute rashes to chronic conditions are related to the level of ROS. The involvement of superoxide dismutase (SOD) in restoring the antioxidant capacity can then neutralize the inflammatory response.
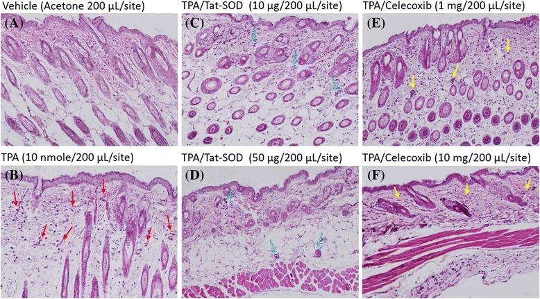
We found that denatured Tat-SOD formulated in an aqueous medium could be delivered into mouse skin and the penetration signals of Tat-SOD were detected in the epidermis and dermis. According to immunohistochemical staining, Tat-SOD successfully suppressed inflammation induced by 12-O-tetradecanoylphorbol-13-acetate (TPA), the expression of sodium nitroferricyanide (SNP)-induced cyclooxygenase-2 (COX-2), and the production of nitrotyrosine proteins. In nerve growth factor (NGF) induced differentiated PC12 pheochromocytoma cells, we demonstrated that the denatured Tat-SOD regained its antioxidant activity and effectively protected PC12 cells from DNA fragmentation induced by paraquat. Using a luciferase reporter assay, the data was shown Tat-SOD protected PC12 cells from ROS damage, through suppression of COX-2 or nuclear factor-κB (NF-κB) activity occurred at the transcriptional level.
We showed that Tat-SOD inhibited SNP-induced COX-2 expression similarly to celecoxib and prevented the formation of peroxynitrite as 2-phenyl-4,4,5,5-tetramethylimidazoline-1-oxyl-3-oxide. The results suggest that denatured Tat-SOD solution may perform potential protein therapy for patients suffering from disorders related to ROS.
皮肤中活性氧(ROS)的稳态由抗氧化防御机制调节。从急性皮疹到慢性疾病的各种皮肤疾病的炎症状态与ROS水平有关。超氧化物歧化酶(SOD)参与恢复抗氧化能力,进而可以中和炎症反应。
我们发现,在水性介质中配制的变性Tat-SOD可以递送至小鼠皮肤,并在表皮和真皮中检测到Tat-SOD的渗透信号。根据免疫组织化学染色,Tat-SOD成功抑制了12-O-十四烷酰佛波醇-13-乙酸酯(TPA)诱导的炎症、硝普钠(SNP)诱导的环氧化酶-2(COX-2)的表达以及硝基酪氨酸蛋白的产生。在神经生长因子(NGF)诱导分化的PC12嗜铬细胞瘤细胞中,我们证明变性的Tat-SOD恢复了其抗氧化活性,并有效保护PC12细胞免受百草枯诱导的DNA片段化。使用荧光素酶报告基因测定法,数据表明Tat-SOD通过在转录水平抑制COX-2或核因子-κB(NF-κB)活性来保护PC12细胞免受ROS损伤。
我们表明,Tat-SOD与塞来昔布类似地抑制SNP诱导的COX-2表达,并像2-苯基-4,4,5,5-四甲基咪唑啉-1-氧基-3-氧化物一样防止过氧亚硝酸盐的形成。结果表明,变性Tat-SOD溶液可能对患有与ROS相关疾病的患者进行潜在的蛋白质治疗。