Suppr超能文献

在因肾肿瘤进行的部分肾切除标本中发现肾结核。

Discovery of Renal Tuberculosis in a Partial Nephrectomy Specimen Done for Renal Tumor.

作者信息

Saadi Ahmed, Ayed Haroun, Bouzouita Abderrazak, Kerkeni Walid, Cherif Mohamed, Ben Slama Riadh M, Derouiche Amine, Chebil Mohamed

机构信息

Urology Department, Charles Nicolle University Hospital, Boulevard 9 avril 1938, Tunis 1006, Tunisia.

出版信息

Urol Case Rep. 2015 Mar 4;3(3):68-9. doi: 10.1016/j.eucr.2015.01.009. eCollection 2015 May.

Abstract

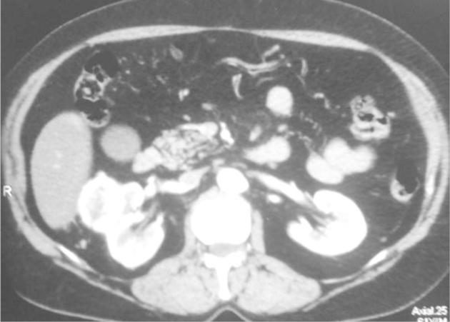
The association of renal cancer and renal tuberculosis is uncommon. While the incidental discovery of renal cell carcinoma in a tuberculous kidney is a classical finding, the discovery of tuberculous lesions after nephrectomy for cancer is exceptional. We report the case of a female patient aged 60 who had a partial nephrectomy for a 5 cm exophytic kidney tumor. Pathological examination concluded that renal clear cell carcinoma associated with follicular caseo tuberculosis.

摘要

肾癌与肾结核的关联并不常见。虽然在结核性肾脏中偶然发现肾细胞癌是一个经典发现,但在因癌症进行肾切除术后发现结核病变则较为罕见。我们报告一例60岁女性患者,因一个5厘米的外生性肾肿瘤接受了部分肾切除术。病理检查结果为肾透明细胞癌合并滤泡性干酪样结核。

https://cdn.ncbi.nlm.nih.gov/pmc/blobs/b7da/4714282/25eaf27b8a94/gr1.jpg

文献AI研究员

20分钟写一篇综述,助力文献阅读效率提升50倍。

立即体验

用中文搜PubMed

大模型驱动的PubMed中文搜索引擎

马上搜索

文档翻译

学术文献翻译模型,支持多种主流文档格式。

立即体验