Suppr超能文献

靶向Pten基因敲除小鼠中异质性前列腺肿瘤的特征分析

Characterization of Heterogeneous Prostate Tumors in Targeted Pten Knockout Mice.

作者信息

Korsten Hanneke, Ziel-van der Made Angelique C J, van Weerden Wytske M, van der Kwast Theo, Trapman Jan, Van Duijn Petra W

机构信息

Department of Pathology, Josephine Nefkens Institute, Erasmus Medical Center, Rotterdam, The Netherlands.

Department of Urology, Josephine Nefkens Institute, Erasmus Medical Center, Rotterdam, The Netherlands.

出版信息

PLoS One. 2016 Jan 25;11(1):e0147500. doi: 10.1371/journal.pone.0147500. eCollection 2016.

Abstract

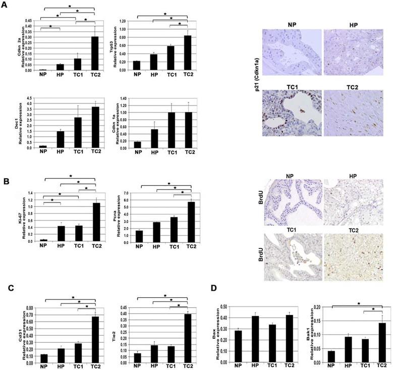
Previously, we generated a preclinical mouse prostate tumor model based on PSA-Cre driven inactivation of Pten. In this model homogeneous hyperplastic prostates (4-5m) developed at older age (>10m) into tumors. Here, we describe the molecular and histological characterization of the tumors in order to better understand the processes that are associated with prostate tumorigenesis in this targeted mouse Pten knockout model. The morphologies of the tumors that developed were very heterogeneous. Different histopathological growth patterns could be identified, including intraductal carcinoma (IDC), adenocarcinoma and undifferentiated carcinoma, all strongly positive for the epithelial cell marker Cytokeratin (CK), and carcinosarcomas, which were negative for CK. IDC pattern was already detected in prostates of 7-8 month old mice, indicating that it could be a precursor stage. At more than 10 months IDC and carcinosarcoma were most frequently observed. Gene expression profiling discriminated essentially two molecular subtypes, denoted tumor class 1 (TC1) and tumor class 2 (TC2). TC1 tumors were characterized by high expression of epithelial markers like Cytokeratin 8 and E-Cadherin whereas TC2 tumors showed high expression of mesenchyme/stroma markers such as Snail and Fibronectin. These molecular subtypes corresponded with histological growth patterns: where TC1 tumors mainly represented adenocarcinoma/intraductal carcinoma, in TC2 tumors carcinosarcoma was the dominant growth pattern. Further molecular characterization of the prostate tumors revealed an increased expression of genes associated with the inflammatory response. Moreover, functional markers for senescence, proliferation, angiogenesis and apoptosis were higher expressed in tumors compared to hyperplasia. The highest expression of proliferation and angiogenesis markers was detected in TC2 tumors. Our data clearly showed that in the genetically well-defined PSA-Cre;Pten-loxP/loxP prostate tumor model, histopathological, molecular and biological heterogeneity occurred during later stages of tumor development.

摘要

此前,我们基于PSA-Cre驱动的Pten基因失活构建了一种临床前小鼠前列腺肿瘤模型。在该模型中,老龄(>10个月)小鼠的均匀增生前列腺(4-5毫米)会发展为肿瘤。在此,我们描述了肿瘤的分子和组织学特征,以便更好地理解在这个靶向小鼠Pten基因敲除模型中与前列腺肿瘤发生相关的过程。所形成肿瘤的形态非常异质性。可以识别出不同的组织病理学生长模式,包括导管内癌(IDC)、腺癌和未分化癌,所有这些对上皮细胞标志物细胞角蛋白(CK)均呈强阳性,以及对CK呈阴性的癌肉瘤。在7-8个月龄小鼠的前列腺中已检测到IDC模式,表明它可能是一个前期阶段。在超过10个月时,最常观察到IDC和癌肉瘤。基因表达谱分析基本区分出两种分子亚型,分别称为肿瘤类别1(TC1)和肿瘤类别2(TC2)。TC1肿瘤的特征是上皮标志物如细胞角蛋白8和E-钙黏蛋白的高表达,而TC2肿瘤则显示间充质/基质标志物如Snail和纤连蛋白的高表达。这些分子亚型与组织学生长模式相对应:其中TC1肿瘤主要表现为腺癌/导管内癌,而在TC2肿瘤中癌肉瘤是主要的生长模式。对前列腺肿瘤的进一步分子特征分析显示,与炎症反应相关的基因表达增加。此外,与增生相比,衰老、增殖、血管生成和凋亡的功能标志物在肿瘤中表达更高。在TC2肿瘤中检测到增殖和血管生成标志物的最高表达。我们的数据清楚地表明,在基因定义明确的PSA-Cre;Pten-loxP/loxP前列腺肿瘤模型中,组织病理学、分子和生物学异质性在肿瘤发展的后期阶段出现。

https://cdn.ncbi.nlm.nih.gov/pmc/blobs/20c9/4726760/9c7d6f253782/pone.0147500.g001.jpg

文献AI研究员

20分钟写一篇综述,助力文献阅读效率提升50倍。

立即体验

用中文搜PubMed

大模型驱动的PubMed中文搜索引擎

马上搜索

文档翻译

学术文献翻译模型,支持多种主流文档格式。

立即体验