Suppr超能文献

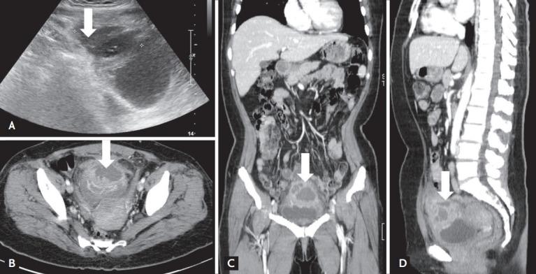
Urachal abscess precipitated as acute pyelonephritis in an adult patient with diabetes.

作者信息

Choi Yoo A, Kim Se Young, Chang Kyung Yoon, Hwang Hyeon Seok, Kim Suk Young, Chang Yoon Kyung

机构信息

Division of Nephrology, Department of Internal Medicine, College of Medicine, The Catholic University of Korea, Seoul, Korea.

出版信息

Korean J Intern Med. 2016 Jul;31(4):798-801. doi: 10.3904/kjim.2014.376. Epub 2016 Jan 28.

Abstract
摘要
https://cdn.ncbi.nlm.nih.gov/pmc/blobs/1fad/4939492/c73603845384/kjim-2014-376f1.jpg

文献AI研究员

20分钟写一篇综述,助力文献阅读效率提升50倍。

立即体验

用中文搜PubMed

大模型驱动的PubMed中文搜索引擎

马上搜索

文档翻译

学术文献翻译模型,支持多种主流文档格式。

立即体验