Suppr超能文献

小梁切开小梁切除术联合5-氟尿嘧啶治疗原发性先天性青光眼后迟发性脉络膜上腔出血

Primary Congenital Glaucoma with Delayed Suprachoroidal Hemorrhage following Combined Trabeculotomy Trabeculectomy and 5-Fluorouracil.

作者信息

Duke Roseline, Ikpeme Anthonia

机构信息

Department of Ophthalmology, University of Calabar Teaching Hospital, Calabar, Cross River State, Nigeria.

Department of Radiology, University of Calabar Teaching Hospital, Calabar, Cross River State, Nigeria.

出版信息

Case Rep Ophthalmol Med. 2015;2015:163859. doi: 10.1155/2015/163859. Epub 2015 Dec 24.

Abstract

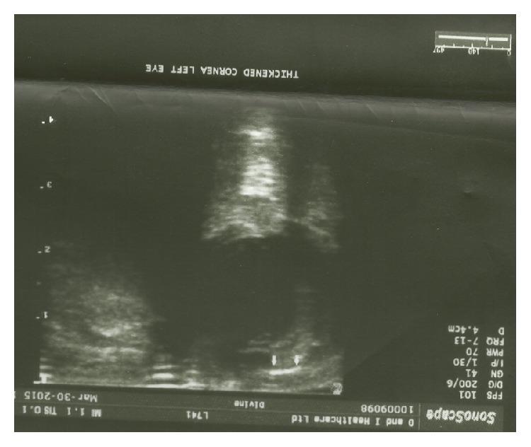
Background. Delayed postoperative suprachoroidal hemorrhage (DSCH) may occur following intraocular surgery for the treatment of glaucoma. It is considered to be a rare and debilitating event if not managed appropriately. Reported herewith is a case of Primary Congenital Glaucoma followed by DSCH with successful immediate surgical intervention and visual restoration. Patient and Method. An 8-month-old male child had bilateral Primary Congenital Glaucoma (PCG). Combined Trabeculotomy Trabeculectomy with 5-Fluorouracil (5FU) was performed. He developed delayed suprachoroidal hemorrhage (DSCH) within 24 hours after intraocular surgery which was drained. In addition, he developed exposure keratopathy and left amblyopia. Outcome. Resolution of the DSCH was seen with surgical drainage in addition to treatments for exposure keratopathy and amblyopia. These resulted in reduced intraocular pressure and improved visual acuities. Conclusion. There appears to be a difference in the overall management of PCG and DSCH between adults and children. A high index of suspicion as well as emergency surgical treatment for DSCH and associated conditions should be performed on pediatric patients that present with these challenges.

摘要

背景。青光眼眼内手术后可能发生术后迟发性脉络膜上腔出血(DSCH)。如果处理不当,它被认为是一种罕见且使人衰弱的事件。本文报告一例原发性先天性青光眼继发DSCH,经立即手术干预成功并恢复视力的病例。患者与方法。一名8个月大的男童患有双侧原发性先天性青光眼(PCG)。实施了联合小梁切开小梁切除术并使用5-氟尿嘧啶(5FU)。他在眼内手术后24小时内发生了迟发性脉络膜上腔出血(DSCH),随后进行了引流。此外,他还出现了暴露性角膜病变和左眼弱视。结果。除了对暴露性角膜病变和弱视进行治疗外,通过手术引流使DSCH得到缓解。这些措施降低了眼压并提高了视力。结论。成人和儿童在PCG和DSCH的整体管理上似乎存在差异。对于出现这些问题的儿科患者,应保持高度怀疑,并对DSCH及相关病症进行紧急手术治疗。

https://cdn.ncbi.nlm.nih.gov/pmc/blobs/729f/4706872/c94feadc0838/CRIOPM2015-163859.001.jpg

文献AI研究员

20分钟写一篇综述,助力文献阅读效率提升50倍。

立即体验

用中文搜PubMed

大模型驱动的PubMed中文搜索引擎

马上搜索

文档翻译

学术文献翻译模型,支持多种主流文档格式。

立即体验