Suppr超能文献

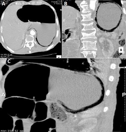
[A rare and fulminant form of gastritis: emphysematous gastritis].

作者信息

Mahmoudi Ammar, Maâtouk Mezri

机构信息

Service de Chirurgie Générale et Digestive, CHU Fattouma Bourguiba de Monastir, Tunisie.

Service d'Imagerie Médicale, CHU Fattouma Bourguiba de Monastir, Tunisie.

出版信息

Pan Afr Med J. 2015 Sep 18;22:58. doi: 10.11604/pamj.2015.22.58.7910. eCollection 2015.

Abstract
摘要
https://cdn.ncbi.nlm.nih.gov/pmc/blobs/05e6/4725653/230014efbfda/PAMJ-22-58-g001.jpg

文献AI研究员

20分钟写一篇综述,助力文献阅读效率提升50倍。

立即体验

用中文搜PubMed

大模型驱动的PubMed中文搜索引擎

马上搜索

文档翻译

学术文献翻译模型,支持多种主流文档格式。

立即体验