Suppr超能文献

[Jurkat细胞中SFRP基因的启动子甲基化状态及去甲基化诱导的细胞凋亡]

[Promoter methylation status of SFRP genes and induced apoptosis by demethylation in Jurkat cells].

作者信息

Xu Chengbo, Shen Jianzhen, Liao Bin, Fu Haiying, Zhou Huarong, Qi Yan, Huangfu Zhenping, Chen Yining, Chen Jiawei

机构信息

Department of Hematology, the Affiliated People's Hospital of Fujian University of Traditional Chinese Medicine, Fuzhou 350004, China.

出版信息

Zhonghua Xue Ye Xue Za Zhi. 2016 Jan;37(1):51-5. doi: 10.3760/cma.j.issn.0253-2727.2016.01.010.

Abstract

OBJECTIVE

To study the promoter methylation status of SFRP genes and the effect of 5- aza- 2'- deoxycytidine (5- Aza- CdR)induced apoptosis via Wnt/β- catenin pathway by demethylation in Jurkat cells.

METHODS

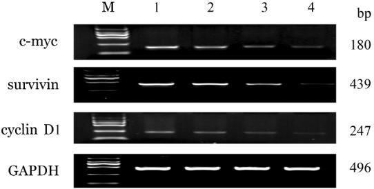
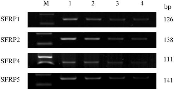
Jurkat cells were treated with different concentrations of 5- Aza- CdR. The cell proliferation level of Jurkat cells was detected by MTT assay. Apoptosis was evaluated by flow cytometry. Methylation- spcific PCR (MSP) was used to determine the methylation status of SFRP genes. The expressions of SFRP genes were detected by real time fluorescence quantitative PCR. The mRNA expression levels of survivin, c- myc and cyclin- D1 were analyzed by RT- PCR. Western blot was used to detect the levels of β-catenin protein.

RESULTS

Compared with control group, the different concentrations of 5-Aza-CdR could significantly inhibit the proliferation of Jurkat cells in a time-dose dependent manner (P<0.05). After being treated by 5- Aza- CdR for 48 hours, the cell early apoptosis rate in experiment group was significantly higher than that in control group (P<0.05). The promoters of SFRP1, SFRP2, SFRP4, SFRP5 genes were hypermethylation state in the control group, after being treated by 5-Aza-CdR for 72 hours, the brightness of SFRP1, SFRP2, SFRP4, SFRP5 genes' methylation strips weakened in a dose- dependent manner. SFRP mRNA expression increased (P<0.05) when 5- Aza- CdR concentration increased, and the level of β- catenin protein was dampened in a dose- dependent manner (P<0.05). As compared to the control group, the mRNA expressions of associated apoptosis genes survivin, c-myc and cyclin- D1, respectively were obviously down- regulated in a dose- dependent manner (P<0.05).

CONCLUSION

The effect of demethylation could up- regulate SFRP genes expressions by reversing its hypermethylation and induced apoptosis by down-regulation of β-catenin and associated apoptosis genes.

摘要

目的

研究SFRP基因的启动子甲基化状态以及5-氮杂-2'-脱氧胞苷(5-Aza-CdR)通过去甲基化作用经Wnt/β-连环蛋白途径诱导Jurkat细胞凋亡的作用。

方法

用不同浓度的5-Aza-CdR处理Jurkat细胞。采用MTT法检测Jurkat细胞的增殖水平。通过流式细胞术评估细胞凋亡情况。采用甲基化特异性PCR(MSP)法检测SFRP基因的甲基化状态。采用实时荧光定量PCR检测SFRP基因的表达。通过RT-PCR分析survivin、c-myc和细胞周期蛋白D1的mRNA表达水平。采用蛋白质免疫印迹法检测β-连环蛋白的蛋白水平。

结果

与对照组相比,不同浓度的5-Aza-CdR可呈时间-剂量依赖性地显著抑制Jurkat细胞的增殖(P<0.05)。5-Aza-CdR处理48小时后,实验组细胞早期凋亡率显著高于对照组(P<0.05)。对照组中SFRP1、SFRP2、SFRP4、SFRP5基因的启动子处于高甲基化状态,5-Aza-CdR处理72小时后,SFRP1、SFRP2、SFRP4、SFRP5基因甲基化条带的亮度呈剂量依赖性减弱。随着5-Aza-CdR浓度增加,SFRP mRNA表达增加(P<0.05),β-连环蛋白蛋白水平呈剂量依赖性降低(P<0.05)。与对照组相比,相关凋亡基因survivin、c-myc和细胞周期蛋白D1的mRNA表达分别呈剂量依赖性明显下调(P<0.05)。

结论

去甲基化作用可通过逆转SFRP基因的高甲基化上调其表达,并通过下调β-连环蛋白及相关凋亡基因诱导细胞凋亡。

https://cdn.ncbi.nlm.nih.gov/pmc/blobs/2026/7342293/968ccab6ebaf/cjh-37-01-051-g001.jpg

文献AI研究员

20分钟写一篇综述,助力文献阅读效率提升50倍。

立即体验

用中文搜PubMed

大模型驱动的PubMed中文搜索引擎

马上搜索

文档翻译

学术文献翻译模型,支持多种主流文档格式。

立即体验