Suppr超能文献

转化生长因子-β1对血管球囊损伤后间充质干细胞迁移和募集的影响:基质金属蛋白酶-14的作用

Effect of TGF-β1 on the Migration and Recruitment of Mesenchymal Stem Cells after Vascular Balloon Injury: Involvement of Matrix Metalloproteinase-14.

作者信息

Zhao Wei, Wang Chengyan, Liu Ruixue, Wei Cuilei, Duan Juncang, Liu Kejian, Li Shugang, Zou Hong, Zhao Jin, Wang Lianghai, Qi Yan, Liang Weihua, Jiang Jinfang, Zhang Wenjie, Pang Lijuan, Li Feng

机构信息

Department of Pathology and Key Laboratory of Xinjiang Endemic and Ethnic Diseases (Ministry of Education), Shihezi University School of Medicine, 59 North 2nd Road, Shihezi, Xinjiang 832002, China.

Department of Cardiology, the First Affiliated Hospital, Shihezi University School of Medicine, 45 North 3rd Road, Shihezi, Xinjiang 832008, China.

出版信息

Sci Rep. 2016 Feb 16;6:21176. doi: 10.1038/srep21176.

Abstract

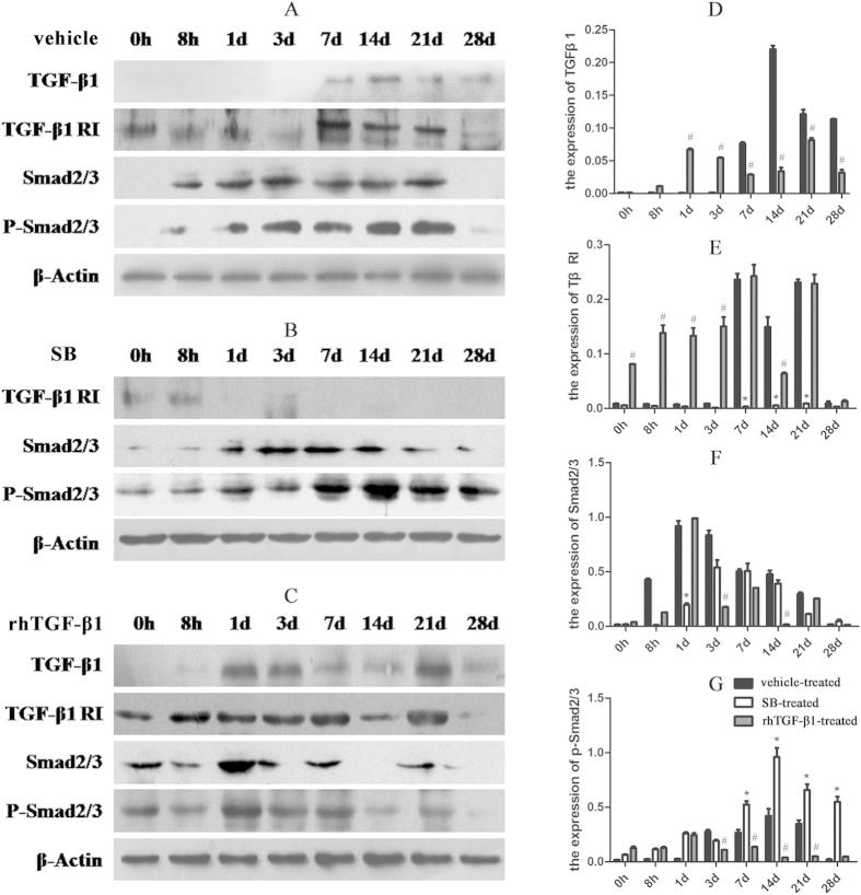
Restenosis or occlusion after vascular procedures is ascribed to intimal hyperplasia. Transforming growth factor (TGF)-β1 is involved in recruitment of mesenchymal stem cells (MSCs) following arterial injury, and its release from latent TGF-binding protein by matrix metalloproteinase (MMP)-14-induced proteolysis contributes to neointima formation. However, the relationship between MMP-14 and TGF-β1 activation in restenosis is unknown. This study investigated the relationship using a rat model of balloon-induced injury. Rats were assigned to vehicle-, SB431542 (SB)-, or recombinant human (rh)TGF-β1-treated groups and examined at various time points after balloon-induced injury for expression of TGF-β1/Smad signalling pathway components, MMP-14 and MSCs markers including Nestin, CD29, and Sca1(+)CD29(+)CD11b/c(-)CD45(-). Intimal hyperplasia was reduced in SB- and rhTGF-β1-treated rats. The expression of TGF-β1, TGF-β1RI, and Smad2/3 was decreased, but the levels of phosphorylated Smad2/3 were higher in SB-treated rats than vehicle-treated after 7 days to 14 days. rhTGF-β1 administration decreased the expression of TGF-β1/Smad pathway proteins, except for TGF-β1RI. Nestin and CD29 expression and the number of Sca1(+)CD29(+)CD11b(-)CD45(-) cells were reduced, whereas MMP-14 expression was increased after SB431542 and rhTGF-β1 administration. These results suggest that TGF-β1/Smad signalling and MMP-14 act to recruit MSCs which differentiate to vascular smooth muscle cells and mesenchymal-like cells that participate in arterial repair/remodelling.

摘要

血管手术后的再狭窄或闭塞归因于内膜增生。转化生长因子(TGF)-β1参与动脉损伤后间充质干细胞(MSC)的募集,其通过基质金属蛋白酶(MMP)-14诱导的蛋白水解作用从潜伏性TGF结合蛋白中释放出来,有助于新生内膜形成。然而,再狭窄中MMP-14与TGF-β1激活之间的关系尚不清楚。本研究使用球囊损伤大鼠模型研究了这种关系。将大鼠分为溶剂对照组、SB431542(SB)处理组或重组人(rh)TGF-β1处理组,并在球囊损伤后的不同时间点检查TGF-β1/Smad信号通路成分、MMP-14和MSC标志物(包括巢蛋白、CD29和Sca1(+)CD29(+)CD11b/c(-)CD45(-))的表达。SB和rhTGF-β1处理的大鼠内膜增生减少。在7天至14天后,SB处理的大鼠中TGF-β1、TGF-β1RI和Smad2/3的表达降低,但磷酸化Smad2/3的水平高于溶剂对照组。除TGF-β1RI外,rhTGF-β1给药降低了TGF-β1/Smad通路蛋白的表达。SB431542和rhTGF-β1给药后,巢蛋白和CD29的表达以及Sca1(+)CD29(+)CD11b(-)CD45(-)细胞的数量减少,而MMP-14的表达增加。这些结果表明,TGF-β1/Smad信号和MMP-14作用于募集MSC,后者分化为血管平滑肌细胞和间充质样细胞,参与动脉修复/重塑。

https://cdn.ncbi.nlm.nih.gov/pmc/blobs/c884/4754777/7205b652af1b/srep21176-f1.jpg

文献AI研究员

20分钟写一篇综述,助力文献阅读效率提升50倍。

立即体验

用中文搜PubMed

大模型驱动的PubMed中文搜索引擎

马上搜索

文档翻译

学术文献翻译模型,支持多种主流文档格式。

立即体验