Park Hye-Jin, Kim Duk-Kyung, Yang Mi-Kyung, Seo Jeong-Eun, Kwon Ji-Hye
Department of Anesthesiology and Pain Medicine, Samsung Medical Center, Sungkyunkwan University School of Medicine, Seoul, Korea.
Department of Surgery, Samsung Medical Center, Sungkyunkwan University School of Medicine, Seoul, Korea.
Korean J Anesthesiol. 2016 Feb;69(1):88-92. doi: 10.4097/kjae.2016.69.1.88. Epub 2016 Jan 28.
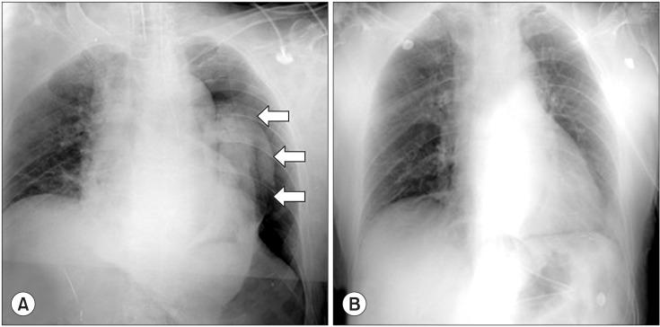
During laparoscopic surgery, carbon dioxide (CO2) pneumothorax can develop due to a congenital defect in the diaphragm. We present a case of a spontaneous massive left-sided pneumothorax that occurred during laparoscopy-assisted gastrectomy, because of an escape of intraperitoneal CO2 gas, under pressure, into the pleural cavity through a congenital defect in the esophageal hiatus of the left diaphragm. This was confirmed on intraoperative chest radiography and laparoscopic inspection. This CO2 pneumothorax caused tolerable hemodynamic and respiratory consequences, and was rapidly reversible after release of the pneumoperitoneum. Thus, a conservative approach was adopted, and the remainder of the surgery was completed, laparoscopically. Due to the high solubility of CO2 gas and the extra-pulmonary mechanism, CO2 pneumothorax with otherwise hemodynamically stable conditions can be managed by conservative modalities, avoiding unnecessary chest tube insertion or conversion to an open procedure.
在腹腔镜手术期间,由于膈肌先天性缺陷可发生二氧化碳(CO₂)气胸。我们报告一例在腹腔镜辅助胃切除术期间发生的自发性大量左侧气胸病例,原因是腹腔内CO₂气体在压力作用下通过左膈肌食管裂孔的先天性缺陷进入胸腔。这在术中胸部X线检查和腹腔镜检查中得到证实。这种CO₂气胸引起了可耐受的血流动力学和呼吸方面的后果,在气腹解除后迅速可逆。因此,采取了保守方法,手术的其余部分通过腹腔镜完成。由于CO₂气体的高溶解性和肺外机制,在血流动力学稳定的情况下,CO₂气胸可通过保守方式处理,避免不必要的胸腔置管或转为开放手术。