Suppr超能文献

采用球囊扩张技术经皮取出栓塞的导管尖端。

Percutaneous Retrieval of an Embolized Catheter Tip With the Balloon Dilatation Technique.

作者信息

Karaca Oguz, Cakal Beytullah, Omaygenc Onur, Turkmen Muhsin

机构信息

Cardiology Department, Faculty of Medicine, Medipol University, Istanbul, Turkey.

Kartal Kosuyolu Heart and Research Hospital, Cardiology Department, Istanbul, Turkey.

出版信息

Res Cardiovasc Med. 2016 Jan 16;5(1):e30890. doi: 10.5812/cardiovascmed.30890. eCollection 2016 Feb.

Abstract

INTRODUCTION

Increasing numbers of complex percutaneous coronary interventions have been accompanied by various intra-procedural complications. The fracture and embolization of devices or their fragments are potentially life-threatening situations, depending on the site of embolization. Different non-surgical methods to handle embolic complications have been proposed for different clinical situations.

CASE PRESENTATION

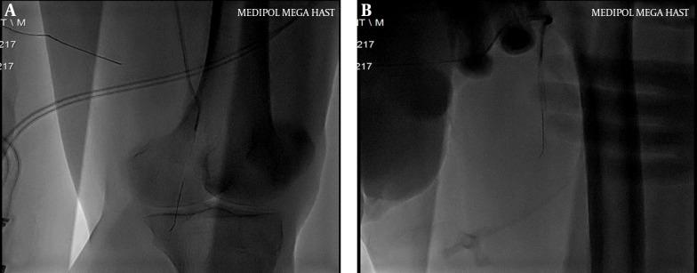
We present a case of a distally embolized catheter fragment that was percutaneously retrieved. The catheter fragment was tightly held by the inflated balloon, moved together with the system, and successfully retrieved out of the circulation via the femoral sheath. Considerable distal embolization of the foreign body and retrieval with the balloon dilatation technique are the unique features of this case.

CONCLUSIONS

The present case appears to offer a safe and relatively simple method of balloon dilatation inside the lumen of the embolized fragment when the foreign body is too distal to retrieve with conventional snare systems.

摘要

引言

越来越多的复杂经皮冠状动脉介入治疗伴随着各种术中并发症。器械或其碎片的断裂和栓塞是潜在的危及生命的情况,这取决于栓塞的部位。针对不同的临床情况,已经提出了不同的处理栓塞并发症的非手术方法。

病例介绍

我们报告一例经皮取出远端栓塞导管碎片的病例。导管碎片被充气的球囊紧紧夹住,与系统一起移动,并通过股鞘成功从循环中取出。异物的大量远端栓塞以及通过球囊扩张技术取出是本病例的独特特征。

结论

当异物位于太远端而无法用传统圈套系统取出时,本病例似乎提供了一种在栓塞碎片腔内进行球囊扩张的安全且相对简单的方法。

https://cdn.ncbi.nlm.nih.gov/pmc/blobs/1264/4752695/20b2d3466524/cardiovascmed-05-01-30890-g001.jpg

文献AI研究员

20分钟写一篇综述,助力文献阅读效率提升50倍。

立即体验

用中文搜PubMed

大模型驱动的PubMed中文搜索引擎

马上搜索

文档翻译

学术文献翻译模型,支持多种主流文档格式。

立即体验