Dulani Kirti Satish, Bhavsar Neeta Vijay, Trivedi Sakshee Rahul, Trivedi Rahul Anil
Department of Periodontology and Implantology, Government Dental College and Hospital, Asarwa, Ahmedabad, Gujarat, India.
Department of Orthodontia and Dentofacial Orthopedics, Government Dental College and Hospital, Asarwa, Ahmedabad, Gujarat, India.
J Indian Soc Periodontol. 2015 Nov-Dec;19(6):659-64. doi: 10.4103/0972-124X.164762.
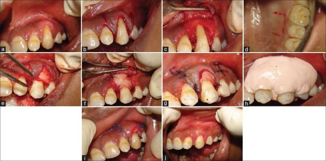
The purpose of the study was to compare clinical outcomes of laterally positioned pedicle graft (LPPG) and subepithelial connective tissue graft (SCTG) for treatment of Miller's Class I and II gingival recession defects, at the end of 6 months.
Sixty Miller's Class I or II gingival recession defects (≥3 mm) (n = 30 each) on the labial aspect of anterior teeth were treated by either of the above techniques. Clinical parameters including recession depth (RD), width of keratinized gingiva (WKG), percentage of root coverage (%RC), and complete RC were recorded at baseline and 6 months postoperatively. Data were recorded and statistical analysis was done for both intergroup and intragroup.
Paired t-test intragroup and Student's t-test intergroup.
In LPPG, RD decreased from 4.9 ± 0.99 mm to 1.1 ± 0.3 mm and WKG increased from 0.7 ± 0.87 to 4.5 ± 0.86 mm at 6 months, while in SCTG, RD decreased from 4.67 ± 1.12 mm to 0.46 ± 0.68 mm and WKG increased from 1.1 ± 0.99 to 5.33 ± 0.72 mm at 6 months postoperatively. The values of the soft tissue coverage remained stable for 6 months.
Highly significant and effective soft tissue coverage was obtained by both techniques. LPPG resulted in effective soft tissue coverage for isolated deep narrow defects while SCTG in isolated and multiple, deep narrow and wide defects.
本研究的目的是比较侧向带蒂骨膜龈瓣移植术(LPPG)和上皮下结缔组织移植术(SCTG)治疗Miller I类和II类牙龈退缩缺损6个月后的临床效果。
采用上述两种技术之一治疗前牙唇面60例Miller I类或II类牙龈退缩缺损(≥3 mm)(每组n = 30)。在基线和术后6个月记录临床参数,包括退缩深度(RD)、角化龈宽度(WKG)、牙根覆盖百分比(%RC)和完全牙根覆盖情况。记录数据并进行组间和组内的统计分析。
组内配对t检验和组间独立样本t检验。
在LPPG组,术后6个月时RD从4.9±0.99 mm降至1.1±0.3 mm,WKG从0.7±0.87增加至4.5±0.86 mm;而在SCTG组,术后6个月时RD从4.67±1.12 mm降至0.46±0.68 mm,WKG从1.1±0.99增加至5.33±0.72 mm。软组织覆盖值在6个月内保持稳定。
两种技术均获得了高度显著且有效的软组织覆盖。LPPG对孤立的深窄型缺损可实现有效的软组织覆盖,而SCTG对孤立的、多发的、深窄型和宽型缺损均有效。