Hansson H A, Holmgren J, Svennerholm L
Proc Natl Acad Sci U S A. 1977 Sep;74(9):3782-6. doi: 10.1073/pnas.74.9.3782.
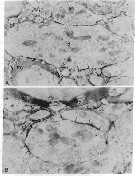
An immunoelectron microscopic method is described for sensitive high-resolution visualization of tissuebound cholera toxin. The principle is to incubate cells or tissue sections with toxin and then to localize the bound toxin with toxin-specific peroxidase (donor:hydrogen-peroxide oxidoreductase; EC 1.11.1.7)-conjugated antibody and enzyme substrate. Thin sections are examined for electron-opaque precipitates in a transmission electron microscope. Because of the specific binding of the toxin to membrane ganglioside G(M1), the method can be used for ultrastructural localization of this ganglioside. Semiquantitative data are obtained by titration of the limiting concentration of cholera toxin producing specific precipitates. The specificity of the method was controlled in various ways, including analyses of the correlation between the immunoelectron microscopy results and determinations of ganglioside G(M1) in tissues with different ganglioside concentrations, tissues hydrolyzed with Vibrio cholerae sialidase, tissues in which exogenous G(M1) has been incorporated, and lipid-extracted tissues. The immunoelectron microscopic method demonstrates that membrane G(M1) ganglioside is positioned on the external side exclusively. Cell-bound toxin remains in its original location on the plasma membrane surface of cells below 18 degrees , but appears to be redistributed both laterally and vertically in the membrane of cells incubated at 37 degrees for 30 min or longer. The results of this method indicate that in the central nervous system G(M1) is concentrated in the pre- and postsynaptic membranes of the synaptic terminals; a further increase in reactivity of these structures after hydrolysis of the nervous tissue with V. cholerae sialidase suggests that higher gangliosides of the same series are particularly increased in the pre- and postsynaptic junctions.
本文描述了一种免疫电子显微镜方法,用于敏感、高分辨率地观察组织结合的霍乱毒素。其原理是将细胞或组织切片与毒素一起孵育,然后用毒素特异性过氧化物酶(供体:过氧化氢氧化还原酶;EC 1.11.1.7)偶联抗体和酶底物来定位结合的毒素。在透射电子显微镜下检查薄片中电子不透明沉淀物。由于毒素与膜神经节苷脂G(M1)的特异性结合,该方法可用于这种神经节苷脂的超微结构定位。通过滴定产生特异性沉淀的霍乱毒素极限浓度获得半定量数据。该方法的特异性通过多种方式进行控制,包括分析免疫电子显微镜结果与不同神经节苷脂浓度组织、经霍乱弧菌唾液酸酶水解的组织、已掺入外源性G(M1)的组织以及脂质提取组织中神经节苷脂G(M1)测定之间的相关性。免疫电子显微镜方法表明,膜G(M1)神经节苷脂仅位于外侧。细胞结合的毒素在18度以下的细胞质膜表面保持其原始位置,但在37度孵育30分钟或更长时间的细胞的膜中似乎在横向和垂直方向上重新分布。该方法的结果表明,在中枢神经系统中,G(M1)集中在突触终末的突触前和突触后膜中;用霍乱弧菌唾液酸酶水解神经组织后,这些结构的反应性进一步增加,这表明同一系列的高级神经节苷脂在突触前和突触后连接处特别增加。