Freitas Vivianne, Crystal Pavel, Kulkarni Supriya R, Ghai Sandeep, Bukhanov Karina, Escallon Jaime, Scaranelo Anabel M
Department of Medical Imaging, Mount Sinai Hospital and University Health Network, University of Toronto, Toronto, Ontario, Canada.
Department of Surgery, University of Toronto, Toronto, Ontario, Canada.
Cancer Med. 2016 Jun;5(6):1031-6. doi: 10.1002/cam4.663. Epub 2016 Mar 18.
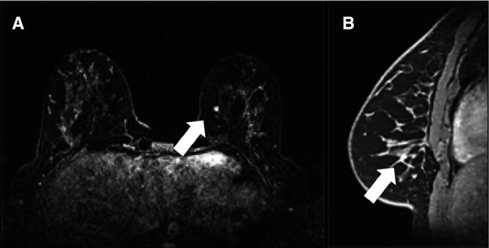
The aim of this study was to evaluate the presence of clinically and mammographically occult disease using breast MRI in a cohort of cancer patients undergoing contralateral prophylactic mastectomy (CPM) and the utmost indication of axillary assessment (sentinel node biopsy (SLNB)) for this side. A retrospective review of patients with unilateral invasive breast cancer or ductal carcinoma in situ (DCIS) from institutional MRI registry data (2004-2010) was conducted. Characteristics of patients undergoing CPM with breast MRI obtained less than 6 month before surgery were evaluated. A total of 2322 consecutive patients diagnosed with DCIS or stage I to III infiltrating breast cancer underwent preoperative breast MRI. Of these, 1376 patients (59.2%) had contralateral clinical breast exam and mammography without abnormalities; and 116 patients (4.9%) underwent CPM (28 excluded patients had breast MRI more than 6 months before CPM). The mean age of the 88 patients was 49 years (range 28-76 years). Two (2.3%) DCIS identified on surgical pathology specimen were not depicted by MRI and the 5 mm T1N0 invasive cancer (1.1%) was identified on MRI. Preoperative MRI showed 95% accuracy to demonstrate absence of occult disease with negative predicted value (NPV) of 98% (95% CI: 91.64-99.64%). Occult disease was present in 3.4% of CPM. MRI accurately identified the case of invasive cancer in this cohort. The high negative predictive value suggests that MRI can be used to select patients without consideration of SLNB for the contralateral side.
本研究的目的是,在一组接受对侧预防性乳房切除术(CPM)的癌症患者中,使用乳腺磁共振成像(MRI)评估临床及乳腺钼靶隐匿性疾病的存在情况,以及对该侧腋窝评估(前哨淋巴结活检(SLNB))的最大指征。对机构MRI登记数据(2004 - 2010年)中的单侧浸润性乳腺癌或导管原位癌(DCIS)患者进行了回顾性研究。对术前不到6个月进行乳腺MRI检查并接受CPM的患者特征进行了评估。共有2322例连续诊断为DCIS或I至III期浸润性乳腺癌的患者接受了术前乳腺MRI检查。其中,1376例患者(59.2%)对侧临床乳腺检查和乳腺钼靶检查无异常;116例患者(4.9%)接受了CPM(28例排除患者在CPM前6个月以上进行了乳腺MRI检查)。88例患者的平均年龄为49岁(范围28 - 76岁)。手术病理标本中发现的2例(2.3%)DCIS未在MRI上显示,而MRI发现了1例5mm的T1N0浸润性癌(1.1%)。术前MRI显示,在显示隐匿性疾病不存在方面的准确率为95%,阴性预测值(NPV)为98%(95%CI:91.64 - 99.64%)。CPM患者中隐匿性疾病的发生率为3.4%。MRI准确识别了该队列中的浸润性癌病例。高阴性预测值表明,MRI可用于选择对侧无需考虑SLNB的患者。