Suppr超能文献

通过动态对比增强磁共振成像诊断的一名患有克-特综合征孕妇的子宫弥漫性静脉畸形

Diffuse Venous Malformation of the Uterus in a Pregnant Woman with Klippel-Trénaunay Syndrome Diagnosed by DCE-MRI.

作者信息

Yara Nana, Masamoto Hitoshi, Iraha Yuko, Wakayama Akihiko, Chinen Yukiko, Nitta Hayase, Kinjo Tadatsugu, Aoki Yoichi

机构信息

Department of Obstetrics and Gynecology, Graduate School of Medicine, University of the Ryukyus, 207 Uehara, Nishihara, Okinawa 903-0215, Japan.

Department of Radiology, Graduate School of Medicine, University of the Ryukyus, 207 Uehara, Nishihara, Okinawa 903-0215, Japan.

出版信息

Case Rep Obstet Gynecol. 2016;2016:4328450. doi: 10.1155/2016/4328450. Epub 2016 Feb 24.

Abstract

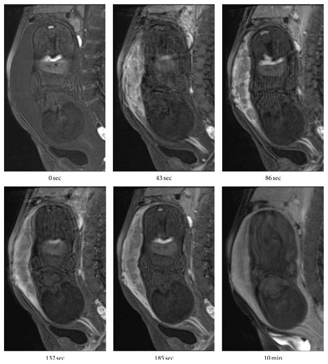
Background. We experienced a rare case of a pregnant woman with Klippel-Trénaunay syndrome complicated with diffuse venous malformation of the uterus. This is the first report on the usefulness of dynamic contrast-enhanced-MRI for the diagnosis of diffuse venous malformation of the uterus. Case Presentation. A 23-year-old woman presented with convulsions and talipes equinus position of both lower limbs at 11 weeks of gestation. At 27 weeks, ultrasonography demonstrated tubular echolucent spaces throughout the myometrium. Dynamic MRI at 37 weeks revealed that the myometrial lesion was enhanced slowly and showed homogeneous enhancement even on a 10 min delayed image. Taken together with unilateral foot hypertrophy, varices, and port-wine stain, the patient was diagnosed as having Klippel-Trénaunay syndrome complicated with diffuse venous malformation of the pregnant uterus. The patient underwent elective cesarean section because of severe dystonia. The lower uterine segment was thickened and heavy venous blood flow was observed at the incision. Histological diagnosis of the myometrial biopsy specimen was venous malformation. Conclusions. Both diffuse venous malformation and Klippel-Trénaunay syndrome during pregnancy can involve considerable complications, in particular, massive bleeding during labor. Women who suffer from this syndrome should be advised about the risk of complications of pregnancy.

摘要

背景。我们遇到了一例罕见的患有克-特综合征并伴有子宫弥漫性静脉畸形的孕妇。这是关于动态对比增强磁共振成像(dynamic contrast-enhanced-MRI)对子宫弥漫性静脉畸形诊断价值的首例报告。病例报告。一名23岁女性在妊娠11周时出现惊厥及双下肢马蹄内翻足姿势。27周时,超声检查显示子宫肌层内有管状无回声区。37周时的动态磁共振成像显示子宫肌层病变强化缓慢,即使在延迟10分钟的图像上也呈均匀强化。结合单侧足部肥大、静脉曲张和葡萄酒色斑,该患者被诊断为患有克-特综合征并伴有妊娠子宫弥漫性静脉畸形。由于严重肌张力障碍,患者接受了择期剖宫产。子宫下段增厚,在切口处观察到大量静脉血流。子宫肌层活检标本的组织学诊断为静脉畸形。结论。妊娠期间的弥漫性静脉畸形和克-特综合征都可能涉及相当多的并发症,尤其是分娩时的大量出血。应告知患有该综合征的女性妊娠并发症的风险。

https://cdn.ncbi.nlm.nih.gov/pmc/blobs/5bb5/4783561/a779c7b2d8b3/CRIOG2016-4328450.001.jpg

文献AI研究员

20分钟写一篇综述,助力文献阅读效率提升50倍。

立即体验

用中文搜PubMed

大模型驱动的PubMed中文搜索引擎

马上搜索

文档翻译

学术文献翻译模型,支持多种主流文档格式。

立即体验