Suppr超能文献

胸腺癌的骨寡转移:一例提示姑息性放疗有效性的病例报告。

Osseous oligometastases from thymic carcinoma: a case report suggesting the effectiveness of palliative-intent radiotherapy treatment.

作者信息

Kashima Jumpei, Horio Hirotoshi, Okuma Yusuke, Hosomi Yukio, Hishima Tsunekazu

机构信息

Department of Thoracic Oncology and Respiratory Medicine, Tokyo Metropolitan Cancer and Infectious Diseases Center Komagome Hospital, Tokyo, Japan.

Department of Thoracic Oncology and Respiratory Medicine, Tokyo Metropolitan Cancer and Infectious Diseases Center Komagome Hospital, Tokyo, Japan; Division of Oncology, Research Center for Medical Sciences, Jikei University School of Medicine, Tokyo, Japan.

出版信息

Onco Targets Ther. 2016 Feb 29;9:1029-32. doi: 10.2147/OTT.S98914. eCollection 2016.

Abstract

BACKGROUND

Oligometastasis, a recently proposed concept, is defined as an intermediate state of cancer, between localized and systemic disease, that may be well controlled by local ablative treatment. Thymic carcinoma is a rare cancer with a poor prognosis. A definitive management approach has yet to be confirmed by a high level of evidence.

CASE PRESENTATION

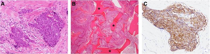
We present the case of a 41-year-old female who underwent curative-intent surgery for a stage III squamous cell carcinoma of the thymus. Bone metastases were detected 1 year later by magnetic resonance imaging. These were treated with palliative-intent radiotherapy. Disease progression has not been observed in more than 15 years since the achievement of complete radiological remission.

CONCLUSION

The treatment outcomes in this and other reported cases suggest that some patients with oligometastatic thymic carcinoma may achieve prolonged survival or even cure with low-dose radiotherapy delivered to the metastases.

摘要

背景

寡转移是最近提出的一个概念,被定义为癌症的一种中间状态,介于局限性疾病和全身性疾病之间,可能通过局部消融治疗得到良好控制。胸腺癌是一种罕见的癌症,预后较差。一种明确的治疗方法尚未得到高水平证据的证实。

病例报告

我们报告一例41岁女性,她接受了针对III期胸腺鳞状细胞癌的根治性手术。1年后通过磁共振成像检测到骨转移。这些转移灶接受了姑息性放疗。自实现完全影像学缓解以来,超过15年未观察到疾病进展。

结论

该病例及其他报告病例的治疗结果表明,一些寡转移性胸腺癌患者通过对转移灶进行低剂量放疗可能实现长期生存甚至治愈。

https://cdn.ncbi.nlm.nih.gov/pmc/blobs/34ef/4778786/fcc07b281f11/ott-9-1029Fig1.jpg

文献AI研究员

20分钟写一篇综述,助力文献阅读效率提升50倍。

立即体验

用中文搜PubMed

大模型驱动的PubMed中文搜索引擎

马上搜索

文档翻译

学术文献翻译模型,支持多种主流文档格式。

立即体验