Suppr超能文献

钕铁硼(Ne2Fe14B)稀土磁体治疗中线牙间隙的临床评估

Clinical evaluation of neodymium-iron-boron (Ne2Fe14B) rare earth magnets in the treatment of mid line diastemas.

作者信息

Prasad Mandava, Manoj-Kumar Mitta, Gowri-Sankar Singaraju, Chaitanya Nellore, Vivek-Reddy Ganugapanta, Venkatesh Nettam

机构信息

Professor and Head, Orthodontics, Narayana Dental College and Hospital, Nellore, AP, India.

Postgraduate student, Orthodontics, Narayana Dental College and Hospital, Nellore, AP, India.

出版信息

J Clin Exp Dent. 2016 Apr 1;8(2):e164-71. doi: 10.4317/jced.52352. eCollection 2016 Apr.

Abstract

BACKGROUND

To evaluate the closure of midline diastema using the Neodymium-Iron-Boron magnets and to compare the treatment duration of midline diastemas with the use of magnets compared to regular orthodontic treatment.

MATERIAL AND METHODS

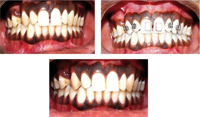
Thirty patients with age group 12 to 30 years with the midline diastema ranging from 0.5 to 3mm were selected. These patients were divided into two groups. Diastema closure in one group was accomplished by conventional method, in other group was done with Ne2Fe14B magnets. These magnets were fitted to the labial surfaces of the maxillary central incisors such a way that the opposite poles of the magnets face each other. At each appointment, study models and radiographs were taken for study subjects and the midline diastema was measured using digital vernier calipers on the study models obtained. Descriptive statistics carried out using Paired t-test.

RESULTS

Subjects treated with Ne2Fe14B magnets showed a significant difference compared to fixed orthodontic appliance subjects with respect to time of closure, rate of space closure and incisal inclination. Significant difference between 2 groups with reduction of 64.6 days in time to diastema closure in subjects treated with Ne2Fe14B magnets (P<0.05).

CONCLUSIONS

Ne2Fe14B magnets more efficient in complete closure of mid line diastema in less duration of time.

KEY WORDS

Midline diastema, Ne2Fe14B magnets, rare earth magnets, space closure.

摘要

背景

评估使用钕铁硼磁体关闭中线间隙,并比较使用磁体与常规正畸治疗关闭中线间隙的治疗时间。

材料与方法

选取30例年龄在12至30岁之间、中线间隙为0.5至3毫米的患者。这些患者被分为两组。一组通过传统方法关闭间隙,另一组使用钕铁硼磁体。这些磁体以磁体的相对磁极彼此面对的方式安装在上颌中切牙的唇面。每次就诊时,为研究对象拍摄研究模型和X光片,并使用数字游标卡尺在获得的研究模型上测量中线间隙。使用配对t检验进行描述性统计。

结果

与固定正畸矫治器治疗的受试者相比,使用钕铁硼磁体治疗的受试者在关闭时间、间隙关闭速率和切牙倾斜度方面存在显著差异。使用钕铁硼磁体治疗的受试者在中线间隙关闭时间上缩短了64.6天,两组之间存在显著差异(P<0.05)。

结论

钕铁硼磁体在更短时间内更有效地完全关闭中线间隙。

关键词

中线间隙;钕铁硼磁体;稀土磁体;间隙关闭

https://cdn.ncbi.nlm.nih.gov/pmc/blobs/ead1/4808312/803c79608370/jced-8-e164-g001.jpg

文献AI研究员

20分钟写一篇综述,助力文献阅读效率提升50倍。

立即体验

用中文搜PubMed

大模型驱动的PubMed中文搜索引擎

马上搜索

文档翻译

学术文献翻译模型,支持多种主流文档格式。

立即体验