Suppr超能文献

Toll样受体4类似物RP105的缺陷通过诱导促炎反应加重静脉移植物疾病。

Deficiency of the TLR4 analogue RP105 aggravates vein graft disease by inducing a pro-inflammatory response.

作者信息

Wezel Anouk, de Vries Margreet R, Maassen Johanna M, Kip Peter, Peters Erna A, Karper Jacco C, Kuiper Johan, Bot Ilze, Quax Paul H A

机构信息

Division of Biopharmaceutics, LACDR, Leiden University, Leiden, The Netherlands.

Department of Surgery, Leiden University Medical Center, Leiden, The Netherlands.

出版信息

Sci Rep. 2016 Apr 7;6:24248. doi: 10.1038/srep24248.

Abstract

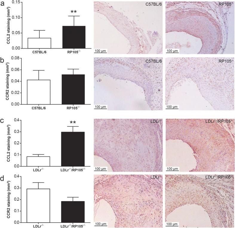
Venous grafts are often used to bypass occlusive atherosclerotic lesions; however, poor patency leads to vein graft disease. Deficiency of TLR4, an inflammatory regulator, reduces vein graft disease. Here, we investigate the effects of the accessory molecule and TLR4 analogue RadioProtective 105 (RP105) on vein graft disease. RP105 deficiency resulted in a 90% increase in vein graft lesion area compared to controls. In a hypercholesterolemic setting (LDLr(-/-)/RP105(-/-) versus LDLr(-/-) mice), which is of importance as vein graft disease is usually characterized by excessive atherosclerosis, total lesion area was not affected. However we did observe an increased number of unstable lesions and intraplaque hemorrhage upon RP105 deficiency. In both setups, lesional macrophage content, and lesional CCL2 was increased. In vitro, RP105(-/-) smooth muscle cells and mast cells secreted higher levels of CCL2. In conclusion, aggravated vein graft disease caused by RP105 deficiency results from an increased local inflammatory response.

摘要

静脉移植物常被用于绕过闭塞性动脉粥样硬化病变;然而,通畅性不佳会导致静脉移植物疾病。炎症调节因子Toll样受体4(TLR4)的缺乏可减轻静脉移植物疾病。在此,我们研究辅助分子及TLR4类似物放射防护105(RP105)对静脉移植物疾病的影响。与对照组相比,RP105缺乏导致静脉移植物病变面积增加90%。在高胆固醇血症背景下(低密度脂蛋白受体基因敲除/ RP105基因敲除小鼠与低密度脂蛋白受体基因敲除小鼠相比),由于静脉移植物疾病通常以动脉粥样硬化过度为特征,总病变面积未受影响。然而,我们确实观察到RP105缺乏时不稳定病变数量和斑块内出血增加。在两种情况下,病变部位的巨噬细胞含量和CCL2均增加。在体外,RP105基因敲除的平滑肌细胞和肥大细胞分泌更高水平的CCL2。总之,RP105缺乏导致的静脉移植物疾病加重是由局部炎症反应增加所致。

https://cdn.ncbi.nlm.nih.gov/pmc/blobs/8194/4823661/e6664e474186/srep24248-f1.jpg

文献AI研究员

20分钟写一篇综述,助力文献阅读效率提升50倍。

立即体验

用中文搜PubMed

大模型驱动的PubMed中文搜索引擎

马上搜索

文档翻译

学术文献翻译模型,支持多种主流文档格式。

立即体验