He Dan, Xiang Jinnan, Li Baojie, Liu Huijuan
Bio-X Institutes, Key Laboratory for the Genetics of Developmental and Neuropsychiatric Disorders, Ministry of Education, Shanghai Jiao Tong University, Shanghai 200240, China.
Sci Rep. 2016 Apr 14;6:24504. doi: 10.1038/srep24504.
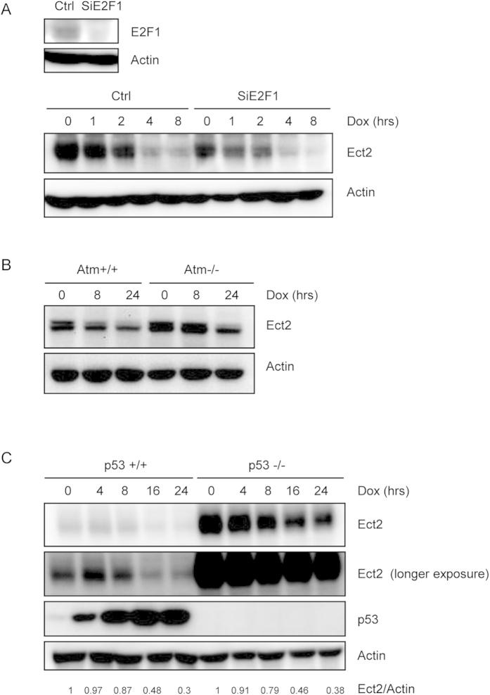
Ect2 is a BRCT-containing guanidine exchange factor for Rho GTPases. It is essential for cytokinesis and is also involved in tumorigenesis. Since most BRCT-containing proteins are involved in DNA damage response and/or DNA repair, we tested whether Ect2 plays similar roles. We report that in primary mouse embryonic fibroblasts (MEFs), DNA damage quickly led to Ect2 relocalization to the chromatin and DNA damage foci-like structures. Ect2 knockdown did not affect foci localization of γH2AX, TopBP1, or Brca1, or activation of Atm, yet it impeded p53 Ser15 phosphorylation and activation, and resulted in defects in apoptosis and activation of S and G2/M checkpoints in response to DNA damage. These results suggest that Ect2 plays a role in DNA damage response. Interestingly, Ect2 is down-regulated at late stages of DNA damage response. Although p53 and E2F1 have been shown to regulate Ect2 transcription, DNA damage-induced Ect2 down-regulation occurred in p53-/- or Atm-/- MEFs and E2F1 knockdown cells. Instead, DNA damage-induced Ect2 down-regulation is mainly attributable to decreased protein stability. Like Ect2 knockdown, Ect2 destabilization may help the cell to recover from DNA damage response. These results suggest that Ect2 plays roles in multiple aspects of DNA damage response.
Ect2是一种含BRCT结构域的Rho GTPases鸟嘌呤核苷酸交换因子。它对胞质分裂至关重要,也参与肿瘤发生。由于大多数含BRCT结构域的蛋白质都参与DNA损伤反应和/或DNA修复,我们测试了Ect2是否发挥类似作用。我们报道,在原代小鼠胚胎成纤维细胞(MEF)中,DNA损伤迅速导致Ect2重新定位到染色质和类似DNA损伤灶的结构上。敲低Ect2并不影响γH2AX、TopBP1或Brca1在损伤灶的定位,也不影响Atm的激活,但它阻碍了p53丝氨酸15位点的磷酸化和激活,并导致DNA损伤反应中凋亡缺陷以及S期和G2/M期检查点的激活。这些结果表明Ect2在DNA损伤反应中发挥作用。有趣的是,Ect2在DNA损伤反应后期表达下调。虽然p53和E2F1已被证明可调节Ect2转录,但DNA损伤诱导的Ect2下调在p53基因敲除或Atm基因敲除的MEF以及E2F1敲低细胞中仍会发生。相反,DNA损伤诱导的Ect2下调主要归因于蛋白质稳定性降低。与敲低Ect2类似,Ect2稳定性降低可能有助于细胞从DNA损伤反应中恢复。这些结果表明Ect2在DNA损伤反应的多个方面发挥作用。