Suppr超能文献

颅芽生菌病的多模态成像:一种极具迷惑性的病症——基于病例的说明及临床与影像表现回顾

Multimodality imaging in cranial blastomycosis, a great mimicker: Case-based illustration with review of clinical and imaging findings.

作者信息

Kochar Puneet S, Lath Chinar O, Klein Andrew P, Ulmer John L

机构信息

Department of Radiology, Division of Neuroradiology, Medical College of Wisconsin, Milwaukee, Wisconsin, USA.

出版信息

Indian J Radiol Imaging. 2016 Jan-Mar;26(1):120-5. doi: 10.4103/0971-3026.178360.

Abstract

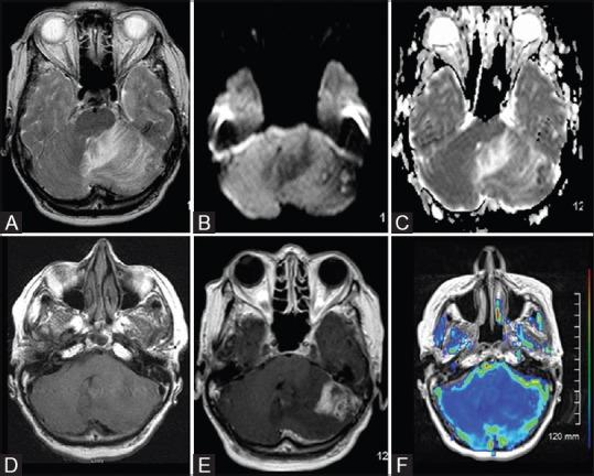
We describe the clinical, laboratory, and imaging data of three patients who are proven cases of blastomycosis with cranial involvement. In this review, we discuss the imaging features of cranial blastomycosis with relevant clinical case examples including computed tomography (CT), magnetic resonance imaging (MRI), and advanced MR imaging techniques like magnetic resonance spectroscopy (MRS) and MR perfusion. Literature is reviewed for modern-day diagnosis and treatment of this fatal intracranial infection, if not diagnosed promptly and managed effectively.

摘要

我们描述了三例经证实患有累及颅骨的芽生菌病患者的临床、实验室和影像学数据。在本综述中,我们通过相关临床病例实例讨论颅骨芽生菌病的影像学特征,包括计算机断层扫描(CT)、磁共振成像(MRI)以及磁共振波谱(MRS)和磁共振灌注等先进的磁共振成像技术。如果这种致命的颅内感染不能及时诊断和有效治疗,我们将回顾关于其现代诊断和治疗的文献。

https://cdn.ncbi.nlm.nih.gov/pmc/blobs/a318/4813061/77001699b257/IJRI-26-120-g001.jpg

文献AI研究员

20分钟写一篇综述,助力文献阅读效率提升50倍。

立即体验

用中文搜PubMed

大模型驱动的PubMed中文搜索引擎

马上搜索

文档翻译

学术文献翻译模型,支持多种主流文档格式。

立即体验