Suppr超能文献

细胞外钙诱导猪骨髓间充质干细胞增殖增强与钙敏感受体及ERK信号通路激活有关。

Enhanced Proliferation of Porcine Bone Marrow Mesenchymal Stem Cells Induced by Extracellular Calcium is Associated with the Activation of the Calcium-Sensing Receptor and ERK Signaling Pathway.

作者信息

Ye Jingjing, Ai Wei, Zhang Fenglin, Zhu Xiaotong, Shu Gang, Wang Lina, Gao Ping, Xi Qianyun, Zhang YongLiang, Jiang Qingyan, Wang Songbo

机构信息

College of Animal Science and National Engineering Research Center for Breeding Swine Industry, South China Agricultural University, Guangzhou 510642, China; Guangdong Provincial Key Lab of Agro-Animal Genomics and Molecular Breeding and ALLTECH-SCAU Animal Nutrition Control Research Alliance, South China Agricultural University, Guangzhou 510642, China.

出版信息

Stem Cells Int. 2016;2016:6570671. doi: 10.1155/2016/6570671. Epub 2016 Mar 30.

Abstract

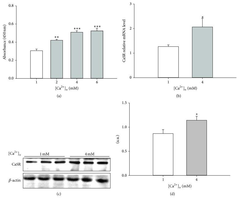
Porcine bone marrow mesenchymal stem cells (pBMSCs) have the potential for application in regenerative medicine. This study aims to investigate the effects of extracellular calcium ([Ca(2+)]o) on pBMSCs proliferation and to explore the possible underlying mechanisms. The results demonstrated that 4 mM [Ca(2+)]o significantly promoted pBMSCs proliferation by reducing the G0/G1 phase cell percentage and by increasing the S phase cell proportion and the proliferation index of pBMSCs. Accordingly, [Ca(2+)]o stimulated the expression levels of proliferative genes such as cyclin A2, cyclin D1/3, cyclin E2, and PCNA and inhibited the expression of p21. In addition, [Ca(2+)]o resulted in a significant elevation of intracellular calcium and an increased ratio of p-ERK/ERK. However, inhibition of calcium-sensing receptor (CaSR) by its antagonist NPS2143 abolished the aforementioned effects of [Ca(2+)]o. Moreover, [Ca(2+)]o-induced promotion of pBMSCs proliferation, the changes of proliferative genes expression levels, and the activation of ERK1/2 signaling pathway were effectively blocked by U0126, a selective ERK kinase inhibitor. In conclusion, our findings provided evidence that the enhanced pBMSCs proliferation in response to [Ca(2+)]o was associated with the activation of CaSR and ERK1/2 signaling pathway, which may be useful for the application of pBMSCs in future clinical studies aimed at tissue regeneration and repair.

摘要

猪骨髓间充质干细胞(pBMSCs)在再生医学领域具有应用潜力。本研究旨在探讨细胞外钙([Ca(2+)]o)对pBMSCs增殖的影响,并探索其可能的潜在机制。结果表明,4 mM [Ca(2+)]o通过降低G0/G1期细胞百分比、增加S期细胞比例和pBMSCs的增殖指数,显著促进了pBMSCs的增殖。相应地,[Ca(2+)]o刺激了增殖基因如细胞周期蛋白A2、细胞周期蛋白D1/3、细胞周期蛋白E2和增殖细胞核抗原(PCNA)的表达水平,并抑制了p21的表达。此外,[Ca(2+)]o导致细胞内钙显著升高,p-ERK/ERK比值增加。然而,其拮抗剂NPS2143对钙敏感受体(CaSR)的抑制作用消除了[Ca(2+)]o的上述作用。此外,[Ca(2+)]o诱导的pBMSCs增殖促进、增殖基因表达水平的变化以及ERK1/2信号通路的激活被选择性ERK激酶抑制剂U0126有效阻断。总之,我们的研究结果表明,[Ca(2+)]o增强pBMSCs增殖与CaSR和ERK1/2信号通路的激活有关,这可能有助于pBMSCs在未来旨在组织再生和修复的临床研究中的应用。

https://cdn.ncbi.nlm.nih.gov/pmc/blobs/200e/4829725/c1c8f83b3e81/SCI2016-6570671.001.jpg

文献AI研究员

20分钟写一篇综述,助力文献阅读效率提升50倍。

立即体验

用中文搜PubMed

大模型驱动的PubMed中文搜索引擎

马上搜索

文档翻译

学术文献翻译模型,支持多种主流文档格式。

立即体验