Suppr超能文献

一种针对非龋性病变管理的跨学科方法。

An interdisciplinary approach for the management of noncarious lesions.

作者信息

Purushotham Sahana, Manjunath Nandini, D'Souza Melba Lisa, Shetty Roshan

机构信息

Department of Periodontics, A. J. Institute of Dental Sciences, Mangalore, Karnataka, India.

Department of Public Health Dentistry, A. J. Institute of Dental Sciences, Mangalore, Karnataka, India.

出版信息

J Indian Soc Periodontol. 2016 Mar-Apr;20(2):211-5. doi: 10.4103/0972-124X.170837.

Abstract

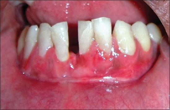
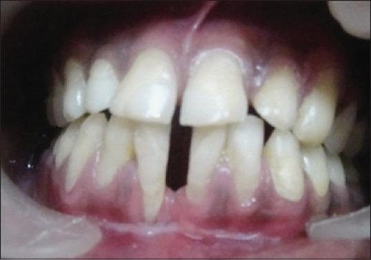
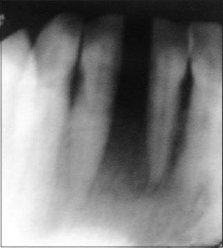
Miller's class III gingival recession is a common entity observed in individuals, posing a difficult situation for the clinicians to treat. Large fenestration defects with cervical abrasion compromise the esthetics resulting in poor prognosis. Obtaining predictable and esthetic root coverage has become an integral part of periodontal therapy. The present case report describes a situation where class III gingival recession with cervical abrasion was seen in the lower central incisors. The patient was successfully treated with a combination of restorations (Filtek Z350(®) composite resin) to fill the defect, followed by fenestration procedure to increase the vestibular depth and subsequently with grafting procedure (soft tissue autograft with bovine-derived xenograft collagen [Bio-oss]). Though the results were not tangible esthetically, it was functionally successful as evidenced during the follow-up period.

摘要

米勒Ⅲ类牙龈退缩在个体中很常见,给临床医生的治疗带来难题。伴有颈部磨损的大穿孔缺损会影响美观,导致预后不良。获得可预测且美观的牙根覆盖已成为牙周治疗不可或缺的一部分。本病例报告描述了在下颌中切牙出现Ⅲ类牙龈退缩伴颈部磨损的情况。患者通过联合修复(Filtek Z350®复合树脂)填充缺损、开窗手术增加前庭深度,随后进行植骨手术(自体软组织移植联合牛源异种移植胶原蛋白[Bio-oss])成功得到治疗。尽管在美观方面效果不明显,但在随访期间证明功能上是成功的。

https://cdn.ncbi.nlm.nih.gov/pmc/blobs/a792/4847472/cb20c173be47/JISP-20-211-g005.jpg

文献AI研究员

20分钟写一篇综述,助力文献阅读效率提升50倍。

立即体验

用中文搜PubMed

大模型驱动的PubMed中文搜索引擎

马上搜索

文档翻译

学术文献翻译模型,支持多种主流文档格式。

立即体验