Suppr超能文献

颅内血栓中高表达的CD3+细胞是动脉粥样硬化血栓形成性卒中的生物标志物。

High CD3+ Cells in Intracranial Thrombi Represent a Biomarker of Atherothrombotic Stroke.

作者信息

Dargazanli Cyril, Rigau Valérie, Eker Omer, Riquelme Bareiro Carlos, Machi Paolo, Gascou Grégory, Arquizan Caroline, Ayrignac Xavier, Mourand Isabelle, Corlobé Astrid, Lobotesis Kyriakos, Molinari Nicolas, Costes Valérie, Bonafé Alain, Costalat Vincent

机构信息

Department of Neuroradiology, Montpellier University Hospital Center, Gui de Chauliac Hospital, Montpellier, France.

Department of Pathology, Montpellier University Hospital Center, Gui de Chauliac Hospital, Montpellier, France.

出版信息

PLoS One. 2016 May 6;11(5):e0154945. doi: 10.1371/journal.pone.0154945. eCollection 2016.

Abstract

BACKGROUND AND PURPOSE

Approximately 30% of strokes are cryptogenic despite an exhaustive in-hospital work-up. Analysis of clot composition following endovascular treatment could provide insight into stroke etiology. T-cells already have been shown to be a major component of vulnerable atherosclerotic carotid lesions. We therefore hypothesize that T-cell content in intracranial thrombi may also be a biomarker of atherothrombotic origin.

MATERIALS AND METHODS

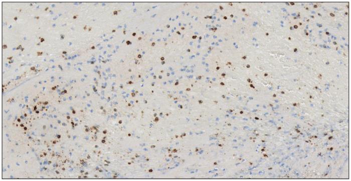
We histopathologically investigated 54 consecutive thrombi retrieved after mechanical thrombectomy in acute stroke patients. First, thrombi were classified as fibrin-dominant, erythrocyte-dominant or mixed pattern. We then performed quantitative analysis of CD3+ cells on immunohistochemically-stained thrombi and compared T-cell content between "atherothrombotic", "cardioembolism" and "other causes" stroke subtypes.

RESULTS

Fourteen (26%) thrombi were defined as fibrin-dominant, 15 (28%) as erythrocyte-dominant, 25 (46%) as mixed. The stroke cause was defined as "atherothrombotic" in 10 (18.5%), "cardioembolism" in 25 (46.3%), and "other causes" in 19 (35.2%). Number of T-cells was significantly higher in thrombi from the "atherothrombotic" group (53.60 ± 28.78) than in the other causes (21.77 ± 18.31; p<0.0005) or the "cardioembolism" group (20.08 ± 15.66; p<0.0003).

CONCLUSIONS

The CD3+ T-cell count in intracranial thrombi was significantly higher in "atherothrombotic" origin strokes compared to all other causes. Thrombi with high content of CD3+ cells are more likely to originate from an atherosclerotic plaque.

摘要

背景与目的

尽管在住院期间进行了详尽的检查,但仍有大约30%的中风病因不明。血管内治疗后对血栓成分进行分析可能有助于深入了解中风的病因。T细胞已被证明是易损性动脉粥样硬化颈动脉病变的主要成分。因此,我们推测颅内血栓中的T细胞含量也可能是动脉粥样硬化血栓形成起源的生物标志物。

材料与方法

我们对急性中风患者机械取栓术后连续获取的54个血栓进行了组织病理学研究。首先,将血栓分为以纤维蛋白为主、以红细胞为主或混合模式。然后,我们对免疫组化染色的血栓上的CD3+细胞进行定量分析,并比较“动脉粥样硬化血栓形成”、“心源性栓塞”和“其他原因”中风亚型之间的T细胞含量。

结果

14个(26%)血栓被定义为以纤维蛋白为主,15个(28%)为以红细胞为主,25个(46%)为混合模式。中风病因被定义为“动脉粥样硬化血栓形成”的有10个(18.5%),“心源性栓塞”的有25个(46.3%),“其他原因”的有19个(35.2%)。“动脉粥样硬化血栓形成”组血栓中的T细胞数量(53.60±28.78)显著高于其他原因组(21.77±18.31;p<0.0005)或“心源性栓塞”组(20.08±15.66;p<0.0003)。

结论

与所有其他原因相比,“动脉粥样硬化血栓形成”起源的中风中颅内血栓的CD3+T细胞计数显著更高。CD3+细胞含量高的血栓更可能起源于动脉粥样硬化斑块。

https://cdn.ncbi.nlm.nih.gov/pmc/blobs/1fd1/4859469/720464c15c2b/pone.0154945.g001.jpg

文献AI研究员

20分钟写一篇综述,助力文献阅读效率提升50倍。

立即体验

用中文搜PubMed

大模型驱动的PubMed中文搜索引擎

马上搜索

文档翻译

学术文献翻译模型,支持多种主流文档格式。

立即体验