Suppr超能文献

用于福尔马林固定石蜡包埋细胞和组织的全自动RNAscope原位杂交检测

Fully Automated RNAscope In Situ Hybridization Assays for Formalin-Fixed Paraffin-Embedded Cells and Tissues.

作者信息

Anderson Courtney M, Zhang Bingqing, Miller Melanie, Butko Emerald, Wu Xingyong, Laver Thomas, Kernag Casey, Kim Jeffrey, Luo Yuling, Lamparski Henry, Park Emily, Su Nan, Ma Xiao-Jun

机构信息

Advanced Cell Diagnostics, 7707 Gateway Blvd, Newark, California, 94560.

出版信息

J Cell Biochem. 2016 Oct;117(10):2201-8. doi: 10.1002/jcb.25606. Epub 2016 Jun 6.

Abstract

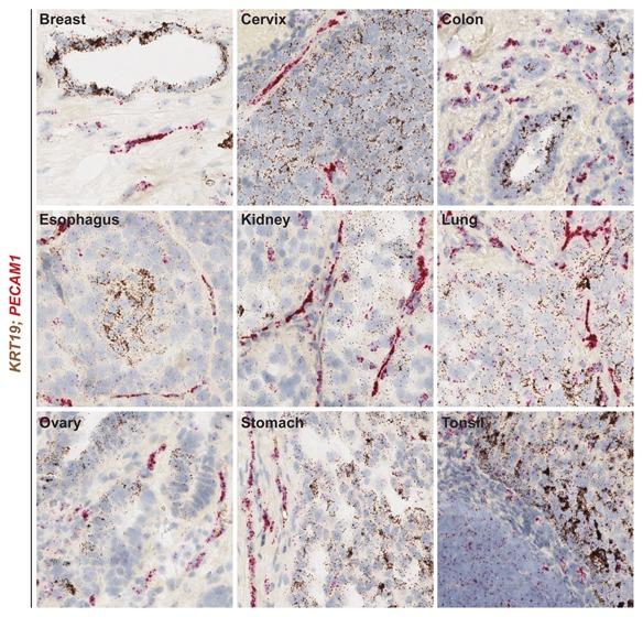
Biomarkers such as DNA, RNA, and protein are powerful tools in clinical diagnostics and therapeutic development for many diseases. Identifying RNA expression at the single cell level within the morphological context by RNA in situ hybridization provides a great deal of information on gene expression changes over conventional techniques that analyze bulk tissue, yet widespread use of this technique in the clinical setting has been hampered by the dearth of automated RNA ISH assays. Here we present an automated version of the RNA ISH technology RNAscope that is adaptable to multiple automation platforms. The automated RNAscope assay yields a high signal-to-noise ratio with little to no background staining and results comparable to the manual assay. In addition, the automated duplex RNAscope assay was able to detect two biomarkers simultaneously. Lastly, assay consistency and reproducibility were confirmed by quantification of TATA-box binding protein (TBP) mRNA signals across multiple lots and multiple experiments. Taken together, the data presented in this study demonstrate that the automated RNAscope technology is a high performance RNA ISH assay with broad applicability in biomarker research and diagnostic assay development. J. Cell. Biochem. 117: 2201-2208, 2016. © 2016 Wiley Periodicals, Inc.

摘要

诸如DNA、RNA和蛋白质等生物标志物是许多疾病临床诊断和治疗开发中的有力工具。通过RNA原位杂交在形态学背景下识别单细胞水平的RNA表达,相较于分析大块组织的传统技术,能提供大量关于基因表达变化的信息。然而,由于缺乏自动化RNA原位杂交检测方法,该技术在临床环境中的广泛应用受到了阻碍。在此,我们展示了一种适用于多种自动化平台的RNA原位杂交技术RNAscope的自动化版本。自动化RNAscope检测具有高信噪比,几乎没有背景染色,结果与手动检测相当。此外,自动化双链RNAscope检测能够同时检测两种生物标志物。最后,通过对多个批次和多个实验中的TATA盒结合蛋白(TBP)mRNA信号进行定量,证实了检测的一致性和可重复性。综上所述,本研究中的数据表明,自动化RNAscope技术是一种高性能的RNA原位杂交检测方法,在生物标志物研究和诊断检测开发中具有广泛的适用性。《细胞生物化学杂志》117: 2201 - 2208, 2016。© 2016威利期刊公司。

https://cdn.ncbi.nlm.nih.gov/pmc/blobs/0c24/5132049/0fab7d6907bc/JCB-117-2201-g002.jpg

文献AI研究员

20分钟写一篇综述,助力文献阅读效率提升50倍。

立即体验

用中文搜PubMed

大模型驱动的PubMed中文搜索引擎

马上搜索

文档翻译

学术文献翻译模型,支持多种主流文档格式。

立即体验