Suppr超能文献

斯特奇-韦伯综合征:一例具有多系统表现的罕见病例。

Sturge Weber Syndrome: An Unusual Case with Multisystem Manifestations.

作者信息

Nidhi C, Anuj C

机构信息

Department of Pedodontics & Preventive Dentistry, Maulana Azad Institute of Dental Sciences, Delhi, India.

Department of Dental Surgery, Safdarjang Hospital, Delhi, India.

出版信息

Ethiop J Health Sci. 2016 Mar;26(2):187-92. doi: 10.4314/ejhs.v26i2.13.

Abstract

BACKGROUND

Sturge-Weber syndrome (SWS) is a rare congenital neurocutaneous disorder. It is characterized by the presence of facial port wine stains, neurological abnormalities like seizures and mental retardation, ocular disorders, oral involvement and leptomeningeal angiomas.

CASE REPORT

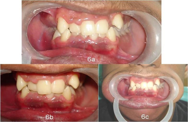
A 13-year-old boy presented with the chief complaint of swollen, bleeding gums and deposits on the teeth. Detailed medical and dental history, clinical examination and investigations confirmed the diagnosis of Sturge-Weber syndrome. The treatment comprised of a thorough plaque control regimen to reduce the gingival enlargement, and it included oral hygiene instructions, thorough scaling, root planing at regular intervals and plaque index scoring which motivated the patient at each visit.

CONCLUSION

This case illustrates that early intervention in a patient with Sturge-Weber syndrome is quintessential because of its associated gingival vascular features and their complicating manifestations. Furthermore, the need for periodic oral examinations and maintenance of good oral hygiene to prevent any complications from the oral vascular lesions has been highlighted.

摘要

背景

斯特奇-韦伯综合征(SWS)是一种罕见的先天性神经皮肤疾病。其特征为面部葡萄酒色斑、癫痫和智力迟钝等神经异常、眼部疾病、口腔受累以及软脑膜血管瘤。

病例报告

一名13岁男孩,主诉牙龈肿胀、出血以及牙齿上有沉积物。详细的医学和牙科病史、临床检查及检查结果确诊为斯特奇-韦伯综合征。治疗包括全面的菌斑控制方案以减轻牙龈肿大,其中包括口腔卫生指导、彻底的龈上洁治、定期的根面平整以及菌斑指数评分,这在每次就诊时都激励着患者。

结论

该病例表明,由于斯特奇-韦伯综合征患者存在相关的牙龈血管特征及其复杂表现,早期干预至关重要。此外,强调了定期进行口腔检查以及保持良好口腔卫生以预防口腔血管病变引发任何并发症的必要性。

https://cdn.ncbi.nlm.nih.gov/pmc/blobs/24d7/4864348/687578572a4b/EJHS2602-0187Fig1.jpg

文献AI研究员

20分钟写一篇综述,助力文献阅读效率提升50倍。

立即体验

用中文搜PubMed

大模型驱动的PubMed中文搜索引擎

马上搜索

文档翻译

学术文献翻译模型,支持多种主流文档格式。

立即体验