Suppr超能文献

特发性炎性肌病:临床诊治方法

Idiopathic Inflammatory Myopathies: Clinical Approach and Management.

作者信息

Malik Asma, Hayat Ghazala, Kalia Junaid S, Guzman Miguel A

机构信息

Neurology, Saint Louis University , Saint Louis, MO , USA.

Department of Neurology and Neurotherapeutics, The University of Texas Southwestern , Dallas, TX , USA.

出版信息

Front Neurol. 2016 May 20;7:64. doi: 10.3389/fneur.2016.00064. eCollection 2016.

Abstract

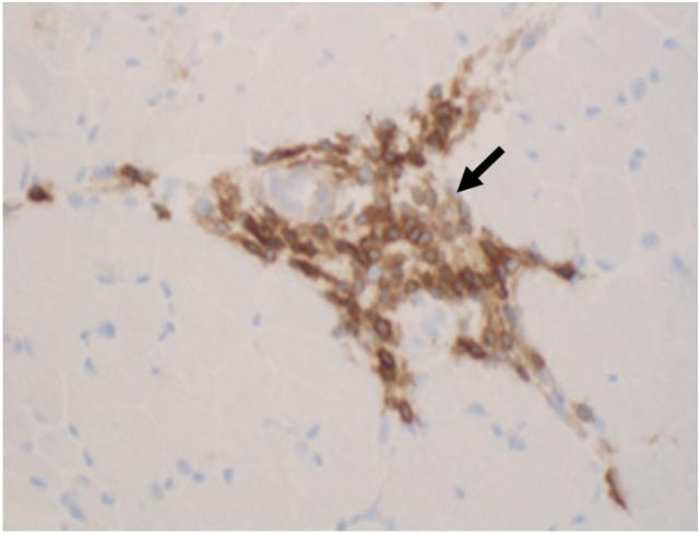
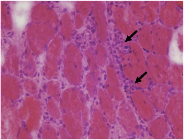
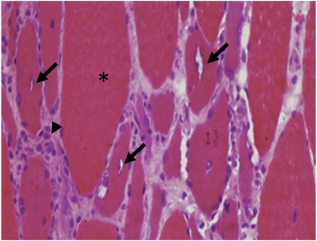
Idiopathic inflammatory myopathies (IIM) are a group of chronic, autoimmune conditions affecting primarily the proximal muscles. The most common types are dermatomyositis (DM), polymyositis (PM), necrotizing autoimmune myopathy (NAM), and sporadic inclusion body myositis (sIBM). Patients typically present with sub-acute to chronic onset of proximal weakness manifested by difficulty with rising from a chair, climbing stairs, lifting objects, and combing hair. They are uniquely identified by their clinical presentation consisting of muscular and extramuscular manifestations. Laboratory investigations, including increased serum creatine kinase (CK) and myositis specific antibodies (MSA) may help in differentiating clinical phenotype and to confirm the diagnosis. However, muscle biopsy remains the gold standard for diagnosis. These disorders are potentially treatable with proper diagnosis and initiation of therapy. Goals of treatment are to eliminate inflammation, restore muscle performance, reduce morbidity, and improve quality of life. This review aims to provide a basic diagnostic approach to patients with suspected IIM, summarize current therapeutic strategies, and provide an insight into future prospective therapies.

摘要

特发性炎性肌病(IIM)是一组主要影响近端肌肉的慢性自身免疫性疾病。最常见的类型是皮肌炎(DM)、多发性肌炎(PM)、坏死性自身免疫性肌病(NAM)和散发性包涵体肌炎(sIBM)。患者通常表现为亚急性至慢性起病的近端肌无力,表现为从椅子上起身、爬楼梯、举重物和梳头困难。它们通过由肌肉和肌肉外表现组成的临床表现来独特识别。实验室检查,包括血清肌酸激酶(CK)升高和肌炎特异性抗体(MSA),可能有助于区分临床表型并确诊。然而,肌肉活检仍然是诊断的金标准。这些疾病通过适当的诊断和开始治疗有可能得到治疗。治疗目标是消除炎症、恢复肌肉功能、降低发病率并改善生活质量。本综述旨在为疑似IIM患者提供基本的诊断方法,总结当前的治疗策略,并深入了解未来的前瞻性治疗方法。

https://cdn.ncbi.nlm.nih.gov/pmc/blobs/778b/4873503/d6f36fcb82dd/fneur-07-00064-g001.jpg

文献AI研究员

20分钟写一篇综述,助力文献阅读效率提升50倍。

立即体验

用中文搜PubMed

大模型驱动的PubMed中文搜索引擎

马上搜索

文档翻译

学术文献翻译模型,支持多种主流文档格式。

立即体验