Suppr超能文献

糖原合酶激酶3α/β中丝氨酸21/9的磷酸化对于正常小鼠肠道中的细胞谱系定向或WNT信号传导并非必需。

Phosphorylations of Serines 21/9 in Glycogen Synthase Kinase 3α/β Are Not Required for Cell Lineage Commitment or WNT Signaling in the Normal Mouse Intestine.

作者信息

Hey Fiona, Giblett Susan, Forrest Stephanie, Herbert Chelsea, Pritchard Catrin

机构信息

Department of Molecular Cell Biology, Henry Wellcome Building, University of Leicester, Leicester, United Kingdom.

Department of Cancer Studies, Robert Kilpatrick Clinical Sciences Building, University of Leicester, Leicester, United Kingdom.

出版信息

PLoS One. 2016 Jun 10;11(6):e0156877. doi: 10.1371/journal.pone.0156877. eCollection 2016.

Abstract

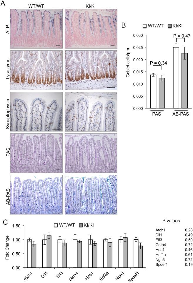
The WNT signalling pathway controls many developmental processes and plays a key role in maintenance of intestine renewal and homeostasis. Glycogen Synthase Kinase 3 (GSK3) is an important component of the WNT pathway and is involved in regulating β-catenin stability and expression of WNT target genes. The mechanisms underpinning GSK3 regulation in this context are not completely understood, with some evidence suggesting this occurs through inhibitory N-terminal serine phosphorylation in a similar way to GSK3 inactivation in insulin signaling. To investigate this in a physiologically relevant context, we have analysed the intestinal phenotype of GSK3 knockin mice in which N-terminal serines 21/9 of GSK3α/β have been mutated to non-phosphorylatable alanine residues. We show that these knockin mutations have very little effect on overall intestinal integrity, cell lineage commitment, β-catenin localization or WNT target gene expression although a small increase in apoptosis at villi tips is observed. Our results provide in vivo evidence that GSK3 is regulated through mechanisms independent of N-terminal serine phosphorylation in order for β-catenin to be stabilised.

摘要

WNT信号通路控制着许多发育过程,在维持肠道更新和体内平衡中发挥关键作用。糖原合酶激酶3(GSK3)是WNT通路的重要组成部分,参与调节β-连环蛋白的稳定性和WNT靶基因的表达。在这种情况下,GSK3调节的潜在机制尚未完全了解,一些证据表明,这是通过抑制性N端丝氨酸磷酸化发生的,其方式类似于胰岛素信号传导中GSK3的失活。为了在生理相关背景下对此进行研究,我们分析了GSK3敲入小鼠的肠道表型,其中GSK3α/β的N端丝氨酸21/9已突变为不可磷酸化的丙氨酸残基。我们发现,这些敲入突变对整体肠道完整性、细胞谱系定向、β-连环蛋白定位或WNT靶基因表达几乎没有影响,尽管在绒毛尖端观察到凋亡略有增加。我们的结果提供了体内证据,表明GSK3是通过独立于N端丝氨酸磷酸化的机制进行调节的,以便β-连环蛋白得以稳定。

https://cdn.ncbi.nlm.nih.gov/pmc/blobs/b093/4902192/2b1b69c656e7/pone.0156877.g001.jpg

文献AI研究员

20分钟写一篇综述,助力文献阅读效率提升50倍。

立即体验

用中文搜PubMed

大模型驱动的PubMed中文搜索引擎

马上搜索

文档翻译

学术文献翻译模型,支持多种主流文档格式。

立即体验