Suppr超能文献

Pigmented purpuric dermatosis or mycosis fungoides: A diagnostic dilemma.

作者信息

Riyaz Najeeba, Sasidharanpillai Sarita, Abdul Latheef Ettappurath N, Davul Hena, Ashraf Febin

机构信息

Department of Dermatology and Venereology, Government Medical College, Kozhikode, Kerala, India.

出版信息

Indian Dermatol Online J. 2016 May-Jun;7(3):183-5. doi: 10.4103/2229-5178.182361.

Abstract

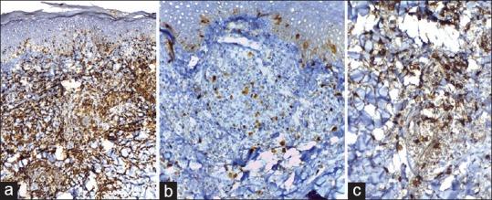
Pigmented purpuric dermatoses (PPD), a group of vascular disorders with variable clinical picture is reported in all races and age groups with a male predilection. There are reports of mycosis fungoides manifesting as pigmented purpura as well as progression of PPD to cutaneous T-cell lymphoma. The diagnostic dilemma is compounded by PPD manifesting histological similarity to mycosis fungoides. Currently, it is believed that PPD with monoclonal T-cell population is more likely to progress to malignancy. We report a 31-year-old male patient who presented with the lichenoid clinical variant of PPD lesions that mimicked mycosis fungoides on histopathology. Gene rearrangement studies identified a polyclonal T-cell population. The patient responded to photochemotherapy, which is beneficial in both PPD and mycosis fungoides. Our case signifies the limitations of current diagnostic modalities in accurately distinguishing PPD from cutaneous lymphoma. Data on disease progression in similar cases may enable us to formulate better diagnostic definitions.

摘要
https://cdn.ncbi.nlm.nih.gov/pmc/blobs/abdf/4886591/1fe4c267c67a/IDOJ-7-183-g001.jpg

文献AI研究员

20分钟写一篇综述,助力文献阅读效率提升50倍。

立即体验

用中文搜PubMed

大模型驱动的PubMed中文搜索引擎

马上搜索

文档翻译

学术文献翻译模型,支持多种主流文档格式。

立即体验