Suresh S S, Zaki Hosam, Ahmed Aamir
Dept of Orthopaedics Ibri Regional Referral Hospital, Sultanate of Oman.
J Orthop Case Rep. 2012 Jan-Mar;2(1):15-7.
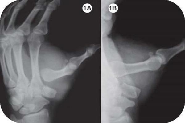
Isolated dislocations of the trapezio metacarpal joint without associated fracture has been reported very rarely in the literature. There are reports of associated injuries like fracture of the trapezium, dislocation of the metacarpophalangeal joint and fractures of the base of the thumb metacarpal.
Authors report a case of isolated carpometacarpal dislocation of the right thumb, in an adult, successfully managed conservatively. At 15 months follow up the patient had full function of the hand without any clinical or radiological evidence of instability or posttraumatic arthritis.
Isolated dislocations can be successfully managed by closed reduction and immobilization in a back slab, with unstable dislocations requiring surgical intervention.
文献中极少报道单纯的大多角骨掌指关节脱位而无合并骨折的情况。有关于合并损伤的报道,如大多角骨骨折、掌指关节脱位以及拇指掌骨基底骨折。
作者报告一例成年患者右手拇指单纯腕掌关节脱位,通过保守治疗成功治愈。随访15个月时,患者手部功能完全恢复,无任何不稳定或创伤后关节炎的临床及影像学证据。
单纯脱位可通过闭合复位并固定于背侧石膏托成功治疗,不稳定脱位则需要手术干预。