Suppr超能文献

Unusual Variant of the Nutcracker Fracture of the Calcaneus and Tarsal Navicular.

作者信息

Gajendran Varun K, Yoo Brad J, Hunter John C

出版信息

Radiol Case Rep. 2015 Nov 6;3(3):208. doi: 10.2484/rcr.v3i3.208. eCollection 2008.

Abstract

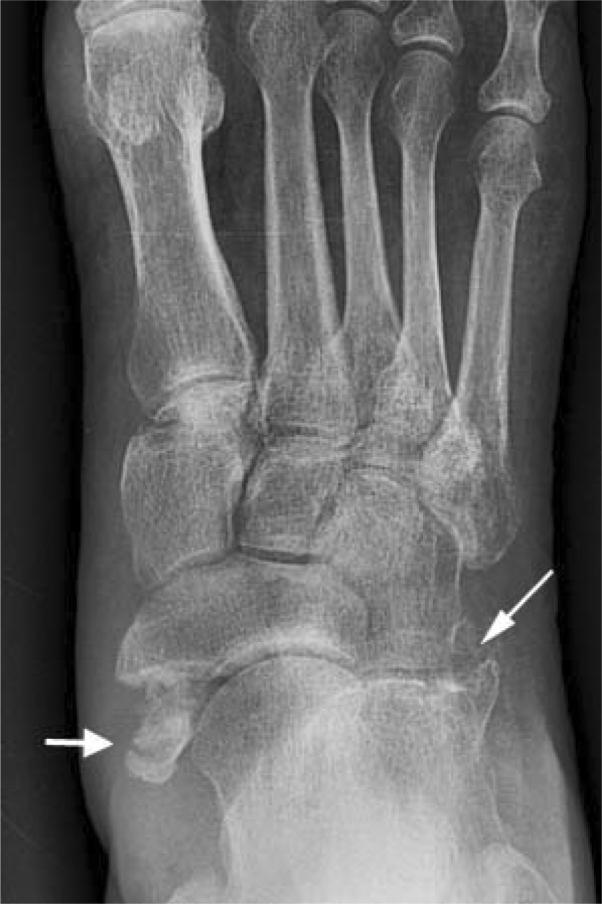
A 62-year-old woman with severe seizure disorder presented with right ankle and foot pain after being found down, presumably following a seizure recurrence. Imaging showed an acute comminuted fracture of the anterolateral aspect of the right calcaneus, as well as an acute avulsion fracture of the right navicular tuberosity at the site of insertion of the tibialis posterior tendon. This fracture pattern suggests forced abduction of the midfoot or forefoot with severe compression of the lateral column and failure of the medial column under tension, an entity that has previously been described as the nutcracker fracture. This mechanism of injury should prompt particularly careful evaluation of the navicular, cuboid, and calcaneus for any signs of injury. Subtle fractures of the navicular and calcaneus may be overlooked in the emergency setting, leading to a delay in surgical treatment and ultimately chronic foot deformities that can result in significant functional disability.

摘要
https://cdn.ncbi.nlm.nih.gov/pmc/blobs/c572/4897033/496303309b79/gr1.jpg

文献AI研究员

20分钟写一篇综述,助力文献阅读效率提升50倍。

立即体验

用中文搜PubMed

大模型驱动的PubMed中文搜索引擎

马上搜索

文档翻译

学术文献翻译模型,支持多种主流文档格式。

立即体验