Suppr超能文献

使用站立位低场磁共振成像评估三匹纯种赛马的远籽骨斜韧带腱鞘炎

Use of standing low-field magnetic resonance imaging to assess oblique distal sesamoidean ligament desmitis in three Thoroughbred racehorses.

作者信息

Mizobe Fumiaki, Okada Jun, Shinzaki Yuta, Nomura Motoi, Kato Tomohiro, Yamada Kazutaka, Spriet Mathieu

机构信息

Racehorse Hospital, Ritto Training Center, Japan Racing Association, 1028, Misono, Ritto, Shiga 520-3085, Japan.

出版信息

J Vet Med Sci. 2016 Oct 1;78(9):1475-1480. doi: 10.1292/jvms.15-0656. Epub 2016 Jun 16.

Abstract

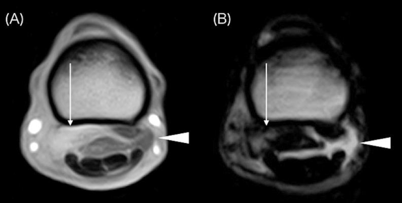
Desmitis of the oblique distal sesamoidean ligaments (ODSL) is caused by hyperextension of the metacarpophalangeal/metatarsophalangeal joint and has been described as a significant cause of lameness in racehorses. In this study, three Thoroughbred racehorses (age range: 3-6 years) were diagnosed with desmitis of the forelimb ODSL using standing low-field magnetic resonance imaging (sMRI). Radiography and ultrasonography were inconclusive with regard to a definitive diagnosis. For all horses, the sMRI characteristics included increased signal intensity within the medial ODSL on T1-weighted gradient echo, T2-weighted fast spin echo and short tau inversion recovery fast spin echo images, which use a fat suppression technique. Effusion of the digital flexor tendon sheath was also clearly visible on sMRI. Following rest and controlled exercise for roughly 3 months, two horses successfully returned to racing within 5 months. Our findings support the use of sMRI for diagnosing ODSL injuries in Thoroughbred racehorses.

摘要

斜方远籽骨韧带(ODSL)炎是由掌指关节/跖趾关节过度伸展引起的,已被描述为赛马跛行的一个重要原因。在本研究中,使用站立式低场磁共振成像(sMRI)对3匹纯种赛马(年龄范围:3至6岁)进行了前肢ODSL炎的诊断。X线摄影和超声检查对于明确诊断尚无定论。对于所有马匹,sMRI特征包括在使用脂肪抑制技术的T1加权梯度回波、T2加权快速自旋回波和短tau反转恢复快速自旋回波图像上,内侧ODSL内信号强度增加。在sMRI上也清晰可见指屈肌腱鞘积液。经过大约3个月的休息和控制运动后,两匹马在5个月内成功重返赛场。我们的研究结果支持使用sMRI诊断纯种赛马的ODSL损伤。

https://cdn.ncbi.nlm.nih.gov/pmc/blobs/7850/5059375/08482a8ad372/jvms-78-1475-g001.jpg

文献检索

告别复杂PubMed语法,用中文像聊天一样搜索,搜遍4000万医学文献。AI智能推荐,让科研检索更轻松。

立即免费搜索

文件翻译

保留排版,准确专业,支持PDF/Word/PPT等文件格式,支持 12+语言互译。

免费翻译文档

深度研究

AI帮你快速写综述,25分钟生成高质量综述,智能提取关键信息,辅助科研写作。

立即免费体验