Suppr超能文献

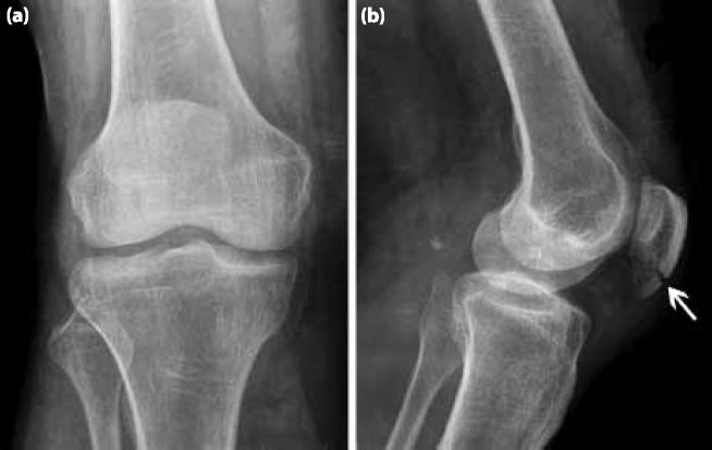
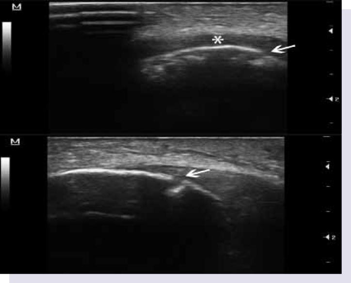
Ultrasonographic Examination of Patella.

作者信息

Kilic Turgay Yılmaz, Duman Atilla Ozge

机构信息

Department of Emergency Medicine, Tepecik Training and Research Hospital, Izmir.

出版信息

Turk J Emerg Med. 2016 Feb 26;14(3):98. doi: 10.5505/1304.7361.2014.39260. eCollection 2014 Sep.

Abstract
摘要
https://cdn.ncbi.nlm.nih.gov/pmc/blobs/df14/4909935/f275626f7b7f/gr1.jpg

文献AI研究员

20分钟写一篇综述,助力文献阅读效率提升50倍。

立即体验

用中文搜PubMed

大模型驱动的PubMed中文搜索引擎

马上搜索

文档翻译

学术文献翻译模型,支持多种主流文档格式。

立即体验