Song Xin Yu, Li Shan, Cao Jian, Xu Kai, Huang Hui, Xu Zuo Jun
Department of Respiratory Medicine Department of Radiology, Peking Union Medical College Hospital, Chinese Academy of Medical Sciences & Peking Union Medical College, Dongcheng District, Beijing, China.
Medicine (Baltimore). 2016 Jun;95(25):e3846. doi: 10.1097/MD.0000000000003846.
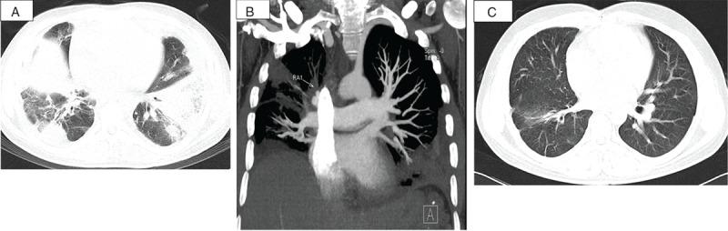
Based on the source of the embolus, septic pulmonary embolism (SPE) can be classified as cardiac, peripheral endogenous, or exogenous. Cardiac SPEs are the most common.We conducted a retrospective analysis of 20 patients with cardiac SPE hospitalized between 1991 and 2013 at a Chinese tertiary referral hospital.The study included 14 males and 6 females with a median age of 38.1 years. Fever (100%), cough (95%), hemoptysis (80%), pleuritic chest pain (80%), heart murmur (80%), and moist rales (75%) were common clinical manifestations. Most patients had a predisposing condition: congenital heart disease (8 patients) and an immunocompromised state (5 patients) were the most common. Staphylococcal (8 patients) and Streptococcal species (4 patients) were the most common causative pathogens. Parenchymal opacities, nodules, cavitations, and pleural effusions were the most common manifestations observed via computed tomography (CT). All patients exhibited significant abnormalities by echocardiography, including 15 patients with right-sided vegetations and 4 with double-sided vegetations. All patients received parenteral antimicrobial therapy as an initial treatment. Fourteen patients received cardiac surgery, and all survived.Among the 6 patients who did not undergo surgery, only 1 survived. Most patients in our cardiac SPE cohort had predisposing conditions. Although most exhibited typical clinical manifestations and radiography, they were nonspecific. For suspected cases of SPE, blood culture, echocardiography, and CT pulmonary angiography (CTPA) are important measures to confirm an early diagnosis. Vigorous early therapy, including appropriate antibiotic treatment and timely cardiac surgery to eradicate the infective source, is critical.
根据栓子来源,感染性肺栓塞(SPE)可分为心脏源性、外周内源性或外源性。心脏源性SPE最为常见。我们对1991年至2013年间在中国一家三级转诊医院住院的20例心脏源性SPE患者进行了回顾性分析。该研究纳入了14名男性和6名女性,中位年龄为38.1岁。发热(100%)、咳嗽(95%)、咯血(80%)、胸膜炎性胸痛(80%)、心脏杂音(80%)和湿啰音(75%)是常见的临床表现。大多数患者有易感因素:先天性心脏病(8例)和免疫功能低下状态(5例)最为常见。葡萄球菌(8例)和链球菌属(4例)是最常见的致病病原体。实质性混浊、结节、空洞和胸腔积液是通过计算机断层扫描(CT)观察到的最常见表现。所有患者经超声心动图检查均显示明显异常,包括15例右侧赘生物患者和4例双侧赘生物患者。所有患者均接受肠外抗菌治疗作为初始治疗。14例患者接受了心脏手术,全部存活。在未接受手术的6例患者中,仅1例存活。我们心脏源性SPE队列中的大多数患者有易感因素。尽管大多数患者表现出典型的临床表现和影像学表现,但这些表现并不具有特异性。对于疑似SPE病例,血培养、超声心动图和CT肺动脉造影(CTPA)是确诊早期诊断的重要措施。积极的早期治疗,包括适当的抗生素治疗和及时的心脏手术以根除感染源,至关重要。