Suppr超能文献

培美曲塞/顺铂作为晚期肺癌脑转移一线化疗方案:病例报告及文献综述

Pemetrexed/cisplatin as first-line chemotherapy for advanced lung cancer with brain metastases: A case report and literature review.

作者信息

He Guangzhao, Xiao Xiaoguang, Zou Man, Zhang Chengliang, Xia Shu

机构信息

Department of Pharmacy, Tongji Hospital of Tongji Medical College, Huazhong University of Science and Technology, Hankou, Wuhan Department of Pharmacy, Changzhou Tumor Hospital, Changzhou Department of Oncology, Tongji Hospital of Tongji Medical College, Huazhong University of Science and Technology, Hankou, Wuhan, P.R. China.

出版信息

Medicine (Baltimore). 2016 Aug;95(32):e4401. doi: 10.1097/MD.0000000000004401.

Abstract

BACKGROUND

Brain metastases (BMs) are a common and serious complication of non-small cell lung cancer (NSCLC). Whole-brain radiotherapy (WBRT), surgery, and molecular targeted therapy are usually used to treat NSCLC with BM. Chemotherapeutic options for BM are limited by tumor resistance, ineffective agents, and the blood-brain barrier. Pemetrexed/cisplatin is the preferred chemotherapy in nonsquamous NSCLC, but the efficacy of this treatment for nonsquamous NSCLC with BM is uncertain.

METHODS

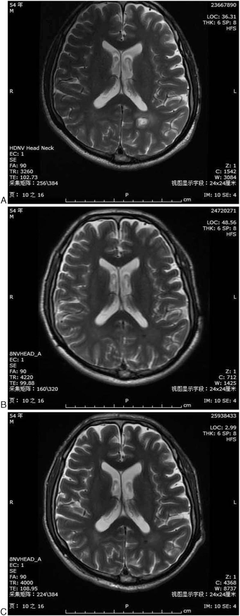
We present a case of nonsquamous NSCLC with asymptomatic BM presenting with irritating cough and right shoulder back pain (unknown sensitizing epidermal growth factor receptor mutations or anaplastic lymphoma kinase).

RESULTS

He benefited from administration of first-line chemotherapy of pemetrexed/cisplatin. Partial remission was achieved in the primary lesion of the lungs and BM lesion. He was further given 3 cycles of pemetrexed monotherapy and WBRT. Complete remission was further achieved in BM lesion.

CONCLUSION

The findings of clinical trials and theoretical studies about the current pemetrexed/cisplatin in the treatment of nonsquamous NSCLC with BM are also summarized to provide a reference for the application of pemetrexed/cisplatin in nonsquamous NSCLC with BM. Whether or not pemetrexed/cisplatin is definitely effective in nonsquamous NSCLC with BM must be proven by subsequent phase III clinical trials.

摘要

背景

脑转移瘤(BMs)是非小细胞肺癌(NSCLC)常见且严重的并发症。全脑放疗(WBRT)、手术及分子靶向治疗常用于治疗伴有BM的NSCLC。BM的化疗选择受肿瘤耐药性、无效药物及血脑屏障的限制。培美曲塞/顺铂是非鳞状NSCLC的首选化疗方案,但该方案对伴有BM的非鳞状NSCLC的疗效尚不确定。

方法

我们报告1例伴有无症状BM的非鳞状NSCLC病例,表现为刺激性咳嗽和右肩背部疼痛(未知敏感的表皮生长因子受体突变或间变性淋巴瘤激酶)。

结果

他从一线培美曲塞/顺铂化疗中获益。肺部原发灶和BM病灶均达到部分缓解。他进一步接受了3个周期的培美曲塞单药治疗及WBRT。BM病灶进一步达到完全缓解。

结论

本文还总结了关于目前培美曲塞/顺铂治疗伴有BM的非鳞状NSCLC的临床试验及理论研究结果,为培美曲塞/顺铂在伴有BM的非鳞状NSCLC中的应用提供参考。培美曲塞/顺铂在伴有BM的非鳞状NSCLC中是否确实有效,必须通过后续的III期临床试验予以证实。

https://cdn.ncbi.nlm.nih.gov/pmc/blobs/8252/4985307/74a7c904d142/medi-95-e4401-g001.jpg

文献AI研究员

20分钟写一篇综述,助力文献阅读效率提升50倍。

立即体验

用中文搜PubMed

大模型驱动的PubMed中文搜索引擎

马上搜索

文档翻译

学术文献翻译模型,支持多种主流文档格式。

立即体验