Suppr超能文献

前列腺癌中视网膜电图(ERG)表达的异质性:对125例患者的整个前列腺切除标本进行的大片段映射研究

Heterogeneity of ERG expression in prostate cancer: a large section mapping study of entire prostatectomy specimens from 125 patients.

作者信息

Tsourlakis Maria-Christina, Stender Annegret, Quaas Alexander, Kluth Martina, Wittmer Corinna, Haese Alexander, Graefen Markus, Steurer Stefan, Simon Ronald, Korbel Jan, Weischenfeldt Joachim, Huland Hartwig, Sauter Guido, Schlomm Thorsten, Minner Sarah

机构信息

Institute of Pathology, University Medical Center Hamburg-Eppendorf, Martinistrasse 52, 20246, Hamburg, Germany.

Martini-Clinic Prostate Cancer Center, University Medical Center Hamburg-Eppendorf, Hamburg, Germany.

出版信息

BMC Cancer. 2016 Aug 17;16:641. doi: 10.1186/s12885-016-2674-6.

Abstract

BACKGROUND

TMPRSS2:ERG fusions are frequent in prostate cancer, and occur predominantly in young patients. Several studies had proposed intratumoral heterogeneity of these fusions. This study was designed to determine frequency and extent of ERG fusion heterogeneity in early-onset prostate cancer (EO-PCA, <50 years) and in elderly patients.

METHODS

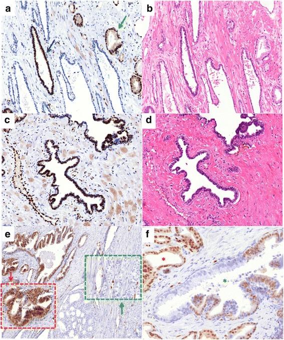
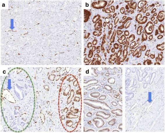
The prostates from 63 EO-PCA and 62 elderly prostate cancer patients were thoroughly reviewed for presence of cancer foci. All 1592 tumor-containing sections were analyzed by immunohistochemistry for ERG expression.

RESULTS

The prostates included in this study contained one tumor focus in 44, two tumor foci in 21, three tumor foci in 32, four tumor foci in 15, and five or more tumor foci in 13 patients. Among 59 cancer foci with ≤3 mm, 19 (32.2 %) were homogeneously ERG positive, 39 66.1 %) were homogeneously ERG negative, and one case (1.7 %) showed a heterogeneous ERG status. The fraction of homogeneously ERG positive cancer foci remained largely constant (14-37 %) with increasing tumor focus diameter but the fraction of heterogeneous ERG findings continuously increased with tumor size and reached 39 % in cancer foci larger than 22 mm. On a patient level, ERG expression was markedly more frequent in EO-PCA than in elderly patients: 13 % of EO-PCA were homogeneously and 62 % were heterogeneously ERG positive. In elderly patients, 3 % of cancers were homogeneously and 57 % were heterogeneously ERG positive (p = 0.0721).

CONCLUSION

These data show that about 20-30 % of prostate cancer foci have early ERG fusions. ERG fusions further occur in about 50 % of initially ERG negative cancer foci during cancer progression. The vast majority of cancers are heterogeneous for TMPRSS2:ERG fusions on a patient level, challenging the concept of classifying prostate cancer patients into "fusion type" and "non-fusion type" prostate cancer.

摘要

背景

TMPRSS2:ERG融合在前列腺癌中很常见,且主要发生在年轻患者中。多项研究提出了这些融合的肿瘤内异质性。本研究旨在确定早发性前列腺癌(EO-PCA,<50岁)和老年患者中ERG融合异质性的频率和程度。

方法

对63例EO-PCA患者和62例老年前列腺癌患者的前列腺进行全面检查,以确定是否存在癌灶。对所有1592个含肿瘤切片进行免疫组织化学分析,检测ERG表达。

结果

本研究纳入的前列腺中,44例患者有1个肿瘤灶,21例有2个肿瘤灶,32例有3个肿瘤灶,15例有4个肿瘤灶,13例有5个或更多肿瘤灶。在59个直径≤3mm的癌灶中,19个(32.2%)ERG均为阳性,39个(66.1%)ERG均为阴性,1例(1.7%)ERG状态为异质性。随着肿瘤灶直径增加,ERG均为阳性的癌灶比例基本保持不变(14%-37%),但ERG异质性结果的比例随肿瘤大小持续增加,在直径大于22mm的癌灶中达到39%。在患者层面,ERG表达在EO-PCA中明显比老年患者更常见:13%的EO-PCA患者ERG均为阳性,62%为ERG异质性阳性。在老年患者中,3%的癌症ERG均为阳性,57%为ERG异质性阳性(p=0.0721)。

结论

这些数据表明,约20%-30%的前列腺癌灶存在早期ERG融合。在癌症进展过程中,约50%最初ERG阴性的癌灶会进一步出现ERG融合。在患者层面,绝大多数癌症的TMPRSS2:ERG融合具有异质性,这对将前列腺癌患者分为“融合型”和“非融合型”前列腺癌的概念提出了挑战。

https://cdn.ncbi.nlm.nih.gov/pmc/blobs/8576/4988055/1470dbc96d27/12885_2016_2674_Fig1_HTML.jpg

文献AI研究员

20分钟写一篇综述,助力文献阅读效率提升50倍。

立即体验

用中文搜PubMed

大模型驱动的PubMed中文搜索引擎

马上搜索

文档翻译

学术文献翻译模型,支持多种主流文档格式。

立即体验