Suppr超能文献

RORα和RORγ的表达与人类黑色素瘤进展呈负相关。

RORα and RORγ expression inversely correlates with human melanoma progression.

作者信息

Brożyna Anna A, Jóźwicki Wojciech, Skobowiat Cezary, Jetten Anton, Slominski Andrzej T

机构信息

Department of Tumor Pathology and Pathomorphology, Oncology Centre-Prof. Franciszek Łukaszczyk Memorial Hospital, Bydgoszcz, Poland.

Department of Tumor Pathology and Pathomorphology, Faculty of Health Sciences, Nicolaus Copernicus University Collegium Medicum in Bydgoszcz, Bydgoszcz, Poland.

出版信息

Oncotarget. 2016 Sep 27;7(39):63261-63282. doi: 10.18632/oncotarget.11211.

Abstract

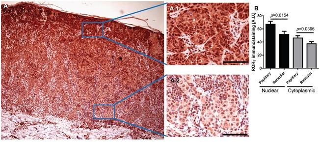
The retinoic acid-related orphan receptors (RORs) regulate several physiological and pathological processes, including immune functions, development and cancer. To study the potential role of RORs in melanoma progression, we analysed RORα and RORγ expression in nevi and primary melanomas and non-lesional skin and metastases in relation to melanoma clinico-pathomorphological features. The expression of RORα and RORγ was lower in melanomas than in nevi and decreased during melanoma progression, with lowest levels found in primary melanomas at stages III and IV and in melanoma metastases. Their expression correlated with pathomorphological pTNM parameters being low in aggressive tumors and being high in tumors showing histological markers of good prognosis. Higher nuclear levels of RORα and RORγ and of cytoplasmic RORγ correlated with significantly longer overall and disease free survival time. Highly pigmented melanomas showed significantly lower level of nuclear RORs. This study shows that human melanoma development and aggressiveness is associated with decreased expression of RORα and RORγ, suggesting that RORs could be important in melanoma progression and host responses against the tumor. Furthermore, it suggests that RORα and RORγ might constitute a novel druggable target in anti-melanoma management using tumor suppressor gene therapy restoring their normal functions.

摘要

维甲酸相关孤儿受体(RORs)调控多种生理和病理过程,包括免疫功能、发育和癌症。为研究RORs在黑色素瘤进展中的潜在作用,我们分析了痣、原发性黑色素瘤、非病变皮肤以及转移灶中RORα和RORγ的表达,并将其与黑色素瘤临床病理形态学特征相关联。黑色素瘤中RORα和RORγ的表达低于痣,且在黑色素瘤进展过程中降低,在III期和IV期原发性黑色素瘤及黑色素瘤转移灶中表达水平最低。它们的表达与病理形态学pTNM参数相关,在侵袭性肿瘤中较低,在显示良好预后组织学标志物的肿瘤中较高。RORα和RORγ的核水平升高以及细胞质RORγ水平升高与显著更长的总生存期和无病生存期相关。高度色素沉着的黑色素瘤显示核RORs水平显著降低。本研究表明,人类黑色素瘤的发生和侵袭性与RORα和RORγ表达降低有关,提示RORs在黑色素瘤进展和宿主对肿瘤的反应中可能很重要。此外,这表明RORα和RORγ可能构成使用肿瘤抑制基因疗法恢复其正常功能的抗黑色素瘤治疗中的一个新的可药物作用靶点。

https://cdn.ncbi.nlm.nih.gov/pmc/blobs/76fa/5325362/c8e2d159025c/oncotarget-07-63261-g001.jpg

文献AI研究员

20分钟写一篇综述,助力文献阅读效率提升50倍。

立即体验

用中文搜PubMed

大模型驱动的PubMed中文搜索引擎

马上搜索

文档翻译

学术文献翻译模型,支持多种主流文档格式。

立即体验