• 文献检索
  • 文档翻译
  • 深度研究
  • 学术资讯
  • Suppr Zotero 插件Zotero 插件
  • 邀请有礼
  • 套餐&价格
  • 历史记录
应用&插件
Suppr Zotero 插件Zotero 插件浏览器插件Mac 客户端Windows 客户端微信小程序
定价
高级版会员购买积分包购买API积分包
服务
文献检索文档翻译深度研究API 文档MCP 服务
关于我们
关于 Suppr公司介绍联系我们用户协议隐私条款
关注我们

Suppr 超能文献

核心技术专利:CN118964589B侵权必究
粤ICP备2023148730 号-1Suppr @ 2026

文献检索

告别复杂PubMed语法,用中文像聊天一样搜索,搜遍4000万医学文献。AI智能推荐,让科研检索更轻松。

立即免费搜索

文件翻译

保留排版,准确专业,支持PDF/Word/PPT等文件格式,支持 12+语言互译。

免费翻译文档

深度研究

AI帮你快速写综述,25分钟生成高质量综述,智能提取关键信息,辅助科研写作。

立即免费体验

下颌骨折中颌间固定螺钉与 Erich 牙弓夹板的比较研究及文献综述

Intermaxillary fixation screws versus Erich arch bars in mandibular fractures: A comparative study and review of literature.

作者信息

Qureshi Ahtesham Ahmad, Reddy Umesh K, Warad N M, Badal Sheeraz, Jamadar Amjad Ali, Qurishi Nilofar

机构信息

Department of Oral and Maxillofacial Surgery, MIDSR Dental College, Latur, Maharashtra, India.

Department of Oral and Maxillofacial Surgery, Oxford Dental College, Bengaluru, Karnataka, India.

出版信息

Ann Maxillofac Surg. 2016 Jan-Jun;6(1):25-30. doi: 10.4103/2231-0746.186129.

DOI:10.4103/2231-0746.186129
PMID:27563602
原文链接:https://pmc.ncbi.nlm.nih.gov/articles/PMC4979336/
Abstract

OBJECTIVE

Various techniques have been employed from time to time to achieve maxillomamdibular fixation. Although arch bars provide an effective and versatile means of maxillomandibular fixation, their use is not without shortcomings. However the introduction of intermaxillary fixation screws (IMF) has eliminated many of these issues of arch bars. The aim of the present study was to compare the advantages and disadvantages of intermaxillary fixation screws over the Erich arch bars in mandibular fractures.

MATERIALS AND METHODS

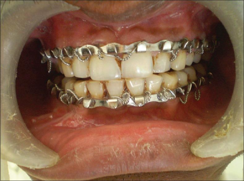
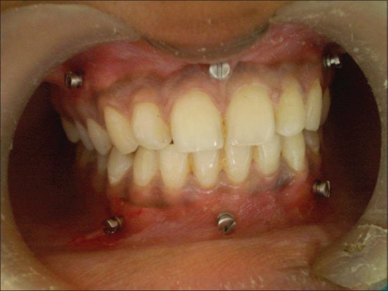
Sixty dentulous patients who reported to Department of Oral and Maxillofacial Surgery, Al-Ameen Dental College and Hospital, Bijapur with mandibular fractures and required intermaxillary fixation as a part of treatment plan followd by open reduction and internal fixation under GA were selected and randomly divided into 2 groups of 30 patients each that is Group A and Group B. Group A included patients who received intermaxillary fixation with Erich arch bars. Group B includes patients who received intermaxillary fixation with IMF Screws. The parameters compared in both the groups included, surgical time taken, gloves perforation, post-operative occlusion, IMF stability, oral hygiene, patient acceptance and comfort and non-vitality characteristics.

RESULTS

The average surgical time taken and gloves perforations were more in Group A,the patient acceptance and oral hygiene was better in Group B, there was not much statistically significant difference in postoperative occlusion and IMF stability in both groups. Accidental root perforation was the only limitation of IMF screws.

CONCLUSION

Intermaxillary fixation with IMF screws is more efficacious compared to Erich arch bars in the treatment of mandibular fractures.

摘要

目的

为实现上下颌骨固定,人们不时采用各种技术。尽管牙弓夹板提供了一种有效且通用的上下颌骨固定方法,但其使用并非没有缺点。然而,颌间固定螺钉(IMF)的引入消除了牙弓夹板的许多问题。本研究的目的是比较颌间固定螺钉与 Erich 牙弓夹板在下颌骨骨折治疗中的优缺点。

材料与方法

选取 60 例到比贾布尔 Al-Ameen 牙科学院和医院口腔颌面外科就诊的下颌骨骨折患者,他们需要进行颌间固定作为治疗计划的一部分,随后在全身麻醉下进行切开复位内固定。将患者随机分为两组,每组 30 例,即 A 组和 B 组。A 组患者接受 Erich 牙弓夹板颌间固定。B 组患者接受颌间固定螺钉固定。两组比较的参数包括手术时间、手套穿孔情况、术后咬合、颌间固定稳定性、口腔卫生、患者接受度与舒适度以及无活力特征。

结果

A 组的平均手术时间和手套穿孔次数更多,B 组的患者接受度和口腔卫生状况更好,两组术后咬合和颌间固定稳定性在统计学上无显著差异。意外牙根穿孔是颌间固定螺钉的唯一局限性。

结论

在治疗下颌骨骨折方面,与 Erich 牙弓夹板相比,颌间固定螺钉更为有效。

https://cdn.ncbi.nlm.nih.gov/pmc/blobs/f66e/4979336/3a2cbaf6568f/AMS-6-25-g004.jpg
https://cdn.ncbi.nlm.nih.gov/pmc/blobs/f66e/4979336/df7cdb959e01/AMS-6-25-g001.jpg
https://cdn.ncbi.nlm.nih.gov/pmc/blobs/f66e/4979336/717dd38c669c/AMS-6-25-g002.jpg
https://cdn.ncbi.nlm.nih.gov/pmc/blobs/f66e/4979336/33a53b8fc470/AMS-6-25-g003.jpg
https://cdn.ncbi.nlm.nih.gov/pmc/blobs/f66e/4979336/3a2cbaf6568f/AMS-6-25-g004.jpg
https://cdn.ncbi.nlm.nih.gov/pmc/blobs/f66e/4979336/df7cdb959e01/AMS-6-25-g001.jpg
https://cdn.ncbi.nlm.nih.gov/pmc/blobs/f66e/4979336/717dd38c669c/AMS-6-25-g002.jpg
https://cdn.ncbi.nlm.nih.gov/pmc/blobs/f66e/4979336/33a53b8fc470/AMS-6-25-g003.jpg
https://cdn.ncbi.nlm.nih.gov/pmc/blobs/f66e/4979336/3a2cbaf6568f/AMS-6-25-g004.jpg

相似文献

1
Intermaxillary fixation screws versus Erich arch bars in mandibular fractures: A comparative study and review of literature.下颌骨折中颌间固定螺钉与 Erich 牙弓夹板的比较研究及文献综述
Ann Maxillofac Surg. 2016 Jan-Jun;6(1):25-30. doi: 10.4103/2231-0746.186129.
2
Self Tapping Screws v/s Erich Arch Bar for Inter Maxillary Fixation: A Comparative Clinical Study in the Treatment of Mandibular Fractures.用于颌间固定的自攻螺钉与 Erich 牙弓夹板:下颌骨骨折治疗的比较临床研究
J Maxillofac Oral Surg. 2011 Jun;10(2):127-31. doi: 10.1007/s12663-011-0191-3. Epub 2011 Apr 20.
3
Is the Use of Intermaxillary Fixation Screws an Alternative to Erich Arch Bars for Maxillomandibular Fixation During Management of Maxillofacial Fractures? A Systematic Review and Meta-Analysis.在颌面骨折治疗中,使用颌间固定螺钉替代埃里希牙弓夹板进行颌间固定是否可行?一项系统评价和荟萃分析。
Craniomaxillofac Trauma Reconstr. 2021 Sep;14(3):236-245. doi: 10.1177/1943387520971410. Epub 2020 Nov 2.
4
Clinical Outcomes of ULTRA EZY Bar vs Erich Arch Bar in Conservative Management of Maxillofacial Fractures: A Randomized Controlled Trial.ULTRA EZY 牙弓夹板与 Erich 牙弓夹板在颌面部骨折保守治疗中的临床疗效:一项随机对照试验
J Maxillofac Oral Surg. 2024 Feb;23(1):122-128. doi: 10.1007/s12663-022-01821-3. Epub 2022 Dec 16.
5
Erich arch bars vs intermaxillary fixation screws for mandibular fracture reduction during ORIF: a randomized clinical trial.切开复位内固定术中用于下颌骨骨折复位的 Erich 弓形接骨板与颌间固定螺钉:一项随机临床试验
Clin Oral Investig. 2023 Oct;27(10):6063-6071. doi: 10.1007/s00784-023-05220-x. Epub 2023 Aug 21.
6
Comparison of Erich arch bar versus embrasure wires for intraoperative intermaxillary fixation in mandibular fractures.用于下颌骨骨折术中颌间固定的 Erich 牙弓夹板与牙间隙结扎丝的比较。
Oral Maxillofac Surg. 2018 Dec;22(4):419-428. doi: 10.1007/s10006-018-0723-9. Epub 2018 Oct 9.
7
Comparison between Erich arch bars and intermaxillary screws in maxillofacial fractures involving the dental occlusion: a meta-analysis.颌骨骨折累及咬合的 Erich 弓和颌间结扎钉治疗的比较:一项荟萃分析。
Int J Oral Maxillofac Surg. 2021 Jan;50(1):83-95. doi: 10.1016/j.ijom.2020.07.022. Epub 2020 Aug 12.
8
Bone-supported arch bars are associated with comparable outcomes to Erich arch bars in the treatment of mandibular fractures with intermaxillary fixation.在颌间固定治疗下颌骨骨折中,骨支持式牙弓夹板与 Erich 牙弓夹板的治疗效果相当。
J Oral Maxillofac Surg. 2015 Feb;73(2):306-13. doi: 10.1016/j.joms.2014.08.025. Epub 2014 Aug 27.
9
Conservative treatment of a mandibular condyle fracture: Comparing intermaxillary fixation with screws or arch bar. A randomised clinical trial.下颌髁突骨折的保守治疗:比较螺钉或牙弓夹板颌间固定。一项随机临床试验。
J Craniomaxillofac Surg. 2015 Jun;43(5):671-6. doi: 10.1016/j.jcms.2015.03.010. Epub 2015 Mar 27.
10
Erich arch bar versus hanger plate technique for intermaxillary fixation in fracture mandible: A prospective comparative study.下颌骨骨折颌间固定中 Erich 弓形杆与悬吊钢板技术的前瞻性对比研究。
Natl J Maxillofac Surg. 2018 Jan-Jun;9(1):33-38. doi: 10.4103/njms.NJMS_63_17.

引用本文的文献

1
Matrix Wave System for Mandibulo-Maxillary Fixation-Just Another Variation on the MMF Theme? Part I: A Review on the Provenance, Evolution and Properties of the System.用于下颌-上颌固定的矩阵波系统——只是下颌-上颌固定主题的另一种变体?第一部分:该系统的起源、演变及特性综述
Craniomaxillofac Trauma Reconstr. 2025 Jul 12;18(3):32. doi: 10.3390/cmtr18030032. eCollection 2025 Sep.
2
"Comparison among 3 maxillomandibular fixation techniques for management of mandibular fractures - A prospective randomized study".三种下颌骨骨折治疗的颌间固定技术比较——一项前瞻性随机研究
J Oral Biol Craniofac Res. 2025 Sep-Oct;15(5):992-1000. doi: 10.1016/j.jobcr.2025.06.020. Epub 2025 Jul 7.
3

本文引用的文献

1
Application of intermaxillary fixation screws in maxillofacial trauma.颌间固定螺钉在颌面创伤中的应用。
J Oral Maxillofac Surg. 2007 Sep;65(9):1746-50. doi: 10.1016/j.joms.2007.04.022.
2
Mandibular fractures: Historical perspective.下颌骨骨折:历史回顾。
Br J Oral Maxillofac Surg. 2006 Jun;44(3):222-8. doi: 10.1016/j.bjoms.2005.06.023. Epub 2005 Aug 19.
3
An audit of mandibular fractures treated by intermaxillary fixation using intraoral cortical bone screws.一项关于使用口内皮质骨螺钉进行颌间固定治疗下颌骨骨折的审计。
Modified Eyelet Wiring: A Technical Note.
改良式小孔钢丝固定术:技术说明
J Maxillofac Oral Surg. 2024 Apr;23(2):413-415. doi: 10.1007/s12663-023-02043-x. Epub 2023 Nov 11.
4
An in vitro study in separating tensile loads during maxillo-mandibular fixation using wire and/or elastics.一种在使用钢丝和/或橡皮筋进行颌骨固定时分离张力的体外研究。
PLoS One. 2024 Mar 15;19(3):e0300481. doi: 10.1371/journal.pone.0300481. eCollection 2024.
5
Clinical Outcomes of ULTRA EZY Bar vs Erich Arch Bar in Conservative Management of Maxillofacial Fractures: A Randomized Controlled Trial.ULTRA EZY 牙弓夹板与 Erich 牙弓夹板在颌面部骨折保守治疗中的临床疗效:一项随机对照试验
J Maxillofac Oral Surg. 2024 Feb;23(1):122-128. doi: 10.1007/s12663-022-01821-3. Epub 2022 Dec 16.
6
Erich arch bars vs intermaxillary fixation screws for mandibular fracture reduction during ORIF: a randomized clinical trial.切开复位内固定术中用于下颌骨骨折复位的 Erich 弓形接骨板与颌间固定螺钉:一项随机临床试验
Clin Oral Investig. 2023 Oct;27(10):6063-6071. doi: 10.1007/s00784-023-05220-x. Epub 2023 Aug 21.
7
Double Loop Interdental Wiring: A Neoteric Technique for Maxillo-mandibular Fixation.双环牙间结扎术:一种用于上颌下颌固定的新型技术。
J Maxillofac Oral Surg. 2022 Dec;21(4):1404-1405. doi: 10.1007/s12663-020-01466-0. Epub 2020 Oct 17.
8
Compare the Efficacy of Open Reduction and Internal Fixation of Mandibular Fractures With and Without Use of Intra-Operative Inter-Maxillary Fixation.比较下颌骨骨折切开复位内固定术中使用与不使用术中颌间固定的疗效。
Indian J Otolaryngol Head Neck Surg. 2022 Dec;74(Suppl 3):4096-4099. doi: 10.1007/s12070-021-02830-3. Epub 2021 Sep 4.
9
Efficacy of Locking Miniplates in Managing Mandibular Fractures without Intermaxillary Fixation.锁定微型钢板在无需颌间固定治疗下颌骨骨折中的疗效
J Pharm Bioallied Sci. 2022 Jul;14(Suppl 1):S131-S134. doi: 10.4103/jpbs.jpbs_534_21. Epub 2022 Jul 13.
10
The Use of Screw Retained Hybrid Arch Bar for Maxillomandibular Fixation in the Treatment of Mandibular Fractures: A Comparative Study.使用螺钉固定混合牙弓夹板进行下颌骨骨折治疗中的颌间固定:一项对比研究。
Ann Maxillofac Surg. 2021 Jul-Dec;11(2):247-252. doi: 10.4103/ams.ams_35_21. Epub 2022 Feb 1.
J Craniomaxillofac Surg. 2005 Aug;33(4):251-4. doi: 10.1016/j.jcms.2005.02.005.
4
Transalveolar screws and the incidence of dental damage: a prospective study.
Int J Oral Maxillofac Surg. 2004 Jul;33(5):442-6. doi: 10.1016/j.ijom.2003.10.014.
5
Complications with intermaxillary fixation screws in the management of fractured mandibles.下颌骨骨折治疗中颌间固定螺钉的并发症
Br J Oral Maxillofac Surg. 2002 Jun;40(3):241-3. doi: 10.1054/bjom.2001.0771.
6
Caution in use of bicortical intermaxillary fixation screws.双侧皮质骨间颌间固定螺钉使用时需谨慎。
Br J Oral Maxillofac Surg. 2000 Oct;38(5):574. doi: 10.1054/bjom.2000.0514.
7
The pearl steel wire: a simplified appliance for maxillomandibular fixation.珍珠钢丝:一种用于颌间固定的简易器械。
Br J Oral Maxillofac Surg. 1999 Apr;37(2):117-8. doi: 10.1054/bjom.1998.0429.
8
The intermaxillary screw: a dedicated bicortical bone screw for temporary intermaxillary fixation.颌间螺钉:一种用于临时颌间固定的专用双皮质骨螺钉。
Br J Oral Maxillofac Surg. 1999 Apr;37(2):115-6. doi: 10.1054/bjom.1998.0086.
9
The fate of teeth transfixed by osteosynthesis screws.
Plast Reconstr Surg. 1996 Apr;97(4):726-9. doi: 10.1097/00006534-199604000-00006.
10
Results of intraoral cortical bone screw fixation technique for mandibular fractures.下颌骨骨折口内皮质骨螺钉固定技术的结果
Otolaryngol Head Neck Surg. 1995 Sep;113(3):248-52. doi: 10.1016/S0194-5998(95)70113-3.