Suppr超能文献

康复后使用肌电手的截肢者的脑血流灌注变化:一项SPECT计算机辅助分析

Cerebral blood perfusion changes in amputees with myoelectric hands after rehabilitation: a SPECT computer-aided analysis.

作者信息

Liu Qiufang, Zheng Xiujuan, Li Panli, Xu Lian, He Longwen, Mei Zhao, Zhu Yinyan, Huang Gang, Zhong Chunlong, Song Shaoli

机构信息

Department of Nuclear Medicine, Ren Ji Hospital, School of Medicine, Shanghai Jiao Tong University, 160 Pujian Road, Shanghai, 200127, China.

Department of Automation, School of Electrical Engineering Information, Sichuan University, Sichuan, 610065, China.

出版信息

BMC Neurosci. 2016 Aug 31;17(1):59. doi: 10.1186/s12868-016-0294-3.

Abstract

BACKGROUND

Rehabilitation, which is essential for amputees with myoelectric hands, can improve the quality of daily life by remodeling the neuron network. In our study, we aim to develop a cerebral blood perfusion (CBF) single-photon emission computed tomography computer-aided (SPECT-CA) detection scheme to automatically locate the brain's activated regions after rehabilitation.

RESULTS

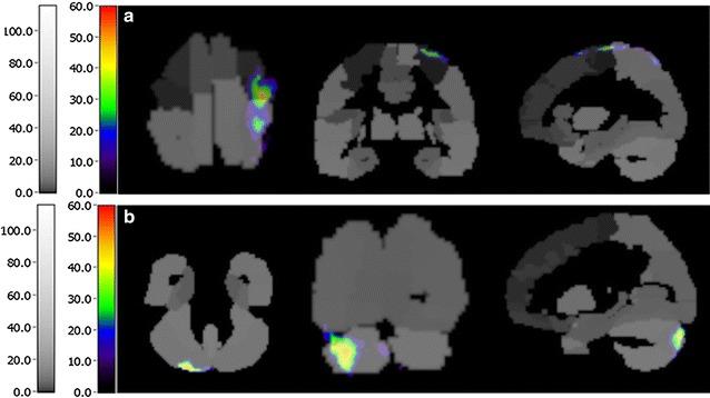
Five participants without forearms (three male, two female, mean age 51 ± 12.89 years, two missing the right side, and three missing the left side) were included in our study. In the clinical assessment, all of the participants received higher scores after training. The results of the SPM analysis indicated that CBF in the precentral gyrus, postcentral gyrus, frontal lobe, temporal lobe and cerebellum was significantly different among the five participants (P < 0.05). Moreover, SPECT-CA showed that the activated brain areas mainly included the precentral gyrus, postcentral gyrus, cerebellum and extensive cerebral cortex.

CONCLUSION

Our study demonstrated that the CBF SPECT-CA method can detect the brain blood perfusion changes induced by rehabilitation with high sensitivity and accuracy. This method has great potential for locating the remodeled neuron regions of amputees with myoelectric hands after rehabilitation.

摘要

背景

康复训练对于使用肌电手的截肢者至关重要,它可以通过重塑神经网络来提高日常生活质量。在我们的研究中,我们旨在开发一种脑血流灌注(CBF)单光子发射计算机断层扫描计算机辅助(SPECT-CA)检测方案,以自动定位康复后脑的激活区域。

结果

我们的研究纳入了5名无前臂的参与者(3名男性,2名女性,平均年龄51±12.89岁,2名右侧缺失,3名左侧缺失)。在临床评估中,所有参与者在训练后得分更高。SPM分析结果表明,5名参与者中央前回、中央后回、额叶、颞叶和小脑的脑血流灌注存在显著差异(P<0.05)。此外,SPECT-CA显示激活的脑区主要包括中央前回、中央后回、小脑和广泛的大脑皮层。

结论

我们的研究表明,CBF SPECT-CA方法能够高灵敏度和准确性地检测康复引起的脑血流灌注变化。该方法在定位康复后使用肌电手的截肢者重塑的神经元区域方面具有巨大潜力。

https://cdn.ncbi.nlm.nih.gov/pmc/blobs/5492/5006566/f90d07f84179/12868_2016_294_Fig1_HTML.jpg

文献AI研究员

20分钟写一篇综述,助力文献阅读效率提升50倍。

立即体验

用中文搜PubMed

大模型驱动的PubMed中文搜索引擎

马上搜索

文档翻译

学术文献翻译模型,支持多种主流文档格式。

立即体验